Suppr超能文献

本文引用的文献

1
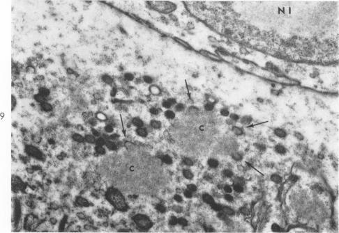
Dual Virus Infection of Single Cells.
Am J Pathol. 1942 Jul;18(4):577-83.
3
A study of fixation for electron microscopy.
J Exp Med. 1952 Mar;95(3):285-98. doi: 10.1084/jem.95.3.285.
4
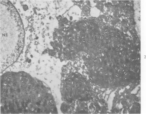
Electron microscopic observations on the development of herpes simplex virus.
J Exp Med. 1959 Oct 1;110(4):643-56. doi: 10.1084/jem.110.4.643.
5
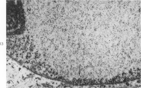
Electron microscope studies of cells infected with the salivary gland viruses.
Ann N Y Acad Sci. 1959 Jul 21;81:133-44. doi: 10.1111/j.1749-6632.1959.tb49302.x.
6
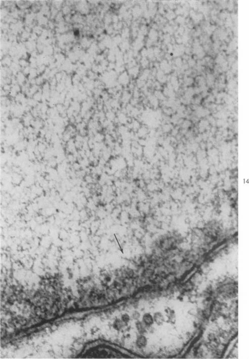
Fine structure of cellular inclusions in measles virus infections.
J Biophys Biochem Cytol. 1959 Dec;6(3):379-82. doi: 10.1083/jcb.6.3.379.
7
8
A small particulate component of the cytoplasm.
J Biophys Biochem Cytol. 1955 Jan;1(1):59-68. doi: 10.1083/jcb.1.1.59.

文献AI研究员

20分钟写一篇综述,助力文献阅读效率提升50倍。

立即体验

用中文搜PubMed

大模型驱动的PubMed中文搜索引擎

马上搜索

文档翻译

学术文献翻译模型,支持多种主流文档格式。

立即体验