Suppr超能文献

麸质敏感性肠病的体外模型。麦醇溶蛋白对器官培养中麸质敏感性肠病患者肠上皮细胞的影响。

An in vitro model of gluten-sensitive enteropathy. Effect of gliadin on intestinal epithelial cells of patients with gluten-sensitive enteropathy in organ culture.

作者信息

Falchuk Z M, Gebhard R L, Sessoms C, Strober W

机构信息

Digestive and Hereditary Diseases Branch, National Institute of Arthritis, Metabolism, and Digestive Diseases, and Metabolism Branch, Immunophysiology Section, National Cancer Institute, National Institutes of Health, Bethesda, Maryland 20014, USA.

出版信息

J Clin Invest. 1974 Feb;53(2):487-500. doi: 10.1172/JCI107582.

Abstract

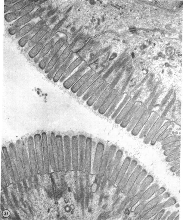
Jejunal biopsy specimens from patients with gluten-sensitive enteropathy (GSE) (obtained during gluten challenge) as well as from normal individuals and patients with other gastrointestinal abnormalities were cultured in vitro for 48 h in the presence or absence of a peptic-tryptic digest (P-T digest) of gliadin. In the absence of gliadin the alkaline phosphatase activity in the biopsy specimens obtained from normal control individuals increased from an initial value of 384 +/- 83 U to a 48 h value of 561 +/- 151 U (mean +/- SD) (difference significant at P < 0.01). The initial alkaline phosphatase activity of specimens obtained from patients with GSE was strikingly lower than that of normals, 117 +/- 79 U, and increased to a 48 h value of 399 +/- 203 U (difference significant at P < 0.01). The biochemical change in cultured biopsy specimens of GSE patients correlated with increases in the length and regularity of brush borders of epithelial cells as seen with the electron microscope. In the presence of a P-T digest of gliadin, the alkaline phosphatase activity of biopsy specimens of control individuals increased from an initial value of 384 +/- 83 U to a 48 h value of 578 +/- 156 U. In contrast, the alkaline phosphatase activity of biopsy specimens of patients with GSE in exacerbation showed a markedly diminished increase in activity during 48 h of culture; in this case the initial activity was 117 +/- 79 U and the final activity was 203 +/- 93 U. This inhibitory effect on increase of alkaline phosphatase activity during organ culture was specific in that a P-T digest of casein (a protein not toxic in vivo to patients with GSE) had no effect on alkaline phosphatase increases in culture. Finally, these results obtained with biopsy specimens taken from patients with GSE in exacerbation were compared with results obtained from patients with GSE in remission. Alkaline phosphatase activity of specimens obtained from the latter group of patients also increased during culture but in this instance P-T digest of gliadin in the culture medium had no significant inhibitory effect. In conclusion, the inhibitory effect of gliadin on intestinal epithelial cells in organ culture represents an in vitro model of gluten-sensitive enteropathy. Inasmuch as this effect of gliadin is not seen in cultures of specimens taken from patients in remission, it appears that gliadin is not directly toxic to GSE jejunal mucosa per se, but rather toxicity requires the participation of an endogenous effector mechanism which must first be stimulated in vivo.

摘要

将患有麸质敏感肠病(GSE)的患者(在麸质激发试验期间获取)以及正常个体和患有其他胃肠道异常的患者的空肠活检标本,在有或没有麦醇溶蛋白的胃蛋白酶 - 胰蛋白酶消化物(P - T消化物)存在的情况下进行体外培养48小时。在没有麦醇溶蛋白的情况下,从正常对照个体获取的活检标本中的碱性磷酸酶活性从初始值384±83 U增加到48小时时的561±151 U(平均值±标准差)(P <0.01时差异显著)。从GSE患者获取的标本的初始碱性磷酸酶活性显著低于正常人,为117±79 U,并增加到48小时时的399±203 U(P <0.01时差异显著)。GSE患者培养的活检标本中的生化变化与电子显微镜下观察到的上皮细胞刷状缘长度和规则性的增加相关。在有麦醇溶蛋白的P - T消化物存在的情况下,对照个体活检标本的碱性磷酸酶活性从初始值384±83 U增加到48小时时的578±156 U。相反,病情加重的GSE患者活检标本的碱性磷酸酶活性在培养48小时期间活性增加明显减少;在这种情况下,初始活性为117±79 U,最终活性为203±93 U。这种对器官培养期间碱性磷酸酶活性增加的抑制作用是特异性的,因为酪蛋白的P - T消化物(一种对GSE患者体内无毒的蛋白质)对培养中碱性磷酸酶的增加没有影响。最后,将从病情加重的GSE患者获取的活检标本得到的这些结果与从病情缓解的GSE患者得到的结果进行比较。从后一组患者获取的标本的碱性磷酸酶活性在培养期间也增加,但在这种情况下,培养基中麦醇溶蛋白的P - T消化物没有显著的抑制作用。总之,麦醇溶蛋白对器官培养中肠上皮细胞的抑制作用代表了麸质敏感肠病的体外模型。由于在从病情缓解的患者获取的标本培养中未观察到麦醇溶蛋白的这种作用,似乎麦醇溶蛋白本身对GSE空肠黏膜没有直接毒性,而是毒性需要内源性效应机制的参与,而这种机制必须首先在体内被刺激。

https://cdn.ncbi.nlm.nih.gov/pmc/blobs/a6fb/301491/b60df0a5f3a3/jcinvest00158-0156-a.jpg

文献AI研究员

20分钟写一篇综述,助力文献阅读效率提升50倍。

立即体验

用中文搜PubMed

大模型驱动的PubMed中文搜索引擎

马上搜索

文档翻译

学术文献翻译模型,支持多种主流文档格式。

立即体验