• 文献检索
  • 文档翻译
  • 深度研究
  • 学术资讯
  • Suppr Zotero 插件Zotero 插件
  • 邀请有礼
  • 套餐&价格
  • 历史记录
应用&插件
Suppr Zotero 插件Zotero 插件浏览器插件Mac 客户端Windows 客户端微信小程序
定价
高级版会员购买积分包购买API积分包
服务
文献检索文档翻译深度研究API 文档MCP 服务
关于我们
关于 Suppr公司介绍联系我们用户协议隐私条款
关注我们

Suppr 超能文献

核心技术专利:CN118964589B侵权必究
粤ICP备2023148730 号-1Suppr @ 2026

文献检索

告别复杂PubMed语法,用中文像聊天一样搜索,搜遍4000万医学文献。AI智能推荐,让科研检索更轻松。

立即免费搜索

文件翻译

保留排版,准确专业,支持PDF/Word/PPT等文件格式,支持 12+语言互译。

免费翻译文档

深度研究

AI帮你快速写综述,25分钟生成高质量综述,智能提取关键信息,辅助科研写作。

立即免费体验

CD10阳性甲状腺边缘区非霍奇金淋巴瘤

CD10 positive thyroid marginal zone non-Hodgkin lymphoma.

作者信息

Millar E K, Waldron S, Spencer A, Braye S

机构信息

Department of Anatomical Pathology, John Hunter Hospital, Hunter Region Mail Centre, Lambton, Australia.

出版信息

J Clin Pathol. 1999 Nov;52(11):849-50. doi: 10.1136/jcp.52.11.849.

DOI:10.1136/jcp.52.11.849
PMID:10690178
原文链接:https://pmc.ncbi.nlm.nih.gov/articles/PMC501601/
Abstract

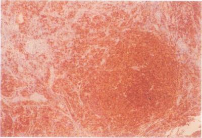
A 72 year old woman presented with swelling of the right lobe of her thyroid gland. Fine needle aspiration and flow cytometry showed a clonal population of B cells expressing CD10 and a diagnosis of follicle centre cell lymphoma was made. Subsequent excision of the thyroid showed the typical histological features of a marginal zone non-Hodgkin lymphoma. Polymerase chain reaction showed no evidence of t (14;18). Immunohistochemistry confirmed CD10 positivity and LN1 (CDw75) expression. This is only the second report of aberrant expression of CD 10 by a marginal zone lymphoma.

摘要

一名72岁女性因甲状腺右叶肿大就诊。细针穿刺及流式细胞术显示一群表达CD10的B细胞克隆,诊断为滤泡中心细胞淋巴瘤。随后的甲状腺切除术显示为边缘区非霍奇金淋巴瘤的典型组织学特征。聚合酶链反应未发现t(14;18)证据。免疫组化证实CD10阳性及LN1(CDw75)表达。这是边缘区淋巴瘤异常表达CD10的第二篇报道。

https://cdn.ncbi.nlm.nih.gov/pmc/blobs/eb81/501601/2f88cab5b975/jclinpath00284-0058-b.jpg
https://cdn.ncbi.nlm.nih.gov/pmc/blobs/eb81/501601/572110fe5a30/jclinpath00284-0057-a.jpg
https://cdn.ncbi.nlm.nih.gov/pmc/blobs/eb81/501601/b1ba34107a18/jclinpath00284-0057-b.jpg
https://cdn.ncbi.nlm.nih.gov/pmc/blobs/eb81/501601/2fbdb55315da/jclinpath00284-0058-a.jpg
https://cdn.ncbi.nlm.nih.gov/pmc/blobs/eb81/501601/2f88cab5b975/jclinpath00284-0058-b.jpg
https://cdn.ncbi.nlm.nih.gov/pmc/blobs/eb81/501601/572110fe5a30/jclinpath00284-0057-a.jpg
https://cdn.ncbi.nlm.nih.gov/pmc/blobs/eb81/501601/b1ba34107a18/jclinpath00284-0057-b.jpg
https://cdn.ncbi.nlm.nih.gov/pmc/blobs/eb81/501601/2fbdb55315da/jclinpath00284-0058-a.jpg
https://cdn.ncbi.nlm.nih.gov/pmc/blobs/eb81/501601/2f88cab5b975/jclinpath00284-0058-b.jpg

相似文献

1
CD10 positive thyroid marginal zone non-Hodgkin lymphoma.CD10阳性甲状腺边缘区非霍奇金淋巴瘤
J Clin Pathol. 1999 Nov;52(11):849-50. doi: 10.1136/jcp.52.11.849.
2
The role of fine-needle aspiration in the diagnosis of thyroid lymphoma: a retrospective study of nine cases and review of published series.细针抽吸在甲状腺淋巴瘤诊断中的作用:九例回顾性研究及文献系列回顾。
J Clin Pathol. 2010 Feb;63(2):129-33. doi: 10.1136/jcp.2009.071423.
3
Fine needle aspiration cytology and immunocytochemistry in the diagnosis of lymphoid lesions of the thyroid gland.细针穿刺细胞学检查及免疫细胞化学在甲状腺淋巴样病变诊断中的应用
Acta Cytol. 1989 Jan-Feb;33(1):48-52.
4
Cytodiagnosis of primary thyroid lymphoma with histologic correlation: A case report.原发性甲状腺淋巴瘤的细胞诊断与组织学相关性:一例报告
Diagn Cytopathol. 2012 May;40(5):444-6. doi: 10.1002/dc.21730. Epub 2011 Jun 16.
5
Fine-needle aspiration biopsy and flow cytometry immunophenotyping of lymphoid and myeloproliferative disorders of the spleen.脾脏淋巴和骨髓增殖性疾病的细针穿刺活检及流式细胞术免疫表型分析
Cancer. 2003 Apr 25;99(2):118-27. doi: 10.1002/cncr.11011.
6
[Thyroid lymphoma in a 51-year-old woman].[一名51岁女性的甲状腺淋巴瘤]
An Med Interna. 1993 Mar;10(3):132-4.
7
Clonal cytogenetic abnormalities are predictor in developing non-Hodgkin lymphomas?克隆性细胞遗传学异常是发展为非霍奇金淋巴瘤的预测指标吗?
Exp Mol Pathol. 2017 Feb;102(1):146-155. doi: 10.1016/j.yexmp.2017.01.007. Epub 2017 Jan 11.
8
Comparison of multiparameter flow cytometry with cluster analysis and immunohistochemistry for the detection of CD10 in diffuse large B-Cell lymphomas.多参数流式细胞术结合聚类分析与免疫组织化学检测弥漫性大B细胞淋巴瘤中CD10的比较
Mod Pathol. 2002 Apr;15(4):413-9. doi: 10.1038/modpathol.3880539.
9
Thyroid low-grade B-cell lymphoma (MALT type) with extreme plasmacytic differentiation: report of a case diagnosed by fine-needle aspiration and flow cytometric study.伴有极端浆细胞分化的甲状腺低度B细胞淋巴瘤(MALT型):1例经细针穿刺和流式细胞术诊断的病例报告
Diagn Cytopathol. 2004 Jul;31(1):52-6. doi: 10.1002/dc.20086.
10
CD10, BCL6, and MUM1 expression in diffuse large B-cell lymphoma on FNA samples.细针穿刺抽吸样本中弥漫性大B细胞淋巴瘤的CD10、BCL6和MUM1表达情况
Cancer Cytopathol. 2016 Feb;124(2):135-43. doi: 10.1002/cncy.21626. Epub 2015 Sep 28.

引用本文的文献

1
The broad landscape of follicular lymphoma: Part I.滤泡性淋巴瘤的广泛概况:第一部分。
Pathologica. 2020 Mar;112(1):1-16. doi: 10.32074/1591-951X-35-19. Epub 2020 Jan 22.
2
Role of CD10 Marker in Differentiating Malignant Thyroid Neoplasms from Benign Thyroid Lesions (Immunohistochemical & Histopathological Study).CD10标记物在鉴别甲状腺恶性肿瘤与良性甲状腺病变中的作用(免疫组织化学和组织病理学研究)
Open Access Maced J Med Sci. 2018 Dec 19;6(12):2295-2300. doi: 10.3889/oamjms.2018.456. eCollection 2018 Dec 20.
3
The efficacy of HGAL and LMO2 in the separation of lymphomas derived from small B cells in nodal and extranodal sites, including the bone marrow.

本文引用的文献

1
Human cytomegalovirus infection downregulates expression of the cellular aminopeptidases CD10 and CD13.人巨细胞病毒感染会下调细胞氨基肽酶CD10和CD13的表达。
Virology. 1998 Oct 25;250(2):350-8. doi: 10.1006/viro.1998.9385.
2
CD5+ low-grade marginal zone B-cell lymphomas with localized presentation.伴有局限性表现的CD5+ 低度边缘区B细胞淋巴瘤。
Am J Surg Pathol. 1998 Feb;22(2):201-7. doi: 10.1097/00000478-199802000-00008.
3
Malignant lymphomas with a follicular growth pattern.具有滤泡生长模式的恶性淋巴瘤。
HGAL 和 LMO2 在分离来源于结内和结外部位(包括骨髓)的小 B 细胞淋巴瘤中的疗效。
Am J Clin Pathol. 2011 May;135(5):697-708. doi: 10.1309/AJCP7Z2BIBUNQPLZ.
4
Can CD10 be used as a diagnostic marker in thyroid pathology?CD10能否用作甲状腺病理学的诊断标志物?
Virchows Arch. 2009 Jan;454(1):101-5. doi: 10.1007/s00428-008-0698-2. Epub 2008 Nov 25.
5
Update on extranodal lymphomas. Conclusions of the Workshop held by the EAHP and the SH in Thessaloniki, Greece.结外淋巴瘤的最新进展。欧洲血液学和血细胞治疗协会(EAHP)与希腊塞萨洛尼基SH联合举办研讨会的结论
Histopathology. 2006 Apr;48(5):481-504. doi: 10.1111/j.1365-2559.2006.02369.x.
6
Marginal zone B-cell lymphoma in children and young adults.儿童和青年的边缘区B细胞淋巴瘤
Am J Surg Pathol. 2003 Apr;27(4):522-31. doi: 10.1097/00000478-200304000-00014.
7
Western blotting is useful in the salivary diagnosis of Helicobacter pylori infection.蛋白质印迹法在幽门螺杆菌感染的唾液诊断中很有用。
J Clin Pathol. 2000 Apr;53(4):314-7. doi: 10.1136/jcp.53.4.314.
Histopathology. 1996 Jun;28(6):487-95. doi: 10.1046/j.1365-2559.1996.d01-473.x.