Suppr超能文献

自发性心包积气

Spontaneous pneumopericardium.

作者信息

Gossage A A, Robertson P W, Stephenson S F

出版信息

Thorax. 1976 Aug;31(4):460-5. doi: 10.1136/thx.31.4.460.

Abstract

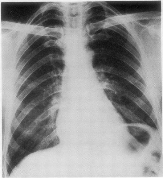
Spontaneous pneumopericardium is a relatively rare event, although cases have been recorded over the past 130 years. Many were associated with malignancy, trauma, infection or as a complication of recent surgery. Attempts at surgical resolution have been infrequent and survival extremely rare. We describe a patient in whom pneumopericardium developed spontaneously and insidiously, probably being present for some weeks before hospital investigation. Surgical exploration revealed the cause to be a benign gastric ulcer without an hiatus hernia or other diaphragmatic defect. Repair was attempted but the patient died in the early postoperative period. From an extensive review of the literature it is clear that spontaneous perforation of a gastric ulcer into the pericardium must be less rare than some authors have suggested.

摘要

自发性心包积气是一种相对罕见的情况,尽管在过去130年里已有病例记录。许多病例与恶性肿瘤、创伤、感染有关,或作为近期手术的并发症。手术解决的尝试并不常见,存活率极低。我们描述了一名患者,其心包积气是自发且隐匿性发生的,在医院检查前可能已经存在数周。手术探查发现病因是一个良性胃溃疡,没有食管裂孔疝或其他膈肌缺损。尝试进行了修复,但患者在术后早期死亡。通过对大量文献的广泛回顾,很明显胃溃疡自发穿孔进入心包的情况肯定不像一些作者所认为的那么罕见。

https://cdn.ncbi.nlm.nih.gov/pmc/blobs/25fc/470460/228ba3042dc0/thorax00148-0098-a.jpg

文献检索

告别复杂PubMed语法,用中文像聊天一样搜索,搜遍4000万医学文献。AI智能推荐,让科研检索更轻松。

立即免费搜索

文件翻译

保留排版,准确专业,支持PDF/Word/PPT等文件格式,支持 12+语言互译。

免费翻译文档

深度研究

AI帮你快速写综述,25分钟生成高质量综述,智能提取关键信息,辅助科研写作。

立即免费体验