Suppr超能文献

小鼠巨细胞病毒糖蛋白B基因的鉴定及其重组痘苗病毒表达

Identification of the murine cytomegalovirus glycoprotein B gene and its expression by recombinant vaccinia virus.

作者信息

Rapp M, Messerle M, Bühler B, Tannheimer M, Keil G M, Koszinowski U H

机构信息

Department of Virology, University of Ulm, Germany.

出版信息

J Virol. 1992 Jul;66(7):4399-406. doi: 10.1128/JVI.66.7.4399-4406.1992.

Abstract

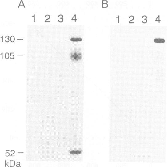
The gene encoding glycoprotein B (gB) of murine cytomegalovirus (MCMV) strain Smith was identified, sequenced, and expressed by recombinant vaccinia virus. The gB gene was found adjacent to the polymerase gene, as it is in the genome of human cytomegalovirus (HCMV). The open reading frame consists of 2,784 nucleotides capable of encoding a protein of 928 amino acids. Comparison with gB homologs of other herpesviruses revealed a high degree of homology. The similarity between the MCMV gB and the HCMV gB is most prominent, since 45% of the amino acids are identical. In addition, all cysteine residues are at homologous positions, indicating a similar tertiary structure of the two proteins. In contrast to HCMV, the MCMV gB mRNA is a true late transcript. A recombinant vaccinia virus expressing the MCMV gB gene has been constructed (Vac-gB). Antibodies raised against the Vac-gB recombinant precipitated proteins of 130, 105, and 52 kDa from MCMV-infected cells. The identity of the MCMV gB with the major envelope glycoprotein of MCMV described by Loh et al. was shown (L. C. Loh, N. Balachandran, and L. F. Qualtiere, Virology 166:206-216, 1988). Immunization of mice with the Vac-gB recombinant gave rise to neutralizing antibodies.

摘要

鼠巨细胞病毒(MCMV)史密斯株糖蛋白B(gB)的编码基因被鉴定、测序,并通过重组痘苗病毒进行表达。发现gB基因与聚合酶基因相邻,就像在人巨细胞病毒(HCMV)基因组中一样。开放阅读框由2784个核苷酸组成,能够编码一种928个氨基酸的蛋白质。与其他疱疹病毒的gB同源物比较显示出高度同源性。MCMV gB与HCMV gB之间的相似性最为显著,因为45%的氨基酸是相同的。此外,所有半胱氨酸残基都处于同源位置,表明这两种蛋白质具有相似的三级结构。与HCMV不同,MCMV gB mRNA是一种真正的晚期转录本。构建了一种表达MCMV gB基因的重组痘苗病毒(Vac-gB)。针对Vac-gB重组体产生的抗体沉淀了来自MCMV感染细胞的130、105和52 kDa的蛋白质。证明了MCMV gB与Loh等人描述的MCMV主要包膜糖蛋白相同(L. C. Loh、N. Balachandran和L. F. Qualtiere,《病毒学》166:206 - 216,1988)。用Vac-gB重组体免疫小鼠产生了中和抗体。

https://cdn.ncbi.nlm.nih.gov/pmc/blobs/6362/241247/a95785cccc24/jvirol00039-0437-a.jpg

文献AI研究员

20分钟写一篇综述,助力文献阅读效率提升50倍。

立即体验

用中文搜PubMed

大模型驱动的PubMed中文搜索引擎

马上搜索

文档翻译

学术文献翻译模型,支持多种主流文档格式。

立即体验