Suppr超能文献

喂食高水平菜籽油的鸡、鸭和火鸡的病理变化。

Pathological changes in chickens, ducks and turkeys fed high levels of rapeseed oil.

作者信息

Ratanasethkul C, Riddell C, Salmon R E, O'Neil J B

出版信息

Can J Comp Med. 1976 Oct;40(4):360-9.

Abstract

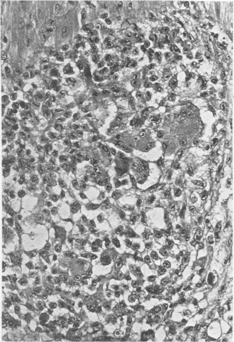
Rations containing 25% of either regular rapeseed oil (36% erucic acid), Oro rapeseed oil (1.9% erucic acid), soybean oil or a mixture of lard and corn oil were fed to chickens, ducks and turkeys. The regular rapeseed oil ration caused growth depression, increased feed conversion and anemia in all species. All the ducks and some of the chickens fed the regular rapeseed oil ration died. These dead birds were affected with hydropericardium and ascites. No deaths in the turkeys could be attributed to the regular rapeseed oil ration but some turkeys fed this ration had degenerative foci characterized by infiltrations of histiocytic and giant cells in the myocardium. Severe fatty change in the heart, skeletal muscles, spleen and kidney was found at an early age in all birds fed the regular rapeseed oil ration. Less severe fatty change but no other lesions were found in birds fed the Oro rapeseed oil and soybean oil rations.

摘要

将含有25%普通菜籽油(芥酸含量36%)、奥罗菜籽油(芥酸含量1.9%)、大豆油或猪油与玉米油混合物的日粮喂给鸡、鸭和火鸡。普通菜籽油日粮导致所有品种的生长抑制、饲料转化率提高和贫血。所有喂食普通菜籽油日粮的鸭子以及部分鸡死亡。这些死亡的禽类患有心包积水和腹水。火鸡的死亡不能归因于普通菜籽油日粮,但一些喂食该日粮的火鸡有以心肌组织细胞和巨细胞浸润为特征的退行性病灶。在所有喂食普通菜籽油日粮的禽类中,早期就发现心脏、骨骼肌、脾脏和肾脏有严重的脂肪变性。喂食奥罗菜籽油和大豆油日粮的禽类脂肪变性较轻,但未发现其他病变。

https://cdn.ncbi.nlm.nih.gov/pmc/blobs/c6d7/1277565/a96e0a28b22b/compmed00040-0041-a.jpg

文献AI研究员

20分钟写一篇综述,助力文献阅读效率提升50倍。

立即体验

用中文搜PubMed

大模型驱动的PubMed中文搜索引擎

马上搜索

文档翻译

学术文献翻译模型,支持多种主流文档格式。

立即体验