• 文献检索
  • 文档翻译
  • 深度研究
  • 学术资讯
  • Suppr Zotero 插件Zotero 插件
  • 邀请有礼
  • 套餐&价格
  • 历史记录
应用&插件
Suppr Zotero 插件Zotero 插件浏览器插件Mac 客户端Windows 客户端微信小程序
定价
高级版会员购买积分包购买API积分包
服务
文献检索文档翻译深度研究API 文档MCP 服务
关于我们
关于 Suppr公司介绍联系我们用户协议隐私条款
关注我们

Suppr 超能文献

核心技术专利:CN118964589B侵权必究
粤ICP备2023148730 号-1Suppr @ 2026

文献检索

告别复杂PubMed语法,用中文像聊天一样搜索,搜遍4000万医学文献。AI智能推荐,让科研检索更轻松。

立即免费搜索

文件翻译

保留排版,准确专业,支持PDF/Word/PPT等文件格式,支持 12+语言互译。

免费翻译文档

深度研究

AI帮你快速写综述,25分钟生成高质量综述,智能提取关键信息,辅助科研写作。

立即免费体验

在不存在DNA复制的情况下,从SV40早期早期和晚期早期重叠启动子进行转录。

Transcription from the SV40 early-early and late-early overlapping promoters in the absence of DNA replication.

作者信息

Wasylyk B, Wasylyk C, Matthes H, Wintzerith M, Chambon P

机构信息

Laboratoire de Génétique Moléculaire des Eucaryotes du CNRS, Unité 184 de Biologie Moléculaire et de Génie Génétique de l'INSERM, Faculté de Médicine, Strasbourg, France.

出版信息

EMBO J. 1983;2(9):1605-11. doi: 10.1002/j.1460-2075.1983.tb01631.x.

DOI:10.1002/j.1460-2075.1983.tb01631.x
PMID:11892819
原文链接:https://pmc.ncbi.nlm.nih.gov/articles/PMC555330/
Abstract

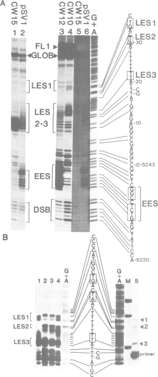
Transcription for a hybrid SV40 promoter-beta globin coding sequence recombinant initiates from both early-early (EE) and late-early (LE) SV40 start sites (EES and LES) in the absence of DNA replication. The 72-bp repeat is essential to potentiate the elements of the two overlapping EE and LE promoters (EEP and LEP). Two current models, which can account for the EE to LE shift in RNA chain initiation during the SV40 replication cycle, are that LE transcription is linked to replication and occurs on newly replicated DNA molecules or that there are two promoter elements, a stronger EEP and a weaker LEP, T antigen repressing the EEP late in infection. Our results support the second model. A 5'-TATTTAT-3' to 5'-TATCGAT-3' mutation in the putative SV40 TATA box decreases transcription from EES, increases transcription from LES, and inhibits DNA replication. Therefore, this element acts as a classical TATA box for transcription, and yet is also important for DNA replication.

摘要

在没有DNA复制的情况下,杂交的SV40启动子-β珠蛋白编码序列重组体的转录起始于早期-早期(EE)和晚期-早期(LE)SV40起始位点(EES和LES)。72碱基对重复序列对于增强两个重叠的EE和LE启动子(EEP和LEP)的元件至关重要。目前有两种模型可以解释SV40复制周期中RNA链起始从EE到LE的转变,一种是LE转录与复制相关,发生在新复制的DNA分子上;另一种是有两个启动子元件,一个较强的EEP和一个较弱的LEP,T抗原在感染后期抑制EEP。我们的结果支持第二种模型。假定的SV40 TATA框中从5'-TATTTAT-3'到5'-TATCGAT-3'的突变降低了从EES的转录,增加了从LES的转录,并抑制了DNA复制。因此,该元件作为转录的经典TATA框,同时对DNA复制也很重要。

https://cdn.ncbi.nlm.nih.gov/pmc/blobs/cd76/555330/4d7b3b15c708/emboj00262-0172-a.jpg
https://cdn.ncbi.nlm.nih.gov/pmc/blobs/cd76/555330/388da0f38c1a/emboj00262-0170-a.jpg
https://cdn.ncbi.nlm.nih.gov/pmc/blobs/cd76/555330/78f0df56493a/emboj00262-0171-a.jpg
https://cdn.ncbi.nlm.nih.gov/pmc/blobs/cd76/555330/a1133fad2e77/emboj00262-0171-b.jpg
https://cdn.ncbi.nlm.nih.gov/pmc/blobs/cd76/555330/4d7b3b15c708/emboj00262-0172-a.jpg
https://cdn.ncbi.nlm.nih.gov/pmc/blobs/cd76/555330/388da0f38c1a/emboj00262-0170-a.jpg
https://cdn.ncbi.nlm.nih.gov/pmc/blobs/cd76/555330/78f0df56493a/emboj00262-0171-a.jpg
https://cdn.ncbi.nlm.nih.gov/pmc/blobs/cd76/555330/a1133fad2e77/emboj00262-0171-b.jpg
https://cdn.ncbi.nlm.nih.gov/pmc/blobs/cd76/555330/4d7b3b15c708/emboj00262-0172-a.jpg

相似文献

1
Transcription from the SV40 early-early and late-early overlapping promoters in the absence of DNA replication.在不存在DNA复制的情况下,从SV40早期早期和晚期早期重叠启动子进行转录。
EMBO J. 1983;2(9):1605-11. doi: 10.1002/j.1460-2075.1983.tb01631.x.
2
Comeasurement of simian virus 40 early and late promoter activity in HeLa and 293 cells in the presence of T antigen.在T抗原存在的情况下,对HeLa细胞和293细胞中猿猴病毒40早期和晚期启动子活性的共测量。
J Virol. 1989 Jan;63(1):383-91. doi: 10.1128/JVI.63.1.383-391.1989.
3
Transcriptional activation by simian virus 40 large T antigen: requirements for simple promoter structures containing either TATA or initiator elements with variable upstream factor binding sites.猿猴病毒40大T抗原的转录激活:对含有TATA或起始子元件以及可变上游因子结合位点的简单启动子结构的要求。
J Virol. 1993 Nov;67(11):6682-8. doi: 10.1128/JVI.67.11.6682-6688.1993.
4
T antigen repression of SV40 early transcription from two promoters.T抗原对SV40早期转录从两个启动子的抑制作用。
Cell. 1981 Dec;27(3 Pt 2):603-13. doi: 10.1016/0092-8674(81)90402-5.
5
Effects of the adenovirus 2 late promoter on simian virus 40 transcription and replication.腺病毒2型晚期启动子对猴病毒40转录和复制的影响。
J Virol. 1986 Jan;57(1):129-37. doi: 10.1128/JVI.57.1.129-137.1986.
6
Activity of simian DNA-binding factors is altered in the presence of simian virus 40 (SV40) early proteins: characterization of factors binding to elements involved in activation of the SV40 late promoter.在猿猴病毒40(SV40)早期蛋白存在的情况下,猿猴DNA结合因子的活性发生改变:与SV40晚期启动子激活相关元件结合的因子的特性研究。
J Virol. 1990 Jan;64(1):173-84. doi: 10.1128/JVI.64.1.173-184.1990.
7
Sequences involved in initiation of simian virus 40 late transcription in the absence of T antigen.在缺乏T抗原的情况下,参与猿猴病毒40晚期转录起始的序列。
Mol Cell Biol. 1986 Jun;6(6):1875-85. doi: 10.1128/mcb.6.6.1875-1885.1986.
8
The initiation accuracy of the SV40 early transcription is determined by the functional domains of two TATA elements.SV40早期转录的起始准确性由两个TATA元件的功能域决定。
Nucleic Acids Res. 1992 Mar 11;20(5):975-82. doi: 10.1093/nar/20.5.975.
9
Efficient transcriptional activation of many simple modular promoters by simian virus 40 large T antigen.猿猴病毒40大T抗原对许多简单模块化启动子的高效转录激活。
J Virol. 1993 Nov;67(11):6689-97. doi: 10.1128/JVI.67.11.6689-6697.1993.
10
Replication from a proximal simian virus 40 origin is severely inhibited by multiple reiterations of the 72-base-pair repeat enhancer sequence.来自近端猿猴病毒40起始位点的复制受到72个碱基对重复增强子序列多次重复的严重抑制。
Mol Cell Biol. 1988 Apr;8(4):1509-17. doi: 10.1128/mcb.8.4.1509-1517.1988.

引用本文的文献

1
Differential SP1 interactions in SV40 chromatin from virions and minichromosomes.SV40 病毒粒子和微染色体染色质中 SP1 的差异相互作用。
Virology. 2020 Sep;548:124-131. doi: 10.1016/j.virol.2020.06.012. Epub 2020 Jun 26.
2
An RNA structure-mediated, posttranscriptional model of human α-1-antitrypsin expression.一种基于 RNA 结构的人 α-1-抗胰蛋白酶表达的转录后调控模型。
Proc Natl Acad Sci U S A. 2017 Nov 21;114(47):E10244-E10253. doi: 10.1073/pnas.1706539114. Epub 2017 Nov 6.
3
Nucleosome positioning in the regulatory region of SV40 chromatin correlates with the activation and repression of early and late transcription during infection.

本文引用的文献

1
Altered mobility of polydeoxyribonucleotides in high resolution polyacrylamide gels due to removal of terminal phosphates.由于末端磷酸基团的去除,多脱氧核糖核苷酸在高分辨率聚丙烯酰胺凝胶中的迁移率发生改变。
Nucleic Acids Res. 1981 Dec 21;9(24):6787-94. doi: 10.1093/nar/9.24.6787.
2
Site-specific base substitution and deletion mutations that enhance or suppress transcription of the SV40 major late RNA.增强或抑制SV40主要晚期RNA转录的位点特异性碱基置换和缺失突变。
Cell. 1982 Dec;31(3 Pt 2):625-33. doi: 10.1016/0092-8674(82)90318-x.
3
The TATA homology and the mRNA 5' untranslated sequence are not required for expression of essential adenovirus E1A functions.
SV40染色质调控区域的核小体定位与感染期间早期和晚期转录的激活与抑制相关。
Virology. 2017 Mar;503:62-69. doi: 10.1016/j.virol.2016.12.023. Epub 2017 Jan 23.
4
Interaction between T antigen and TEA domain of the factor TEF-1 derepresses simian virus 40 late promoter in vitro: identification of T-antigen domains important for transcription control.T抗原与转录增强因子TEF-1的TEA结构域之间的相互作用在体外可解除猿猴病毒40晚期启动子的抑制:鉴定对转录控制重要的T抗原结构域。
J Virol. 1996 Feb;70(2):1203-12. doi: 10.1128/JVI.70.2.1203-1212.1996.
5
Intramolecular recombination in polyomavirus DNA is controlled by promoter elements.多瘤病毒DNA中的分子内重组受启动子元件控制。
Nucleic Acids Res. 1994 Feb 11;22(3):485-91. doi: 10.1093/nar/22.3.485.
6
Yeast RNA polymerase II initiates transcription in vitro at TATA sequences proximal to potential non-B forms of the DNA template.酵母RNA聚合酶II在体外于靠近DNA模板潜在非B型结构的TATA序列处起始转录。
EMBO J. 1984 May;3(5):1067-73. doi: 10.1002/j.1460-2075.1984.tb01929.x.
7
An enhancer element is located 340 base pairs upstream from the adenovirus-2 E1A capsite.一个增强子元件位于腺病毒2型E1A起始位点上游340个碱基对处。
Nucleic Acids Res. 1983 Dec 20;11(24):8747-60. doi: 10.1093/nar/11.24.8747.
8
Stimulation of in vitro transcription from heterologous promoters by the simian virus 40 enhancer.猿猴病毒40增强子对异源启动子体外转录的刺激作用。
Proc Natl Acad Sci U S A. 1984 Jan;81(2):308-12. doi: 10.1073/pnas.81.2.308.
9
Mutational dissection of the 21 bp repeat region of the SV40 early promoter reveals that it contains overlapping elements of the early-early and late-early promoters.对SV40早期启动子21bp重复区域的突变分析表明,它包含早期-早期启动子和晚期-早期启动子的重叠元件。
Nucleic Acids Res. 1984 Jan 25;12(2):915-32. doi: 10.1093/nar/12.2.915.
10
The MLV and SV40 enhancers have a similar pattern of transcriptional activation.莫洛尼氏鼠白血病病毒(MLV)和猿猴病毒40(SV40)增强子具有相似的转录激活模式。
Nucleic Acids Res. 1984 Dec 11;12(23):8801-18. doi: 10.1093/nar/12.23.8801.
基本腺病毒E1A功能的表达不需要TATA同源序列和mRNA 5'非翻译序列。
Cell. 1982 May;29(1):139-48. doi: 10.1016/0092-8674(82)90098-8.
4
Sequences upstream from the T-A-T-A box are required in vivo and in vitro for efficient transcription from the adenovirus serotype 2 major late promoter.腺病毒2型主要晚期启动子在体内和体外进行有效转录时,需要T-A-T-A框上游的序列。
Proc Natl Acad Sci U S A. 1982 Dec;79(23):7132-6. doi: 10.1073/pnas.79.23.7132.
5
In vitro transcription of normal, mutant, and truncated mouse alpha-globin genes.正常、突变和截短的小鼠α-珠蛋白基因的体外转录
Proc Natl Acad Sci U S A. 1980 Dec;77(12):7132-6. doi: 10.1073/pnas.77.12.7132.
6
Specific in vitro transcription of conalbumin gene is drastically decreased by single-point mutation in T-A-T-A box homology sequence.伴清蛋白基因的特异性体外转录因T-A-T-A盒同源序列中的单点突变而急剧减少。
Proc Natl Acad Sci U S A. 1980 Dec;77(12):7024-8. doi: 10.1073/pnas.77.12.7024.
7
Identification of regulatory sequences in the prelude sequences of an H2A histone gene by the study of specific deletion mutants in vivo.通过对体内特定缺失突变体的研究鉴定H2A组蛋白基因前奏序列中的调控序列。
Proc Natl Acad Sci U S A. 1980 Mar;77(3):1432-6. doi: 10.1073/pnas.77.3.1432.
8
Transcription in vivo from SV40 early promoter deletion mutants without repression by large T antigen.来自SV40早期启动子缺失突变体的体内转录,不受大T抗原抑制。
J Mol Appl Genet. 1983;2(1):127-35.
9
Organization and expression of eucaryotic split genes coding for proteins.编码蛋白质的真核生物断裂基因的组织与表达。
Annu Rev Biochem. 1981;50:349-83. doi: 10.1146/annurev.bi.50.070181.002025.
10
The repeated GC-rich motifs upstream from the TATA box are important elements of the SV40 early promoter.TATA框上游富含GC的重复基序是SV40早期启动子的重要元件。
Nucleic Acids Res. 1983 Apr 25;11(8):2447-64. doi: 10.1093/nar/11.8.2447.