Suppr超能文献

乳腺中的ErbB4信号传导是泌乳期间小叶腺泡发育和Stat5激活所必需的。

ErbB4 signaling in the mammary gland is required for lobuloalveolar development and Stat5 activation during lactation.

作者信息

Jones F E, Welte T, Fu X Y, Stern D F

机构信息

Department of Pathology, BML 342, Yale University School of Medicine, New Haven, Connecticut 06520-8023, USA.

出版信息

J Cell Biol. 1999 Oct 4;147(1):77-88. doi: 10.1083/jcb.147.1.77.

Abstract

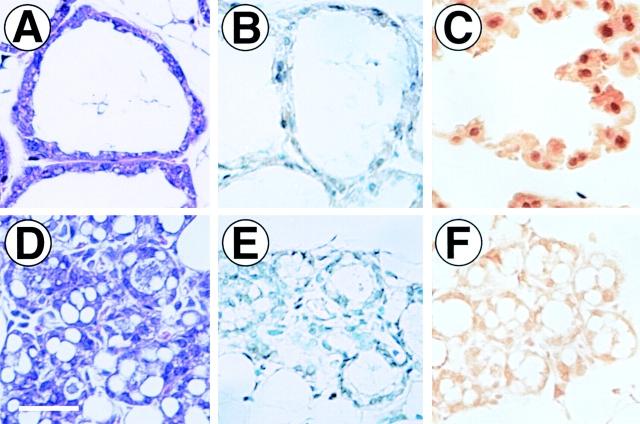
Signaling by members of the epidermal growth factor receptor family plays an important role in breast development and breast cancer. Earlier work suggested that one of these receptors, ErbB4, is coupled to unique responses in this tissue. To determine the function of ErbB4 signaling in the normal mouse mammary gland, we inactivated ErbB4 signaling by expressing a COOH terminally deleted dominant-negative allele of ErbB4 (ErbB4DeltaIC) as a transgene in the mammary gland. Despite the expression of ErbB4DeltaIC from puberty through later stages of mammary development, an ErbB4DeltaIC-specific phenotype was not observed until mid-lactation. At 12-d postpartum, lobuloalveoli expressing ErbB4DeltaIC protein were condensed and lacked normal lumenal lactation products. In these lobuloalveoli, beta-casein mRNA, detected by in situ hybridization, was normal. However, whey acidic protein mRNA was reduced, and alpha-lactalbumin mRNA was undetectable. Stat5 expression was detected by immunohistochemistry in ErbB4DeltaIC-expressing tissue. However, Stat5 was not phosphorylated at Y694 and was, therefore, probably inactive. When expressed transiently in 293T cells, ErbB4 induced phosphorylation of Stat5. This phosphorylation required an intact Stat5 SH2 domain. In summary, our results demonstrate that ErbB4 signaling is necessary for mammary terminal differentiation and Stat5 activation at mid-lactation.

摘要

表皮生长因子受体家族成员的信号传导在乳腺发育和乳腺癌中起着重要作用。早期研究表明,这些受体之一ErbB4与该组织中的独特反应相关联。为了确定ErbB4信号传导在正常小鼠乳腺中的功能,我们通过在乳腺中表达ErbB4的COOH末端缺失的显性负性等位基因(ErbB4DeltaIC)作为转基因来使ErbB4信号传导失活。尽管从青春期到乳腺发育后期都有ErbB4DeltaIC的表达,但直到泌乳中期才观察到ErbB4DeltaIC特异性表型。产后12天,表达ErbB4DeltaIC蛋白的小叶腺泡浓缩,缺乏正常的腔内泌乳产物。在这些小叶腺泡中,原位杂交检测到的β-酪蛋白mRNA正常。然而,乳清酸性蛋白mRNA减少,而α-乳白蛋白mRNA未检测到。通过免疫组织化学在表达ErbB4DeltaIC的组织中检测到Stat5表达。然而,Stat5在Y694处未磷酸化,因此可能无活性。当在293T细胞中瞬时表达时,ErbB4诱导Stat5磷酸化。这种磷酸化需要完整的Stat5 SH2结构域。总之,我们的结果表明,ErbB4信号传导对于泌乳中期的乳腺终末分化和Stat5激活是必需的。

https://cdn.ncbi.nlm.nih.gov/pmc/blobs/ea15/2164978/c3c71bfbabfb/JCB9907026.f1.jpg

文献AI研究员

20分钟写一篇综述,助力文献阅读效率提升50倍。

立即体验

用中文搜PubMed

大模型驱动的PubMed中文搜索引擎

马上搜索

文档翻译

学术文献翻译模型,支持多种主流文档格式。

立即体验