Wilczynski S P, Lin B T, Xie Y, Paz I B
Division of Pathology, City of Hope National Medical Center, Duarte, California 91010, USA.
Am J Pathol. 1998 Jan;152(1):145-56.
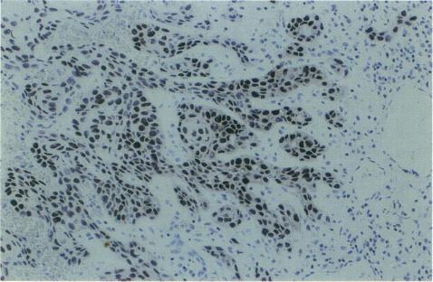
Human papillomavirus (HPV) DNA has been detected in approximately 15% of squamous cell carcinomas (SCCs) of the head and neck. Recent studies have shown a predilection of HPV for certain anatomical sites, especially the tonsillar region, with viral DNA identified in approximately 60% of SCCs of the Waldeyer's tonsillar ring. This study was undertaken to determine whether there are differences in morphology or in oncogene expression in SCC of the tonsil with and without detectable HPV DNA. Twenty-two SCCs of the tonsil were analyzed for the presence of HPV DNA by polymerase chain reaction (PCR) using both a consensus primer set (My09/My11) and type-specific primers. Viral transcription was established in both primary and metastatic tumors by RNA in situ hybridization. The morphology of invasive SCC was classified into three subtypes: well keratinized (K-SCC), intermediate keratinized (I-SCC), and poorly keratinized (P-SCC). Expression of p53, pRB, and cyclin D1 (bcl-1) were studied by immunohistochemistry. In these cases (6 K-SCCs, 2 I-SCCs, and 14 P-SCCs), HPV DNA was detected in 14 (64%), with 11 containing HPV-16 (10 P-SCCs, 1 I-SCCs, and 0 K-SCCs) and 1 each containing HPV-33, HPV-59, and an unclassified HPV type (all P-SCCs). Viral oncoprotein E6/E7 transcription was demonstrated in 7 of 7 HPV-16-positive tumors. Cyclin D1 protein overexpression was detected in the majority of HPV-negative tumors (7 of 8 cases), whereas it was minimal or absent in 13 HPV-positive tumors. Overexpression of p53 protein was detected in 3 HPV-negative K-SCCs. In the HPV-positive tumors, fewer malignant cells expressed pRB and the staining was less intense than in the HPV-negative cancers. HPV DNA and E6/E7 expression, especially HPV-16, is detected in the majority of tonsillar SCCs and is almost exclusively associated with a poorly keratinized tumor histology. Decreased expression of cyclin D1, pRB, and p53 in tumors with HPV DNA is consistent with the known effects of the viral oncoproteins on the cellular protein. The morphology of the HPV-positive tumors suggests that HPV may have a predilection for a population of nonkeratinizing squamous cells or that the virally transformed cells inhibit keratinization of the tumor cells. Well keratinized tonsillar SCCs lack HPV DNA and are associated with overexpression of cyclin D1 protein and/or p53, suggesting that mechanisms that alter the cell cycle regulatory proteins, either by interaction with viral oncoproteins or by changes in the cellular proteins themselves, is critical for tumorigenesis of tonsillar SCC.
在大约15%的头颈部鳞状细胞癌(SCC)中检测到了人乳头瘤病毒(HPV)DNA。最近的研究表明,HPV对某些解剖部位有偏好,尤其是扁桃体区域,在瓦尔代尔扁桃体环的SCC中约60%可检测到病毒DNA。本研究旨在确定扁桃体SCC中,可检测到HPV DNA与未检测到HPV DNA的病例在形态学或癌基因表达上是否存在差异。通过聚合酶链反应(PCR),使用通用引物组(My09/My11)和型特异性引物,对22例扁桃体SCC进行HPV DNA检测。通过RNA原位杂交在原发性和转移性肿瘤中确定病毒转录情况。浸润性SCC的形态学分为三种亚型:高度角化型(K-SCC)、中度角化型(I-SCC)和低度角化型(P-SCC)。通过免疫组织化学研究p53、pRB和细胞周期蛋白D1(bcl-1)的表达。在这些病例(6例K-SCC、2例I-SCC和14例P-SCC)中,14例(64%)检测到HPV DNA,其中11例含有HPV-16(10例P-SCC、1例I-SCC和0例K-SCC),1例分别含有HPV-33、HPV-59和1种未分类的HPV型(均为P-SCC)。在7例HPV-16阳性肿瘤中的7例中证实了病毒癌蛋白E6/E7转录。在大多数HPV阴性肿瘤(8例中的7例)中检测到细胞周期蛋白D1蛋白过表达,而在13例HPV阳性肿瘤中其表达极少或无表达。在3例HPV阴性K-SCC中检测到p53蛋白过表达。在HPV阳性肿瘤中,表达pRB的恶性细胞较少,且染色强度低于HPV阴性癌。在大多数扁桃体SCC中检测到HPV DNA和E6/E7表达,尤其是HPV-16,并且几乎仅与低度角化的肿瘤组织学相关。HPV DNA阳性肿瘤中细胞周期蛋白D1、pRB和p53表达降低,这与病毒癌蛋白对细胞蛋白的已知作用一致。HPV阳性肿瘤的形态学表明,HPV可能偏好一群非角化鳞状细胞,或者病毒转化的细胞抑制肿瘤细胞的角化。高度角化的扁桃体SCC缺乏HPV DNA,并与细胞周期蛋白D1蛋白和/或p53过表达相关,这表明通过与病毒癌蛋白相互作用或细胞蛋白自身变化来改变细胞周期调节蛋白的机制,对扁桃体SCC的肿瘤发生至关重要。