Suppr超能文献

单剂量黄曲霉毒素B1诱导叙利亚仓鼠肝脏的急性和持续性变化。关于溶剂(二甲基甲酰胺)病理作用的观察

Acute and protracted changes in the liver of Syrian hamsters induced by a single dose of aflatoxin B1. Observations on pathological effects of the solvent (dimethylformamide).

作者信息

Ungar H, Sullman S F, Zuckerman A J

出版信息

Br J Exp Pathol. 1976 Apr;57(2):157-64.

Abstract

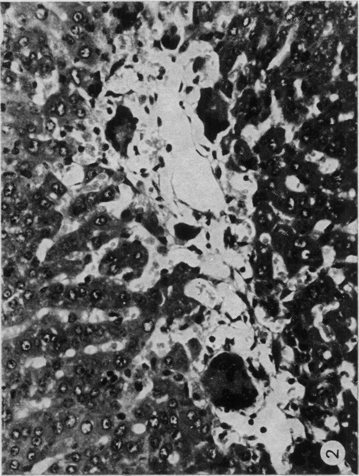
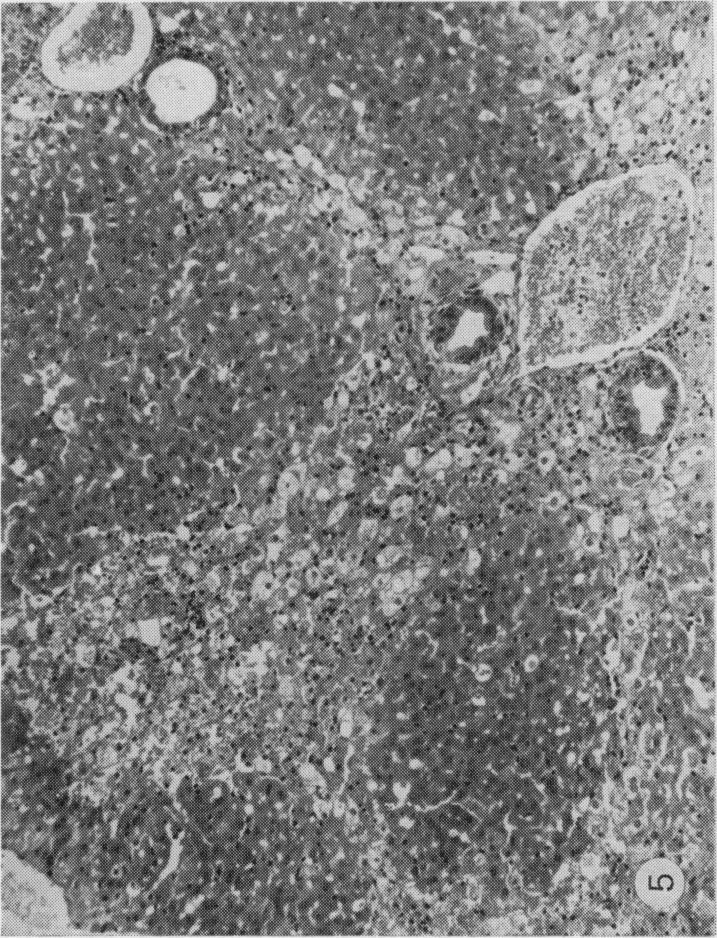
Male Syrian hamsters, 8-10 weeks of age, were treated with a single intraperitoneal injection of crystalline aflatoxin B1 in solution of N -N -Dimethylformamide (DMF). The concentrations of aflatoxin were adjusted to the smallest controllable amount of solvent in relation to the size of the animal (0-5 or 1-0 ml/kg). Treatment with, respectively, 5-0 or 2-5 mg/kg aflatoxin in 1-0 ml/kg DMF was lethal to most animals within one week. However, reduction of the solvent to 0-5 ml/kg, while not eliminating the mortality entirely during the first week, made possible observation of the survivors up to 28 days. Hamsters appear to be more susceptible to DMF poisoning than other species, like rat, guinea-pig and rabbit in which this solvent was used by investigators on the biological effects of aflatoxin. Either dose given of DMF alone was lethal for several animals during the first week of observation and sufficient to produce histological lesions in the liver which were characteristic and clearly different from those induced by aflatoxin during the same period. DMF alone caused centrilobular necrosis which was accompanied by haemosiderosis of liver structures. With a aflatoxin, in addition, periportal and midzonal necrosis of the liver was present. Aflatoxin B1 and B1 and DMF both induce haemorrhagic tendency probably involvement in the coagulation process of the blood. It cannot be decided, however, at present whether this is the result of an indentical mechanism.

摘要

8至10周龄的雄性叙利亚仓鼠经腹腔注射一次溶解于N -N -二甲基甲酰胺(DMF)中的结晶黄曲霉毒素B1进行处理。根据动物体型将黄曲霉毒素的浓度调整至溶剂的最小可控量(0 - 5或1 - 0毫升/千克)。分别用1 - 0毫升/千克DMF中5 - 0或2 - 5毫克/千克的黄曲霉毒素处理,在一周内对大多数动物是致命的。然而,将溶剂减少至0 - 5毫升/千克,虽然不能完全消除第一周的死亡率,但使得观察存活者长达28天成为可能。仓鼠似乎比其他物种,如大鼠、豚鼠和兔子,对DMF中毒更敏感,研究人员曾用这种溶剂研究黄曲霉毒素的生物学效应。单独给予任何一种剂量的DMF在观察的第一周内对几只动物都是致命的,并且足以在肝脏中产生组织学病变,这些病变具有特征性且与同期黄曲霉毒素诱导的病变明显不同。单独的DMF导致小叶中心坏死,并伴有肝脏结构的含铁血黄素沉着。此外,黄曲霉毒素还会导致肝脏的门周和中区坏死。黄曲霉毒素B1以及黄曲霉毒素B1和DMF都可能导致出血倾向,这可能涉及血液凝固过程。然而,目前尚无法确定这是否是相同机制的结果。

https://cdn.ncbi.nlm.nih.gov/pmc/blobs/414e/2041104/82aa8a9d49f1/brjexppathol00140-0027-a.jpg

文献检索

告别复杂PubMed语法,用中文像聊天一样搜索,搜遍4000万医学文献。AI智能推荐,让科研检索更轻松。

立即免费搜索

文件翻译

保留排版,准确专业,支持PDF/Word/PPT等文件格式,支持 12+语言互译。

免费翻译文档

深度研究

AI帮你快速写综述,25分钟生成高质量综述,智能提取关键信息,辅助科研写作。

立即免费体验