Baik Hyun-Man, Choe Bo-Young, Lee Hyoung-Koo, Suh Tae-Suk, Son Byung-Chul, Lee Jae-Mun
Department of Biomedical Engineering, Kangnam St. Mary's Hospital College of Medicine, The Catholic University of Korea, Seoul, Korea.
Korean J Radiol. 2002 Jul-Sep;3(3):180-8. doi: 10.3348/kjr.2002.3.3.180.
To determine, using proton magnetic resonance spectroscopy (1H MRS) whether thalamotomy in patients with Parkinson's disease gives rise to significant changes in regional brain metabolism.
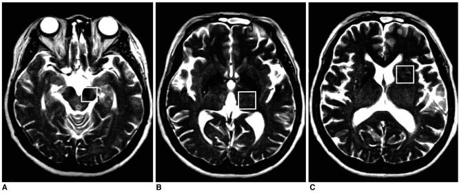
Fifteen patients each underwent stereotactic thalamotomy for the control of medically refractory parkinsonian tremor. Single-voxel 1H MRS was performed on a 1.5T unit using a STEAM sequence (TR/TM/TE, 2000/14/20 msec), and spectra were obtained from substantia nigra, thalamus and putamen areas, with volumes of interest of 7-8 ml, before and after thalamotomy. NAA/Cho, NAA/Cr and Cho/Cr metabolite ratios were calculated from relative peak area measurements, and any changes were recorded and assessed.
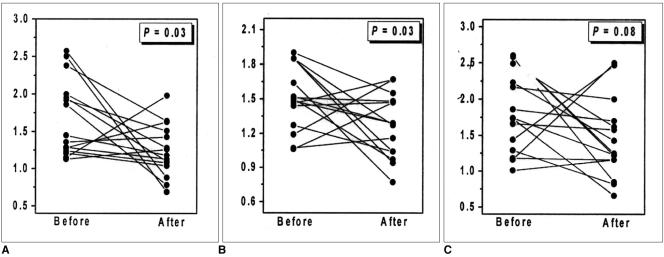
In the substantia nigra and thalamus, NAA/Cho ratios were generally low. In the substantia nigra of 80% of patients (12/15) who showed clinical improvement, decreased NAA/Cho ratios were observed in selected voxels after thalamic surgery (p < 0.05). In the thalamus of 67% of such patients (10/15), significant decreases were also noted (p < 0.05).
Our results suggest that the NAA/Cho ratio may be a valuable criterion for the evaluation of Parkinson's disease patients who show clinical improvement following surgery. By highlighting variations in this ratio, 1H MRS may help lead to a better understanding of the pathophysiologic processes occurring in those with Parkinson's disease.
运用质子磁共振波谱(1H MRS)确定帕金森病患者丘脑切开术是否会引起局部脑代谢的显著变化。
15例患者均接受立体定向丘脑切开术以控制药物难治性帕金森震颤。在1.5T设备上使用STEAM序列(TR/TM/TE,2000/14/20毫秒)进行单体素1H MRS检查,在丘脑切开术前和术后从黑质、丘脑和壳核区域获取光谱,感兴趣体积为7 - 8毫升。根据相对峰面积测量计算NAA/Cho、NAA/Cr和Cho/Cr代谢物比率,并记录和评估任何变化。
在黑质和丘脑中,NAA/Cho比率通常较低。在80%(12/15)临床症状改善的患者的黑质中,丘脑手术后选定体素的NAA/Cho比率降低(p < 0.05)。在67%(10/15)此类患者的丘脑中也观察到显著降低(p < 0.05)。
我们的结果表明,NAA/Cho比率可能是评估手术后临床症状改善的帕金森病患者的一个有价值的标准。通过突出该比率的变化,1H MRS可能有助于更好地理解帕金森病患者发生的病理生理过程。