Suppr超能文献

血管内皮生长因子受体KDR/flk-1的全身激活选择性地触发具有血管生成表型的内皮细胞。

Systemic activation of the vascular endothelial growth factor receptor KDR/flk-1 selectively triggers endothelial cells with an angiogenic phenotype.

作者信息

Ortéga N, Jonca F, Vincent S, Favard C, Ruchoux M M, Plouët J

机构信息

Laboratoire de Biologie Moléculaire Eucaryote, Toulouse, France.

出版信息

Am J Pathol. 1997 Nov;151(5):1215-24.

Abstract

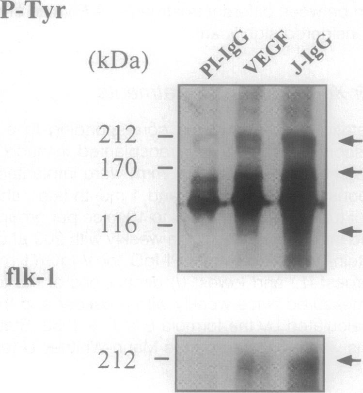
The hypothesis that tumor growth is angiogenesis dependent has been documented by a considerable body of direct and indirect experimental data. A prerequisite for the development of novel anti-angiogenic agents is the design of drugs that would be active only on those endothelial cells with an angiogenic phenotype. We took advantage of the anti-idiotypic strategy to obtain circulating agonists specific for the vascular endothelial growth factor receptor KDR/flk-1 (J-IgG). They induced in the absence of VEGF cell proliferation in vitro and angiogenesis in the corneal pocket assay either through local or systemic delivery. Intraperitoneal injections of J-IgG in nude mice grafted with a prostatic adenocarcinoma led to tumor enlargement associated with an increase in both tumor vascularization and proliferation. In contrast KDR/flk-1 overstimulation had no detectable effect on normal tissues. These data underline that KDR/flk-1 is a functional marker of the angiogenic phenotype of endothelial cells.

摘要

肿瘤生长依赖于血管生成这一假说已被大量直接和间接的实验数据所证实。开发新型抗血管生成药物的一个先决条件是设计出仅对具有血管生成表型的内皮细胞有活性的药物。我们利用抗独特型策略获得了对血管内皮生长因子受体KDR/flk-1具有特异性的循环激动剂(J-IgG)。它们在无VEGF的情况下,通过局部或全身给药,在体外诱导细胞增殖,并在角膜袋试验中诱导血管生成。向接种前列腺腺癌的裸鼠腹腔注射J-IgG会导致肿瘤增大,同时肿瘤血管化和增殖均增加。相比之下,KDR/flk-1的过度刺激对正常组织没有可检测到的影响。这些数据强调KDR/flk-1是内皮细胞血管生成表型的功能标志物。

https://cdn.ncbi.nlm.nih.gov/pmc/blobs/d54e/1858082/8230fe31f17a/amjpathol00023-0046-a.jpg

文献检索

告别复杂PubMed语法,用中文像聊天一样搜索,搜遍4000万医学文献。AI智能推荐,让科研检索更轻松。

立即免费搜索

文件翻译

保留排版,准确专业,支持PDF/Word/PPT等文件格式,支持 12+语言互译。

免费翻译文档

深度研究

AI帮你快速写综述,25分钟生成高质量综述,智能提取关键信息,辅助科研写作。

立即免费体验