Suppr超能文献

编码σ70的基因中的突变如何抑制由编码σ32的基因中的突变引起的缺陷热休克反应。

How a mutation in the gene encoding sigma 70 suppresses the defective heat shock response caused by a mutation in the gene encoding sigma 32.

作者信息

Zhou Y N, Gross C A

机构信息

Department of Bacteriology, University of Wisconsin, Madison 53706.

出版信息

J Bacteriol. 1992 Nov;174(22):7128-37. doi: 10.1128/jb.174.22.7128-7137.1992.

Abstract

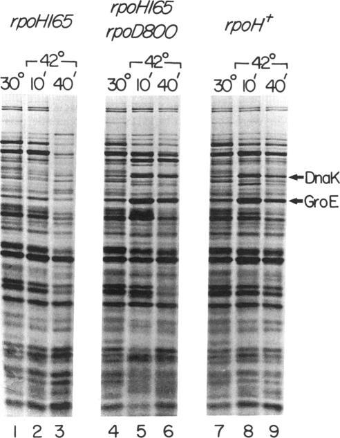
In Escherichia coli, transcription of the heat shock genes is regulated by sigma 32, the alternative sigma factor directing RNA polymerase to heat shock promoters. sigma 32, encoded by rpoH (htpR), is normally present in limiting amounts in cells. Upon temperature upshift, the amount of sigma 32 transiently increases, resulting in the transient increase in transcription of the heat shock genes known as the heat shock response. Strains carrying the rpoH165 nonsense mutation and supC(Ts), a temperature-sensitive suppressor tRNA, do not exhibit a heat shock response. This defect is suppressed by rpoD800, a mutation in the gene encoding sigma 70. We have determined the mechanism of suppression. In contrast to wild-type strains, the level of sigma 32 and the level of transcription of heat shock genes remain relatively constant in an rpoH165 rpoD800 strain after a temperature upshift. Instead, the heat shock response in this strain results from an approximately fivefold decrease in the cellular transcription carried out by the RNA polymerase holoenzyme containing mutant RpoD800 sigma 70 coupled with an overall increase in the translational efficiency of all mRNA species.

摘要

在大肠杆菌中,热休克基因的转录由σ32调控,σ32是一种替代σ因子,可引导RNA聚合酶与热休克启动子结合。由rpoH(htpR)编码的σ32在细胞中的含量通常有限。温度升高时,σ32的量会短暂增加,导致热休克基因转录的短暂增加,即所谓的热休克反应。携带rpoH165无义突变和温度敏感型抑制tRNA supC(Ts)的菌株不表现出热休克反应。编码σ70的基因中的rpoD800突变可抑制这种缺陷。我们已经确定了抑制机制。与野生型菌株不同,温度升高后,rpoH165 rpoD800菌株中σ32的水平和热休克基因的转录水平保持相对恒定。相反,该菌株中的热休克反应是由于含有突变型RpoD800 σ70的RNA聚合酶全酶进行的细胞转录大约减少了五倍,同时所有mRNA种类的翻译效率总体提高所致。

https://cdn.ncbi.nlm.nih.gov/pmc/blobs/9c91/207402/0d549efe26c1/jbacter00088-0070-a.jpg

文献检索

告别复杂PubMed语法,用中文像聊天一样搜索,搜遍4000万医学文献。AI智能推荐,让科研检索更轻松。

立即免费搜索

文件翻译

保留排版,准确专业,支持PDF/Word/PPT等文件格式,支持 12+语言互译。

免费翻译文档

深度研究

AI帮你快速写综述,25分钟生成高质量综述,智能提取关键信息,辅助科研写作。

立即免费体验