Van Rensburg M J, Proctor N S, Danziger J, Orelowitz M S
J Neurol Neurosurg Psychiatry. 1975 Jul;38(7):703-9. doi: 10.1136/jnnp.38.7.703.
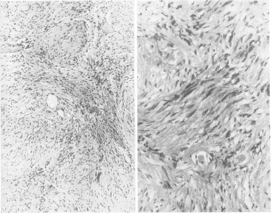
An intracerebral Schwannoma giving rise to temporal lobe epilepsy is described. The possible origin of such tumours in the central nervous system in general, and in the temporal lobe in particular, is discussed.