Müsch A, Cohen D, Rodriguez-Boulan E
Dyson Institute of Vision Research, Department of Ophthalmology, Department of Cell Biology and Anatomy, Cornell University Medical College, New York 10021, USA.
J Cell Biol. 1997 Jul 28;138(2):291-306. doi: 10.1083/jcb.138.2.291.
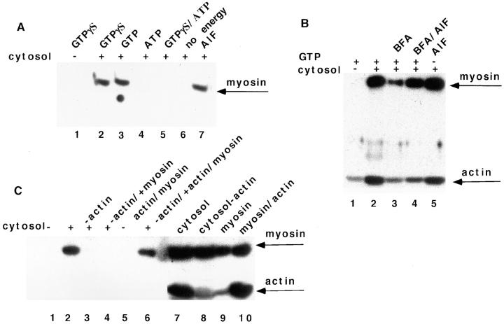
The participation of nonmuscle myosins in the transport of organelles and vesicular carriers along actin filaments has been documented. In contrast, there is no evidence for the involvement of myosins in the production of vesicles involved in membrane traffic. Here we show that the putative TGN coat protein p200 (Narula, N., I. McMorrow, G. Plopper, J. Doherty, K.S. Matlin, B. Burke, and J.L. Stow. 1992. J. Cell Biol. 114: 1113-1124) is myosin II. The recruitment of myosin II to Golgi membranes is dependent on actin and is regulated by G proteins. Using an assay that studies the release of transport vesicles from the TGN in vitro, we provide functional evidence that p200/myosin is involved in the assembly of basolateral transport vesicles carrying vesicular stomatitis virus G protein (VSVG) from the TGN of polarized MDCK cells. The 50% reduced efficiency in VSVG vesicle release from the TGN in vitro after depletion of p200/myosin II could be reestablished to control levels by the addition of purified nonmuscle myosin II. Several inhibitors of the actin-stimulated ATPase activity of myosin specifically inhibited the release of VSVG-containing vesicles from the TGN.
非肌肉肌球蛋白参与沿肌动蛋白丝运输细胞器和囊泡载体的过程已有文献记载。相比之下,没有证据表明肌球蛋白参与膜运输中囊泡的产生。在这里我们表明,假定的反式高尔基体网络(TGN)包被蛋白p200(纳鲁拉,N.,I. 麦克莫罗,G. 普洛珀,J. 多尔蒂,K.S. 马特林,B. 伯克,和J.L. 斯托。1992. 《细胞生物学杂志》。114: 1113 - 1124)是肌球蛋白II。肌球蛋白II招募到高尔基体膜上依赖于肌动蛋白,并受G蛋白调节。使用一种在体外研究从TGN释放运输囊泡的检测方法,我们提供了功能证据,证明p200/肌球蛋白参与从极化的MDCK细胞的TGN组装携带水泡性口炎病毒G蛋白(VSVG)的基底外侧运输囊泡。在p200/肌球蛋白II耗尽后,体外从TGN释放VSVG囊泡的效率降低50%,通过添加纯化的非肌肉肌球蛋白II可恢复到对照水平。几种肌球蛋白肌动蛋白刺激的ATP酶活性抑制剂特异性抑制了含VSVG囊泡从TGN的释放。