Suppr超能文献

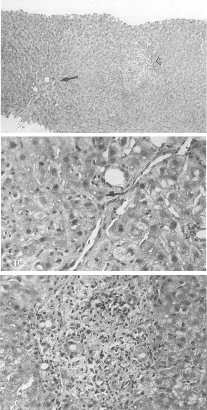
Glibenclamide-induced cholestasis.

作者信息

Tholakanahalli V N, Potti A, Heyworth M F

机构信息

Department of Internal Medicine, University of North Dakota School of Medicine and Health Sciences, Fargo, USA.

出版信息

West J Med. 1998 Apr;168(4):274-7.

Abstract
摘要
https://cdn.ncbi.nlm.nih.gov/pmc/blobs/9e92/1304962/2b11c0d720c4/westjmed00331-0049-a.jpg

文献AI研究员

20分钟写一篇综述,助力文献阅读效率提升50倍。

立即体验

用中文搜PubMed

大模型驱动的PubMed中文搜索引擎

马上搜索

文档翻译

学术文献翻译模型,支持多种主流文档格式。

立即体验