Suppr超能文献

新月体性肾小球肾炎需要肾脏固有细胞表达主要组织相容性复合体II类分子。

Major histocompatibility complex class II expression by intrinsic renal cells is required for crescentic glomerulonephritis.

作者信息

Li S, Kurts C, Köntgen F, Holdsworth S R, Tipping P G

机构信息

Centre for Inflammatory Diseases, Monash University Department of Medicine, Monash Medical Centre, Clayton, 3168, Victoria, Australia.

出版信息

J Exp Med. 1998 Aug 3;188(3):597-602. doi: 10.1084/jem.188.3.597.

Abstract

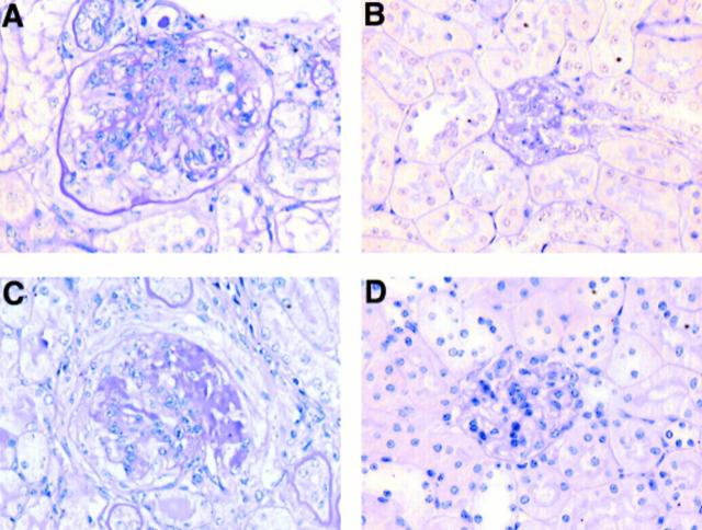
The requirement for major histocompatibility complex class II (MHC II) to initiate immune renal injury was studied in a murine model of CD4(+) T cell-dependent crescentic glomerulonephritis (GN). C57BL/6 (MHC II+/+) mice developed crescentic GN with glomerular CD4(+) T cell infiltration and renal injury, in response to a nephritogenic antigen (sheep globulin) planted on their glomerular basement membrane. MHC II-deficient C57BL/6 mice (MHC II-/-) did not develop crescentic GN, CD4(+) T cell infiltration, or injury, indicating that this form of immune glomerular injury is MHC II dependent. The requirement for MHC II expression by intrinsic renal cells was studied in chimeric mice, which expressed MHC II on bone marrow-derived cells and in the thymus, but not in the kidneys. These chimeric mice had normal T and B cell populations and MHC II expression in their spleens and lymph nodes and developed an immune response to systemically and cutaneously administered sheep globulin. However, they did not develop crescentic GN, CD4(+) T cell infiltration, or renal injury in response to the sheep globulin planted in their glomeruli. These studies demonstrate that interaction of CD4(+) T cells with intrinsic renal cells expressing MHC II is required for development of cell-mediated immune renal injury.

摘要

在CD4(+) T细胞依赖性新月体性肾小球肾炎(GN)的小鼠模型中,研究了主要组织相容性复合体II类(MHC II)引发免疫性肾损伤的必要性。C57BL/6(MHC II+/+)小鼠在肾小球基底膜上植入致肾炎抗原(羊球蛋白)后,出现了伴有肾小球CD4(+) T细胞浸润和肾损伤的新月体性GN。MHC II缺陷的C57BL/6小鼠(MHC II-/-)未发生新月体性GN、CD4(+) T细胞浸润或损伤,这表明这种形式的免疫性肾小球损伤是MHC II依赖性的。在嵌合小鼠中研究了肾固有细胞表达MHC II的必要性,这些嵌合小鼠在骨髓来源的细胞和胸腺中表达MHC II,但在肾脏中不表达。这些嵌合小鼠的T细胞和B细胞群体正常,脾脏和淋巴结中有MHC II表达,并且对全身和皮肤给予的羊球蛋白产生免疫反应。然而,它们在肾小球植入羊球蛋白后并未发生新月体性GN、CD4(+) T细胞浸润或肾损伤。这些研究表明,CD4(+) T细胞与表达MHC II的肾固有细胞相互作用是细胞介导的免疫性肾损伤发生所必需的。

https://cdn.ncbi.nlm.nih.gov/pmc/blobs/a1cc/2212465/468e387f6b14/JEM972296.f1.jpg

文献检索

告别复杂PubMed语法,用中文像聊天一样搜索,搜遍4000万医学文献。AI智能推荐,让科研检索更轻松。

立即免费搜索

文件翻译

保留排版,准确专业,支持PDF/Word/PPT等文件格式,支持 12+语言互译。

免费翻译文档

深度研究

AI帮你快速写综述,25分钟生成高质量综述,智能提取关键信息,辅助科研写作。

立即免费体验