Spencer S D, Di Marco F, Hooley J, Pitts-Meek S, Bauer M, Ryan A M, Sordat B, Gibbs V C, Aguet M
Genentech Inc., South San Francisco, California 94080, USA.
J Exp Med. 1998 Feb 16;187(4):571-8. doi: 10.1084/jem.187.4.571.
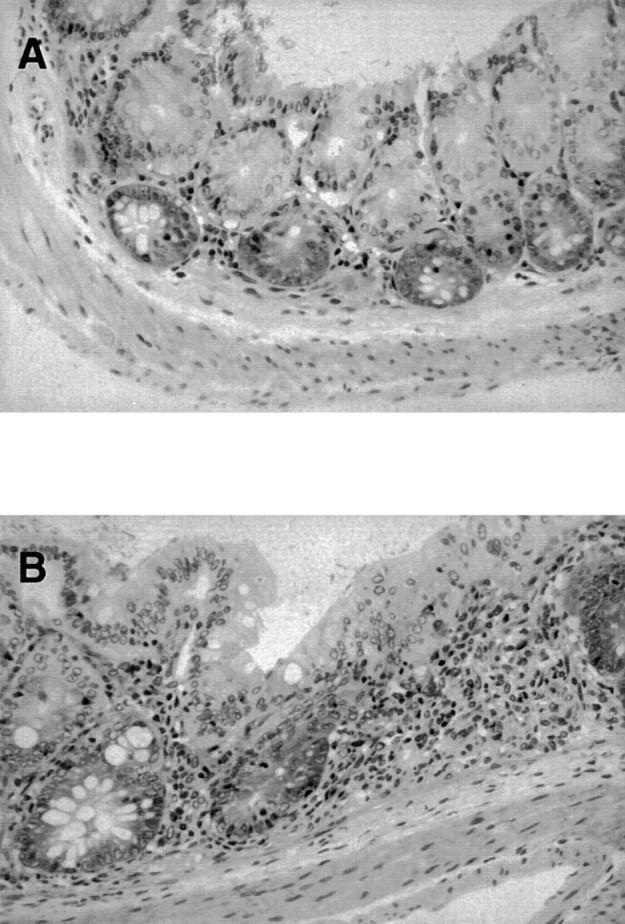
The orphan receptor CRF2-4 is a member of the class II cytokine receptor family (CRF2), which includes the interferon receptors, the interleukin (IL) 10 receptor, and tissue factor. CRFB4, the gene encoding CRF2-4, is located within a gene cluster on human chromosome 21 that comprises three interferon receptor subunits. To elucidate the role of CRF2-4, we disrupted the CRFB4 gene in mice by means of homologous recombination. Mice lacking CRF2-4 show no overt abnormalities, grow normally, and are fertile. CRF2-4 deficient cells are normally responsive to type I and type II interferons, but lack responsiveness to IL-10. By approximately 12 wk of age, the majority of mutant mice raised in a conventional facility developed a chronic colitis and splenomegaly. Thus, CRFB4 mutant mice recapitulate the phenotype of IL-10-deficient mice. These findings suggest that CRF2-4 is essential for IL-10-mediated effects and is a subunit of the IL-10 receptor.
孤儿受体CRF2-4是II类细胞因子受体家族(CRF2)的成员,该家族包括干扰素受体、白细胞介素(IL)10受体和组织因子。编码CRF2-4的基因CRFB4位于人类21号染色体上的一个基因簇内,该基因簇包含三个干扰素受体亚基。为了阐明CRF2-4的作用,我们通过同源重组破坏了小鼠中的CRFB4基因。缺乏CRF2-4的小鼠没有明显异常,生长正常且可育。CRF2-4缺陷细胞通常对I型和II型干扰素有反应,但对IL-10缺乏反应。到大约12周龄时,在传统饲养设施中饲养的大多数突变小鼠出现了慢性结肠炎和脾肿大。因此,CRFB4突变小鼠重现了IL-10缺陷小鼠的表型。这些发现表明,CRF2-4对IL-10介导的效应至关重要,并且是IL-10受体的一个亚基。