• 文献检索
  • 文档翻译
  • 深度研究
  • 学术资讯
  • Suppr Zotero 插件Zotero 插件
  • 邀请有礼
  • 套餐&价格
  • 历史记录
应用&插件
Suppr Zotero 插件Zotero 插件浏览器插件Mac 客户端Windows 客户端微信小程序
定价
高级版会员购买积分包购买API积分包
服务
文献检索文档翻译深度研究API 文档MCP 服务
关于我们
关于 Suppr公司介绍联系我们用户协议隐私条款
关注我们

Suppr 超能文献

核心技术专利:CN118964589B侵权必究
粤ICP备2023148730 号-1Suppr @ 2026

文献检索

告别复杂PubMed语法,用中文像聊天一样搜索,搜遍4000万医学文献。AI智能推荐,让科研检索更轻松。

立即免费搜索

文件翻译

保留排版,准确专业,支持PDF/Word/PPT等文件格式,支持 12+语言互译。

免费翻译文档

深度研究

AI帮你快速写综述,25分钟生成高质量综述,智能提取关键信息,辅助科研写作。

立即免费体验

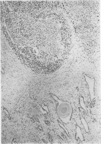
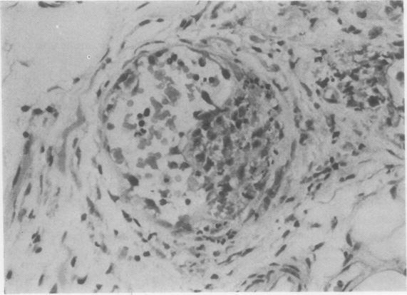
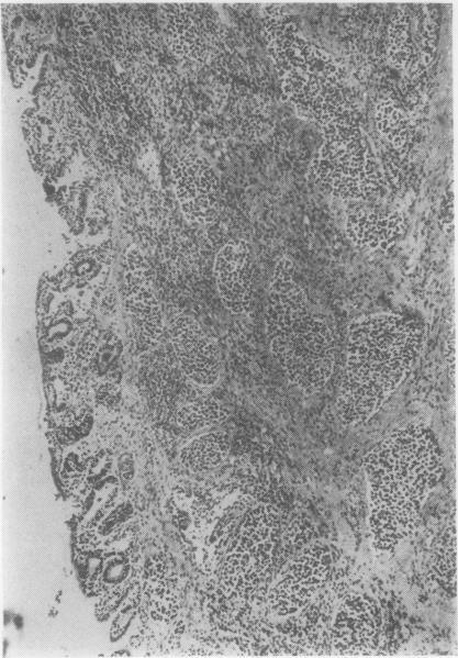
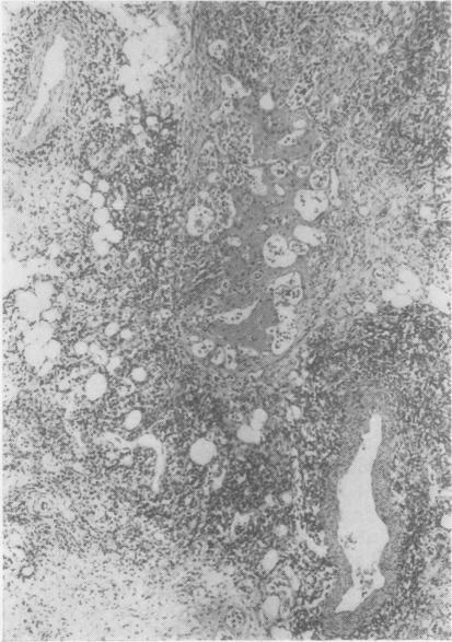
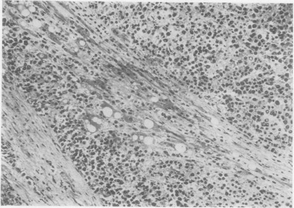
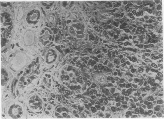
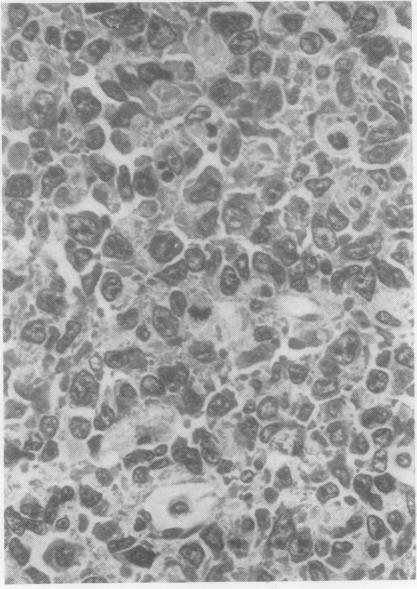
伴有转移的系统性血管内皮瘤病

Systemic angioendotheliomatosis with metastases.

作者信息

Kurrein F

出版信息

J Clin Pathol. 1976 Apr;29(4):347-53. doi: 10.1136/jcp.29.4.347.

DOI:10.1136/jcp.29.4.347
PMID:932227
原文链接:https://pmc.ncbi.nlm.nih.gov/articles/PMC476061/
Abstract

The clinical and pathological findings of a case of systemic angioendotheliomatosis are presented. The previously published cases of this disease are analysed. The present case is only the third to show clear evidence of metastasis.

摘要

本文报告了一例系统性血管内皮瘤病的临床及病理表现。对该疾病既往已发表的病例进行了分析。本病例是第三例有明确转移证据的病例。

https://cdn.ncbi.nlm.nih.gov/pmc/blobs/0e29/476061/38af2deb5213/jclinpath00150-0082-c.jpg
https://cdn.ncbi.nlm.nih.gov/pmc/blobs/0e29/476061/0c8e36dec450/jclinpath00150-0078-a.jpg
https://cdn.ncbi.nlm.nih.gov/pmc/blobs/0e29/476061/5456189c939d/jclinpath00150-0078-b.jpg
https://cdn.ncbi.nlm.nih.gov/pmc/blobs/0e29/476061/a9ae956e4174/jclinpath00150-0078-c.jpg
https://cdn.ncbi.nlm.nih.gov/pmc/blobs/0e29/476061/9bc0a2b4de74/jclinpath00150-0079-a.jpg
https://cdn.ncbi.nlm.nih.gov/pmc/blobs/0e29/476061/cd29710c0861/jclinpath00150-0079-b.jpg
https://cdn.ncbi.nlm.nih.gov/pmc/blobs/0e29/476061/117376bc3cea/jclinpath00150-0079-c.jpg
https://cdn.ncbi.nlm.nih.gov/pmc/blobs/0e29/476061/b29dd4d90044/jclinpath00150-0080-a.jpg
https://cdn.ncbi.nlm.nih.gov/pmc/blobs/0e29/476061/ad1c57ee36e4/jclinpath00150-0080-b.jpg
https://cdn.ncbi.nlm.nih.gov/pmc/blobs/0e29/476061/2a6b931c4e1e/jclinpath00150-0080-c.jpg
https://cdn.ncbi.nlm.nih.gov/pmc/blobs/0e29/476061/539942ec6548/jclinpath00150-0081-a.jpg
https://cdn.ncbi.nlm.nih.gov/pmc/blobs/0e29/476061/eab5ad75c8e7/jclinpath00150-0081-b.jpg
https://cdn.ncbi.nlm.nih.gov/pmc/blobs/0e29/476061/7c57b14d4ab4/jclinpath00150-0081-c.jpg
https://cdn.ncbi.nlm.nih.gov/pmc/blobs/0e29/476061/5c248fba2e76/jclinpath00150-0082-a.jpg
https://cdn.ncbi.nlm.nih.gov/pmc/blobs/0e29/476061/22469a2298b4/jclinpath00150-0082-b.jpg
https://cdn.ncbi.nlm.nih.gov/pmc/blobs/0e29/476061/38af2deb5213/jclinpath00150-0082-c.jpg
https://cdn.ncbi.nlm.nih.gov/pmc/blobs/0e29/476061/0c8e36dec450/jclinpath00150-0078-a.jpg
https://cdn.ncbi.nlm.nih.gov/pmc/blobs/0e29/476061/5456189c939d/jclinpath00150-0078-b.jpg
https://cdn.ncbi.nlm.nih.gov/pmc/blobs/0e29/476061/a9ae956e4174/jclinpath00150-0078-c.jpg
https://cdn.ncbi.nlm.nih.gov/pmc/blobs/0e29/476061/9bc0a2b4de74/jclinpath00150-0079-a.jpg
https://cdn.ncbi.nlm.nih.gov/pmc/blobs/0e29/476061/cd29710c0861/jclinpath00150-0079-b.jpg
https://cdn.ncbi.nlm.nih.gov/pmc/blobs/0e29/476061/117376bc3cea/jclinpath00150-0079-c.jpg
https://cdn.ncbi.nlm.nih.gov/pmc/blobs/0e29/476061/b29dd4d90044/jclinpath00150-0080-a.jpg
https://cdn.ncbi.nlm.nih.gov/pmc/blobs/0e29/476061/ad1c57ee36e4/jclinpath00150-0080-b.jpg
https://cdn.ncbi.nlm.nih.gov/pmc/blobs/0e29/476061/2a6b931c4e1e/jclinpath00150-0080-c.jpg
https://cdn.ncbi.nlm.nih.gov/pmc/blobs/0e29/476061/539942ec6548/jclinpath00150-0081-a.jpg
https://cdn.ncbi.nlm.nih.gov/pmc/blobs/0e29/476061/eab5ad75c8e7/jclinpath00150-0081-b.jpg
https://cdn.ncbi.nlm.nih.gov/pmc/blobs/0e29/476061/7c57b14d4ab4/jclinpath00150-0081-c.jpg
https://cdn.ncbi.nlm.nih.gov/pmc/blobs/0e29/476061/5c248fba2e76/jclinpath00150-0082-a.jpg
https://cdn.ncbi.nlm.nih.gov/pmc/blobs/0e29/476061/22469a2298b4/jclinpath00150-0082-b.jpg
https://cdn.ncbi.nlm.nih.gov/pmc/blobs/0e29/476061/38af2deb5213/jclinpath00150-0082-c.jpg

相似文献

1
Systemic angioendotheliomatosis with metastases.伴有转移的系统性血管内皮瘤病
J Clin Pathol. 1976 Apr;29(4):347-53. doi: 10.1136/jcp.29.4.347.
2
Angioendotheliomatosis of the nose with fatal systemic dissemination.
Cancer. 1981 Dec 1;48(11):2510-7. doi: 10.1002/1097-0142(19811201)48:11<2510::aid-cncr2820481128>3.0.co;2-v.
3
Cerebral angioendotheliomatosis.脑血管内皮瘤病
Arch Pathol Lab Med. 1982 Jul;106(7):342-6.
4
[Malignant endothelial vascular tumor with distal embolization (author's transl)].伴有远端栓塞的恶性内皮血管肿瘤(作者译)
Virchows Arch A Pathol Anat Histol. 1976 Aug 23;371(2):153-9. doi: 10.1007/BF00444931.
5
Neoplastic angioendotheliomatosis and prostatic carcinoma coexisting in a patient. A case report.一名患者同时存在肿瘤性血管内皮瘤病和前列腺癌。病例报告。
Ala J Med Sci. 1986 Jul;23(3):318-21.
6
Angioendotheliomatosis.血管内皮瘤病
J Am Acad Dermatol. 1988 Feb;18(2 Pt 2):407-12. doi: 10.1016/s0190-9622(88)70058-4.
7
Reactive angioendotheliomatosis. Case report and review of the literature.反应性血管内皮瘤病。病例报告及文献复习
Am J Dermatopathol. 1996 Feb;18(1):63-9. doi: 10.1097/00000372-199602000-00010.
8
Systemic angioendotheliomatosis of the lung.
Pathol Res Pract. 1987 Apr;182(2):265-74. doi: 10.1016/S0344-0338(87)80116-4.
9
[Systemic angioendotheliomatosis (author's transl)].[系统性血管内皮瘤病(作者译)]
Zentralbl Allg Pathol. 1978;122(4):351-5.
10
Reactive angioendotheliomatosis.反应性血管内皮瘤病
J Am Acad Dermatol. 1980 Feb;2(2):117-23. doi: 10.1016/s0190-9622(80)80389-6.

引用本文的文献

1
Development of hepatic angiosarcoma in man induced by vinyl chloride, thorotrast, and arsenic. Comparison with cases of unknown etiology.氯乙烯、钍造影剂和砷诱发人类肝血管肉瘤。与病因不明病例的比较。
Am J Pathol. 1978 Aug;92(2):349-76.

本文引用的文献

1
[On the recognition of systematized endotheliomatosis of the cutaneous blood vessels (reticuloendotheliosis?].[论皮肤血管系统性内皮瘤病的认识(网状内皮瘤病?)]
Hautarzt. 1959 Aug;10:359-63.
2
NEOPLASTIC ANGIOENDOTHELIOSIS.肿瘤性血管内皮增生症
Neurology. 1965 Jul;15:644-8. doi: 10.1212/wnl.15.7.644.
3
INTRAVASCULAR ENDOTHELIOMA (ENDOTHELIOMA IN SITU, SYSTEMIC ENDOTHELIOMATOSIS).血管内内皮瘤(原位内皮瘤,系统性内皮瘤病)
J Clin Pathol. 1964 Nov;17(6):608-11. doi: 10.1136/jcp.17.6.608.
4
Systemic proliferating angioendotheliomatosis. A case report.系统性增殖性血管内皮瘤病。病例报告。
Obstet Gynecol. 1971 Mar;37(3):377-80.
5
Proliferating systematized angioendotheliomatosis.增殖性系统性血管内皮瘤病
Arch Dermatol. 1971 Sep;104(3):320-4.
6
Proliferating angioendotheliomatosis.增生性血管内皮瘤病
Arch Pathol. 1975 Jun;99(6):323-6.
7
Systemic endotheliomatosis: a case report.系统性内皮瘤病:一例报告。
J Clin Pathol. 1975 Jun;28(6):476-82. doi: 10.1136/jcp.28.6.476.