• 文献检索
  • 文档翻译
  • 深度研究
  • 学术资讯
  • Suppr Zotero 插件Zotero 插件
  • 邀请有礼
  • 套餐&价格
  • 历史记录
应用&插件
Suppr Zotero 插件Zotero 插件浏览器插件Mac 客户端Windows 客户端微信小程序
定价
高级版会员购买积分包购买API积分包
服务
文献检索文档翻译深度研究API 文档MCP 服务
关于我们
关于 Suppr公司介绍联系我们用户协议隐私条款
关注我们

Suppr 超能文献

核心技术专利:CN118964589B侵权必究
粤ICP备2023148730 号-1Suppr @ 2026

文献检索

告别复杂PubMed语法,用中文像聊天一样搜索,搜遍4000万医学文献。AI智能推荐,让科研检索更轻松。

立即免费搜索

文件翻译

保留排版,准确专业,支持PDF/Word/PPT等文件格式,支持 12+语言互译。

免费翻译文档

深度研究

AI帮你快速写综述,25分钟生成高质量综述,智能提取关键信息,辅助科研写作。

立即免费体验

整合素介导的ras-细胞外调节激酶(ERK)信号传导调节人类自然杀伤细胞中γ干扰素的产生。

Integrin-mediated ras-extracellular regulated kinase (ERK) signaling regulates interferon gamma production in human natural killer cells.

作者信息

Mainiero F, Gismondi A, Soriani A, Cippitelli M, Palmieri G, Jacobelli J, Piccoli M, Frati L, Santoni A

机构信息

Department of Experimental Medicine and Pathology, Istituto Pasteur-Fondazione Cenci Bolognetti, University of Rome "La Sapienza", 00161 Rome, Italy.

出版信息

J Exp Med. 1998 Oct 5;188(7):1267-75. doi: 10.1084/jem.188.7.1267.

DOI:10.1084/jem.188.7.1267
PMID:9763606
原文链接:https://pmc.ncbi.nlm.nih.gov/articles/PMC2212502/
Abstract

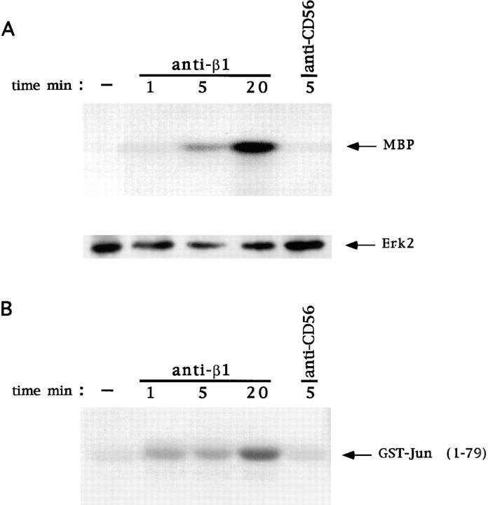
Recent evidence indicates that integrin engagement results in the activation of biochemical signaling events important for regulating different cell functions, such as migration, adhesion, proliferation, differentiation, apoptosis, and specific gene expression. Here, we report that beta1 integrin ligation on human natural killer (NK) cells results in the activation of Ras/mitogen-activated protein kinase pathways. Formation of Shc-growth factor receptor-bound protein 2 (Grb2) and Shc-proline-rich tyrosine kinase 2-Grb2 complexes are the receptor-proximal events accompanying the beta1 integrin-mediated Ras activation. In addition, we demonstrate that ligation of beta1 integrins results in the stimulation of interferon gamma (IFN-gamma) production, which is under the control of extracellular signal-regulated kinase 2 activation. Overall, our data indicate that beta1 integrins, by delivering signals capable of triggering IFN-gamma production, may function as NK-activating receptors.

摘要

最近的证据表明,整合素的结合会导致对调节不同细胞功能(如迁移、黏附、增殖、分化、凋亡和特定基因表达)至关重要的生化信号事件的激活。在此,我们报告人类自然杀伤(NK)细胞上的β1整合素连接会导致Ras/丝裂原活化蛋白激酶途径的激活。Shc-生长因子受体结合蛋白2(Grb2)和Shc-富含脯氨酸的酪氨酸激酶2-Grb2复合物的形成是伴随β1整合素介导的Ras激活的受体近端事件。此外,我们证明β1整合素的连接会导致干扰素γ(IFN-γ)产生的刺激,这受细胞外信号调节激酶2激活的控制。总体而言,我们的数据表明,β1整合素通过传递能够触发IFN-γ产生的信号,可能作为NK激活受体发挥作用。

https://cdn.ncbi.nlm.nih.gov/pmc/blobs/4803/2212502/c26fec60a453/JEM980918.f7.jpg
https://cdn.ncbi.nlm.nih.gov/pmc/blobs/4803/2212502/b77e0fb69b60/JEM980918.f1.jpg
https://cdn.ncbi.nlm.nih.gov/pmc/blobs/4803/2212502/a449397c5aa3/JEM980918.f2.jpg
https://cdn.ncbi.nlm.nih.gov/pmc/blobs/4803/2212502/07e3e125b7c8/JEM980918.f3.jpg
https://cdn.ncbi.nlm.nih.gov/pmc/blobs/4803/2212502/9002da4c4eb0/JEM980918.f4.jpg
https://cdn.ncbi.nlm.nih.gov/pmc/blobs/4803/2212502/622a306873be/JEM980918.f5.jpg
https://cdn.ncbi.nlm.nih.gov/pmc/blobs/4803/2212502/d2c791e24acc/JEM980918.f6.jpg
https://cdn.ncbi.nlm.nih.gov/pmc/blobs/4803/2212502/c26fec60a453/JEM980918.f7.jpg
https://cdn.ncbi.nlm.nih.gov/pmc/blobs/4803/2212502/b77e0fb69b60/JEM980918.f1.jpg
https://cdn.ncbi.nlm.nih.gov/pmc/blobs/4803/2212502/a449397c5aa3/JEM980918.f2.jpg
https://cdn.ncbi.nlm.nih.gov/pmc/blobs/4803/2212502/07e3e125b7c8/JEM980918.f3.jpg
https://cdn.ncbi.nlm.nih.gov/pmc/blobs/4803/2212502/9002da4c4eb0/JEM980918.f4.jpg
https://cdn.ncbi.nlm.nih.gov/pmc/blobs/4803/2212502/622a306873be/JEM980918.f5.jpg
https://cdn.ncbi.nlm.nih.gov/pmc/blobs/4803/2212502/d2c791e24acc/JEM980918.f6.jpg
https://cdn.ncbi.nlm.nih.gov/pmc/blobs/4803/2212502/c26fec60a453/JEM980918.f7.jpg

相似文献

1
Integrin-mediated ras-extracellular regulated kinase (ERK) signaling regulates interferon gamma production in human natural killer cells.整合素介导的ras-细胞外调节激酶(ERK)信号传导调节人类自然杀伤细胞中γ干扰素的产生。
J Exp Med. 1998 Oct 5;188(7):1267-75. doi: 10.1084/jem.188.7.1267.
2
Tumor suppressor PTEN inhibits integrin- and growth factor-mediated mitogen-activated protein (MAP) kinase signaling pathways.肿瘤抑制因子PTEN可抑制整合素和生长因子介导的丝裂原活化蛋白(MAP)激酶信号通路。
J Cell Biol. 1998 Nov 30;143(5):1375-83. doi: 10.1083/jcb.143.5.1375.
3
The coupling of alpha6beta4 integrin to Ras-MAP kinase pathways mediated by Shc controls keratinocyte proliferation.由Shc介导的α6β4整合素与Ras-MAP激酶途径的偶联控制角质形成细胞的增殖。
EMBO J. 1997 May 1;16(9):2365-75. doi: 10.1093/emboj/16.9.2365.
4
The adaptor protein Shc couples a class of integrins to the control of cell cycle progression.衔接蛋白Shc将一类整合素与细胞周期进程的调控联系起来。
Cell. 1996 Nov 15;87(4):733-43. doi: 10.1016/s0092-8674(00)81392-6.
5
Ca2+ and protein kinase C-dependent mechanisms involved in gastrin-induced Shc/Grb2 complex formation and P44-mitogen-activated protein kinase activation.参与胃泌素诱导的Shc/Grb2复合物形成及P44-丝裂原活化蛋白激酶激活的钙离子和蛋白激酶C依赖性机制。
Biochem J. 1997 Jul 15;325 ( Pt 2)(Pt 2):383-9. doi: 10.1042/bj3250383.
6
Signal transduction by beta1 integrin receptors in human chondrocytes in vitro: collaboration with the insulin-like growth factor-I receptor.人软骨细胞中β1整合素受体的信号转导:与胰岛素样生长因子-I受体的协同作用
Biochem J. 1999 Sep 15;342 Pt 3(Pt 3):615-23.
7
CD16-mediated p21ras activation is associated with Shc and p36 tyrosine phosphorylation and their binding with Grb2 in human natural killer cells.CD16介导的p21ras激活与人自然杀伤细胞中Shc和p36的酪氨酸磷酸化及其与Grb2的结合有关。
J Exp Med. 1996 Jan 1;183(1):179-86. doi: 10.1084/jem.183.1.179.
8
T cell activation through the CD43 molecule leads to Vav tyrosine phosphorylation and mitogen-activated protein kinase pathway activation.通过CD43分子激活T细胞会导致Vav酪氨酸磷酸化和丝裂原活化蛋白激酶途径的激活。
J Biol Chem. 1998 Jun 5;273(23):14218-24. doi: 10.1074/jbc.273.23.14218.
9
Pertussis toxin-sensitive and insensitive intracellular signalling pathways in undifferentiated 3T3-L1 cells stimulated by insulin converge with phosphatidylinositol 3-kinase upstream of the Ras mitogen-activated protein kinase cascade.胰岛素刺激的未分化3T3-L1细胞中对百日咳毒素敏感和不敏感的细胞内信号通路在Ras丝裂原活化蛋白激酶级联反应上游与磷脂酰肌醇3-激酶汇聚。
Eur J Biochem. 1999 Feb;259(3):801-8. doi: 10.1046/j.1432-1327.1999.00100.x.
10
Shc regulates epidermal growth factor-induced activation of the JNK signaling pathway.Shc调节表皮生长因子诱导的JNK信号通路的激活。
J Biol Chem. 1999 Jul 16;274(29):20139-43. doi: 10.1074/jbc.274.29.20139.

引用本文的文献

1
Single-cell transcriptomics analysis reveals a disrupted NK-T cell interaction network in liver metastatic cancer.单细胞转录组学分析揭示了肝转移性癌中自然杀伤T细胞相互作用网络的破坏。
Sci Rep. 2025 Jul 1;15(1):20576. doi: 10.1038/s41598-025-06241-0.
2
Exploring the Genetic Orchestra of Cancer: The Interplay Between Oncogenes and Tumor-Suppressor Genes.探索癌症的基因交响乐:癌基因与肿瘤抑制基因之间的相互作用。
Cancers (Basel). 2025 Mar 24;17(7):1082. doi: 10.3390/cancers17071082.
3
Semaphorin 7A modulates cytokine-induced memory-like responses by human natural killer cells.

本文引用的文献

1
Integrin signalling and tyrosine phosphorylation: just the FAKs?整合素信号传导与酪氨酸磷酸化:仅仅是粘着斑激酶吗?
Trends Cell Biol. 1998 Apr;8(4):151-7. doi: 10.1016/s0962-8924(97)01172-0.
2
Immunoreceptor DAP12 bearing a tyrosine-based activation motif is involved in activating NK cells.带有基于酪氨酸的激活基序的免疫受体DAP12参与激活自然杀伤细胞。
Nature. 1998 Feb 12;391(6668):703-7. doi: 10.1038/35642.
3
Proline-rich tyrosine kinase-2 activation by beta 1 integrin fibronectin receptor cross-linking and association with paxillin in human natural killer cells.
信号素 7A 通过调节细胞因子诱导的人类自然杀伤细胞记忆样反应。
Eur J Immunol. 2019 Aug;49(8):1153-1166. doi: 10.1002/eji.201847931. Epub 2019 May 2.
4
Beyond Type 1 Regulatory T Cells: Co-expression of LAG3 and CD49b in IL-10-Producing T Cell Lineages.超越 1 型调节性 T 细胞:IL-10 产生 T 细胞谱系中 LAG3 和 CD49b 的共表达。
Front Immunol. 2018 Nov 19;9:2625. doi: 10.3389/fimmu.2018.02625. eCollection 2018.
5
ERK1/2, MEK1/2 and p38 downstream signalling molecules impaired in CD56 dim CD16+ and CD56 bright CD16 dim/- natural killer cells in Chronic Fatigue Syndrome/Myalgic Encephalomyelitis patients.在慢性疲劳综合征/肌痛性脑脊髓炎患者的CD56dimCD16+和CD56brightCD16dim/-自然杀伤细胞中受损的ERK1/2、MEK1/2和p38下游信号分子。
J Transl Med. 2016 Apr 21;14:97. doi: 10.1186/s12967-016-0859-z.
6
Expression and function of the TL1A/DR3 axis in chronic lymphocytic leukemia.TL1A/DR3轴在慢性淋巴细胞白血病中的表达及功能
Oncotarget. 2015 Oct 13;6(31):32061-74. doi: 10.18632/oncotarget.5201.
7
MAPKAP kinase 3 suppresses Ifng gene expression and attenuates NK cell cytotoxicity and Th1 CD4 T-cell development upon influenza A virus infection.丝裂原活化蛋白激酶激活蛋白激酶 3 抑制甲型流感病毒感染时 IFNγ 基因的表达,并减弱 NK 细胞的细胞毒性和 Th1 CD4 T 细胞的发育。
FASEB J. 2014 Oct;28(10):4235-46. doi: 10.1096/fj.14-249599. Epub 2014 Jun 16.
8
The TNF-family cytokine TL1A inhibits proliferation of human activated B cells.肿瘤坏死因子家族细胞因子 TL1A 抑制人活化 B 细胞的增殖。
PLoS One. 2013;8(4):e60136. doi: 10.1371/journal.pone.0060136. Epub 2013 Apr 2.
9
Effect of the disintegrin eristostatin on melanoma-natural killer cell interactions.整联蛋白抑素 eristostatin 对黑色素瘤-自然杀伤细胞相互作用的影响。
Toxicon. 2013 Jan;61:83-93. doi: 10.1016/j.toxicon.2012.10.011. Epub 2012 Nov 9.
10
Fibronectin-α4β1 interactions in hepatic cold ischemia and reperfusion injury: regulation of MMP-9 and MT1-MMP via the p38 MAPK pathway.纤维连接蛋白-α4β1 在肝冷缺血再灌注损伤中的相互作用:p38MAPK 通路对 MMP-9 和 MT1-MMP 的调节。
Am J Transplant. 2012 Oct;12(10):2689-99. doi: 10.1111/j.1600-6143.2012.04161.x. Epub 2012 Jul 19.
β1整合素纤连蛋白受体交联激活富含脯氨酸的酪氨酸激酶2及其在人自然杀伤细胞中与桩蛋白的关联
J Immunol. 1997 Nov 15;159(10):4729-36.
4
Integrin signaling: specificity and control of cell survival and cell cycle progression.整合素信号传导:细胞存活和细胞周期进程的特异性与调控
Curr Opin Cell Biol. 1997 Oct;9(5):691-700. doi: 10.1016/s0955-0674(97)80123-8.
5
Activated T cells from draining lymph nodes and an effector site differ in their responses to TCR stimulation.来自引流淋巴结和效应部位的活化T细胞对TCR刺激的反应不同。
J Immunol. 1997 Aug 1;159(3):1182-91.
6
Signal transduction during natural killer cell activation: inside the mind of a killer.自然杀伤细胞激活过程中的信号转导:杀手的内心世界
Immunity. 1997 Jun;6(6):655-61. doi: 10.1016/s1074-7613(00)80441-0.
7
Natural killer cell receptors.自然杀伤细胞受体
Curr Opin Immunol. 1997 Jun;9(3):344-50. doi: 10.1016/s0952-7915(97)80080-5.
8
The coupling of alpha6beta4 integrin to Ras-MAP kinase pathways mediated by Shc controls keratinocyte proliferation.由Shc介导的α6β4整合素与Ras-MAP激酶途径的偶联控制角质形成细胞的增殖。
EMBO J. 1997 May 1;16(9):2365-75. doi: 10.1093/emboj/16.9.2365.
9
Natural killer cells: from no receptors to too many.自然杀伤细胞:从无受体到受体过多。
Immunity. 1997 Apr;6(4):371-8. doi: 10.1016/s1074-7613(00)80280-0.
10
Natural killer cell cytolytic activity is inhibited by NKG2-A and activated by NKG2-C.自然杀伤细胞的细胞溶解活性受到NKG2 - A的抑制,并被NKG2 - C激活。
J Immunol. 1997 Apr 15;158(8):3603-9.