Suppr超能文献

Pathological characterization of astrocytic hyaline inclusions in familial amyotrophic lateral sclerosis.

作者信息

Kato S, Hayashi H, Nakashima K, Nanba E, Kato M, Hirano A, Nakano I, Asayama K, Ohama E

机构信息

Division of Neuropathology, Faculty of Medicine, Tottori University, Yonago, Japan.

出版信息

Am J Pathol. 1997 Aug;151(2):611-20.

Abstract

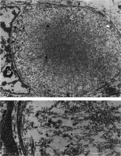
To clarify the pathological characteristics of astrocytic hyaline inclusions (Ast-HIs) in patients with familial amyotrophic lateral sclerosis (FALS) with neuronal Lewy-body-like hyaline inclusions (LBHIs), eight autopsies on members of four different families, including two long-term surviving patients with clinical courses of over 10 years, were analyzed. Ast-HIs were found only in the two long-term surviving patients who belonged to different families and to different races. Ast-HIs were ultrastructurally composed of 15- to 25-nm granule-coated fibrils that had immunoreactivities to superoxide dismutase 1 (SOD1) and ubiquitin. Approximately 50% of the Ast-HIs expressed alpha B-crystallin, metallothionein, glutamine synthetase, and tubulin (alpha and beta) at various intensities. Some Ast-HIs reacted with antibodies to tau protein, S-100 protein, and heat shock protein 27. The Ast-HIs were not stained for glial fibrillary acidic protein. Our results suggest a cooperative role of superoxide dismutase 1, ubiquitin, and cytoskeletal proteins in the formation of granule-coated fibrils (namely, Ast-HIs) and provide evidence that Ast-HIs are formed in certain long-surviving familial amyotrophic lateral sclerosis patients with neuronal Lewy-body-like hyaline inclusions.

摘要
https://cdn.ncbi.nlm.nih.gov/pmc/blobs/3d61/1857998/9c41198bff7e/amjpathol00020-0290-a.jpg

文献AI研究员

20分钟写一篇综述,助力文献阅读效率提升50倍。

立即体验

用中文搜PubMed

大模型驱动的PubMed中文搜索引擎

马上搜索

文档翻译

学术文献翻译模型,支持多种主流文档格式。

立即体验