• 文献检索
  • 文档翻译
  • 深度研究
  • 学术资讯
  • Suppr Zotero 插件Zotero 插件
  • 邀请有礼
  • 套餐&价格
  • 历史记录
应用&插件
Suppr Zotero 插件Zotero 插件浏览器插件Mac 客户端Windows 客户端微信小程序
定价
高级版会员购买积分包购买API积分包
服务
文献检索文档翻译深度研究API 文档MCP 服务
关于我们
关于 Suppr公司介绍联系我们用户协议隐私条款
关注我们

Suppr 超能文献

核心技术专利:CN118964589B侵权必究
粤ICP备2023148730 号-1Suppr @ 2026

文献检索

告别复杂PubMed语法,用中文像聊天一样搜索,搜遍4000万医学文献。AI智能推荐,让科研检索更轻松。

立即免费搜索

文件翻译

保留排版,准确专业,支持PDF/Word/PPT等文件格式,支持 12+语言互译。

免费翻译文档

深度研究

AI帮你快速写综述,25分钟生成高质量综述,智能提取关键信息,辅助科研写作。

立即免费体验

人肝内胆管上皮细胞在体外对人肝细胞生长因子产生增殖反应。

Human intrahepatic biliary epithelial cells proliferate in vitro in response to human hepatocyte growth factor.

作者信息

Joplin R, Hishida T, Tsubouchi H, Daikuhara Y, Ayres R, Neuberger J M, Strain A J

机构信息

Liver Unit, Queen Elizabeth Hospital, Birmingham, United Kingdom.

出版信息

J Clin Invest. 1992 Oct;90(4):1284-9. doi: 10.1172/JCI115992.

DOI:10.1172/JCI115992
PMID:1401065
原文链接:https://pmc.ncbi.nlm.nih.gov/articles/PMC443171/
Abstract

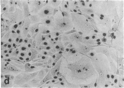
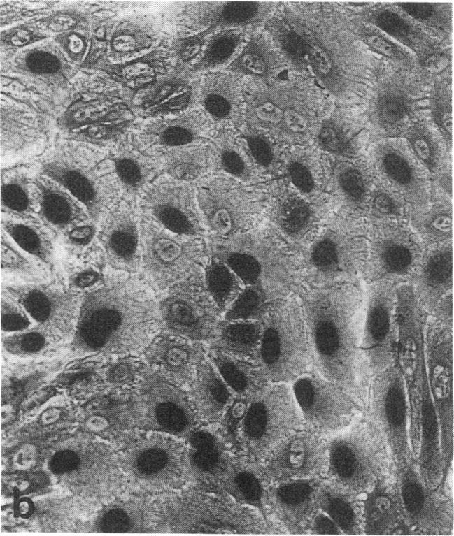
In previous studies, intrahepatic human biliary epithelial cells (BEC) were isolated in high purity. However, these cells demonstrated only limited growth responses. Here we report that human BEC proliferate in response to human hepatocyte growth factor (hHGF), retain BEC-specific phenotype, and can be serially passaged. BEC showed dose-dependent growth in response to 0.01-100 ng/ml hHGF. The maximum S-phase labeling index reached 40% with half-maximal stimulation at 1 ng/ml. The response of cells from normal and primary biliary cirrhotic liver to hHGF was similar. Cultures were immunostained with specific antibodies and then processed for [3H]thymidine autoradiography. Proliferating cells expressed BEC-specific markers (HEA125 and CK-19), but were negative for desmin and factor VIII-related antigen. Occasional vimentin-positive cells were observed, but these were nonproliferative. In conclusion, cells responding to hHGF were clearly BEC in origin. The observation that HGF is mitogenic for BEC as well as hepatocytes has important implications. First, greater yields of intrahepatic BEC are available for subsequent studies of the pathogenesis and etiology of diseases of the biliary epithelium. Secondly, some means of regulating the cellular response to HGF in vivo must operate, in that HGF levels rise early after partial hepatectomy and yet BEC proliferate 24 h later than hepatocytes.

摘要

在先前的研究中,已高纯度分离出肝内人胆管上皮细胞(BEC)。然而,这些细胞仅表现出有限的生长反应。在此我们报告,人BEC对人肝细胞生长因子(hHGF)有增殖反应,保留BEC特异性表型,且可连续传代。BEC对0.01 - 100 ng/ml hHGF呈剂量依赖性生长。最大S期标记指数在1 ng/ml半最大刺激时达到40%。正常肝脏和原发性胆汁性肝硬化肝脏来源的细胞对hHGF的反应相似。用特异性抗体对培养物进行免疫染色,然后进行[3H]胸苷放射自显影处理。增殖细胞表达BEC特异性标志物(HEA125和CK - 19),但结蛋白和因子VIII相关抗原呈阴性。偶尔观察到波形蛋白阳性细胞,但这些细胞不增殖。总之,对hHGF有反应的细胞显然起源于BEC。HGF对BEC和肝细胞均有促有丝分裂作用这一观察结果具有重要意义。首先,可获得更多肝内BEC用于后续胆管上皮疾病发病机制和病因学研究。其次,体内必定存在某种调节细胞对HGF反应的机制,因为部分肝切除术后早期HGF水平升高,而BEC比肝细胞晚24小时增殖。

https://cdn.ncbi.nlm.nih.gov/pmc/blobs/b345/443171/92d3ab23a9d0/jcinvest00052-0119-c.jpg
https://cdn.ncbi.nlm.nih.gov/pmc/blobs/b345/443171/521da1fb5497/jcinvest00052-0117-a.jpg
https://cdn.ncbi.nlm.nih.gov/pmc/blobs/b345/443171/8b4fa51b252d/jcinvest00052-0118-a.jpg
https://cdn.ncbi.nlm.nih.gov/pmc/blobs/b345/443171/a9a89a1df219/jcinvest00052-0118-b.jpg
https://cdn.ncbi.nlm.nih.gov/pmc/blobs/b345/443171/7c2a1c4ebaf6/jcinvest00052-0118-c.jpg
https://cdn.ncbi.nlm.nih.gov/pmc/blobs/b345/443171/4b7852101f77/jcinvest00052-0118-d.jpg
https://cdn.ncbi.nlm.nih.gov/pmc/blobs/b345/443171/2032ceb5cb6c/jcinvest00052-0119-a.jpg
https://cdn.ncbi.nlm.nih.gov/pmc/blobs/b345/443171/2133cb5ed90e/jcinvest00052-0119-b.jpg
https://cdn.ncbi.nlm.nih.gov/pmc/blobs/b345/443171/92d3ab23a9d0/jcinvest00052-0119-c.jpg
https://cdn.ncbi.nlm.nih.gov/pmc/blobs/b345/443171/521da1fb5497/jcinvest00052-0117-a.jpg
https://cdn.ncbi.nlm.nih.gov/pmc/blobs/b345/443171/8b4fa51b252d/jcinvest00052-0118-a.jpg
https://cdn.ncbi.nlm.nih.gov/pmc/blobs/b345/443171/a9a89a1df219/jcinvest00052-0118-b.jpg
https://cdn.ncbi.nlm.nih.gov/pmc/blobs/b345/443171/7c2a1c4ebaf6/jcinvest00052-0118-c.jpg
https://cdn.ncbi.nlm.nih.gov/pmc/blobs/b345/443171/4b7852101f77/jcinvest00052-0118-d.jpg
https://cdn.ncbi.nlm.nih.gov/pmc/blobs/b345/443171/2032ceb5cb6c/jcinvest00052-0119-a.jpg
https://cdn.ncbi.nlm.nih.gov/pmc/blobs/b345/443171/2133cb5ed90e/jcinvest00052-0119-b.jpg
https://cdn.ncbi.nlm.nih.gov/pmc/blobs/b345/443171/92d3ab23a9d0/jcinvest00052-0119-c.jpg

相似文献

1
Human intrahepatic biliary epithelial cells proliferate in vitro in response to human hepatocyte growth factor.人肝内胆管上皮细胞在体外对人肝细胞生长因子产生增殖反应。
J Clin Invest. 1992 Oct;90(4):1284-9. doi: 10.1172/JCI115992.
2
Interleukin-6, hepatocyte growth factor, and their receptors in biliary epithelial cells during a type I ductular reaction in mice: interactions between the periductal inflammatory and stromal cells and the biliary epithelium.小鼠I型小胆管反应期间胆管上皮细胞中的白细胞介素-6、肝细胞生长因子及其受体:导管周围炎性细胞和基质细胞与胆管上皮之间的相互作用
Hepatology. 1998 Nov;28(5):1260-8. doi: 10.1002/hep.510280514.
3
Mechanisms of hepatocyte growth factor-mediated and epidermal growth factor-mediated signaling in transdifferentiation of rat hepatocytes to biliary epithelium.肝细胞生长因子介导和表皮生长因子介导的信号通路在大鼠肝细胞向胆管上皮转分化中的作用机制
Hepatology. 2008 May;47(5):1702-13. doi: 10.1002/hep.22221.
4
Growth control of human biliary epithelial cells by interleukin 6, hepatocyte growth factor, transforming growth factor beta1, and activin A: comparison of a cholangiocarcinoma cell line with primary cultures of non-neoplastic biliary epithelial cells.白细胞介素6、肝细胞生长因子、转化生长因子β1和激活素A对人胆管上皮细胞生长的调控:胆管癌细胞系与非肿瘤性胆管上皮细胞原代培养物的比较
Hepatology. 2000 Jul;32(1):26-35. doi: 10.1053/jhep.2000.8535.
5
Hepatocyte growth factor, blood clearance, organ uptake, and biliary excretion in normal and partially hepatectomized rats.正常和部分肝切除大鼠体内肝细胞生长因子的血液清除、器官摄取及胆汁排泄情况
Lab Invest. 1993 Mar;68(3):270-6.
6
CD40 activation-induced, Fas-dependent apoptosis and NF-kappaB/AP-1 signaling in human intrahepatic biliary epithelial cells.人肝内胆管上皮细胞中CD40激活诱导的、Fas依赖的细胞凋亡及NF-κB/AP-1信号传导
FASEB J. 2001 Nov;15(13):2345-54. doi: 10.1096/fj.01-0088com.
7
Mitosis and apoptosis in the liver of interleukin-6-deficient mice after partial hepatectomy.部分肝切除术后白细胞介素-6缺陷小鼠肝脏中的有丝分裂和细胞凋亡
Hepatology. 1999 Feb;29(2):403-11. doi: 10.1002/hep.510290244.
8
[Effects of hepatocyte growth factor on dose- and time-response of DNA synthesis in rat hepatocytes in vitro].[肝细胞生长因子对体外培养大鼠肝细胞DNA合成的剂量及时间反应的影响]
Zhongguo Ying Yong Sheng Li Xue Za Zhi. 1997 Feb;13(1):53-6.
9
Native and recombinant human hepatocyte growth factors are highly potent promoters of DNA synthesis in both human and rat hepatocytes.天然和重组人肝细胞生长因子都是人和大鼠肝细胞中DNA合成的高效促进剂。
J Clin Invest. 1991 May;87(5):1853-7. doi: 10.1172/JCI115207.
10
Human biliary epithelial cells secrete and respond to cytokines and hepatocyte growth factors in vitro: interleukin-6, hepatocyte growth factor and epidermal growth factor promote DNA synthesis in vitro.
Hepatology. 1994 Aug;20(2):376-82.

引用本文的文献

1
Effect of controlled release of HGF on extracellular vesicle secretion by urine-derived stem cells.肝细胞生长因子控释对尿源性干细胞细胞外囊泡分泌的影响。
Front Bioeng Biotechnol. 2024 Aug 21;12:1436296. doi: 10.3389/fbioe.2024.1436296. eCollection 2024.
2
Ductular Reactions in Liver Injury, Regeneration, and Disease Progression-An Overview.胆管反应在肝损伤、再生和疾病进展中的作用概述。
Cells. 2024 Mar 26;13(7):579. doi: 10.3390/cells13070579.
3
Emerging concepts in biliary repair and fibrosis.胆道修复与纤维化的新观念

本文引用的文献

1
Stimulation of DNA synthesis in primary cultures of adult rat hepatocytes by rat platelet-associated substance(s).大鼠血小板相关物质对成年大鼠肝细胞原代培养物中DNA合成的刺激作用。
In Vitro. 1982 Feb;18(2):108-16. doi: 10.1007/BF02796402.
2
Partial purification and characterization of hepatocyte growth factor from serum of hepatectomized rats.从肝切除大鼠血清中部分纯化和鉴定肝细胞生长因子
Biochem Biophys Res Commun. 1984 Aug 16;122(3):1450-9. doi: 10.1016/0006-291x(84)91253-1.
3
Differential control of cytokeratins and vimentin synthesis by cell-cell contact and cell spreading in cultured epithelial cells.
Am J Physiol Gastrointest Liver Physiol. 2017 Aug 1;313(2):G102-G116. doi: 10.1152/ajpgi.00452.2016. Epub 2017 May 19.
4
Hepatocyte Growth Factor Effects on Mesenchymal Stem Cells Derived from Human Arteries: A Novel Strategy to Accelerate Vascular Ulcer Wound Healing.肝细胞生长因子对源自人动脉的间充质干细胞的影响:加速血管溃疡伤口愈合的新策略。
Stem Cells Int. 2016;2016:3232859. doi: 10.1155/2016/3232859. Epub 2015 Dec 14.
5
Recent advances on the mechanisms regulating cholangiocyte proliferation and the significance of the neuroendocrine regulation of cholangiocyte pathophysiology.胆管细胞增殖调控机制的最新进展及神经内分泌调控胆管细胞病理生理学的意义。
Ann Transl Med. 2013 Oct;1(3):27. doi: 10.3978/j.issn.2305-5839.2012.10.03.
6
Efficient generation of biliary epithelial cells from rabbit intrahepatic bile duct by Y-27632 and Matrigel.Y-27632 和 Matrigel 从兔肝内胆管高效生成胆管上皮细胞。
In Vitro Cell Dev Biol Anim. 2013 Jun;49(6):433-9. doi: 10.1007/s11626-013-9627-z. Epub 2013 May 14.
7
Hepatocyte growth factor stimulates the migration of gastric epithelial cells by altering the subcellular localization of the tight junction protein ZO-1.肝细胞生长因子通过改变紧密连接蛋白 ZO-1 的细胞内定位来刺激胃上皮细胞的迁移。
J Gastroenterol. 2013 Feb;48(2):193-202. doi: 10.1007/s00535-012-0615-y. Epub 2012 Jun 22.
8
Epithelial-mesenchymal interactions in biliary diseases.胆管疾病中的上皮-间充质相互作用。
Semin Liver Dis. 2011 Feb;31(1):11-32. doi: 10.1055/s-0031-1272832. Epub 2011 Feb 22.
9
Reference gene selection for real-time RT-PCR in eight kinds of rat regenerating hepatic cells.八种大鼠再生肝细胞实时 RT-PCR 中参考基因的选择。
Mol Biotechnol. 2010 Sep;46(1):49-57. doi: 10.1007/s12033-010-9274-5.
10
Liver regeneration after partial hepatectomy: critical analysis of mechanistic dilemmas.部分肝切除术后的肝脏再生:对机制难题的批判性分析。
Am J Pathol. 2010 Jan;176(1):2-13. doi: 10.2353/ajpath.2010.090675. Epub 2009 Dec 17.
培养的上皮细胞中细胞间接触和细胞铺展对细胞角蛋白和波形蛋白合成的差异调控。
J Cell Biol. 1984 Oct;99(4 Pt 1):1424-33. doi: 10.1083/jcb.99.4.1424.
4
Demonstration and maintenance of mucus secretion in cultured human gallbladder epithelial cells.培养的人胆囊上皮细胞中黏液分泌的展示与维持
In Vitro Cell Dev Biol. 1987 Aug;23(8):559-66. doi: 10.1007/BF02620973.
5
Immunohistochemical study of the expression of a Mr 34,000 human epithelium-specific surface glycoprotein in normal and malignant tissues.正常组织和恶性组织中一种分子量为34,000的人类上皮特异性表面糖蛋白表达的免疫组织化学研究。
Cancer Res. 1987 Jun 1;47(11):2883-91.
6
Principles of solid-organ preservation by cold storage.冷藏保存实体器官的原则。
Transplantation. 1988 Apr;45(4):673-6. doi: 10.1097/00007890-198804000-00001.
7
Purification and partial characterization of hepatocyte growth factor from plasma of a patient with fulminant hepatic failure.暴发性肝衰竭患者血浆中肝细胞生长因子的纯化及部分特性分析
J Clin Invest. 1988 Feb;81(2):414-9. doi: 10.1172/JCI113334.
8
Purification and characterization of a newly identified growth factor specific for epithelial cells.一种新发现的上皮细胞特异性生长因子的纯化与特性鉴定
Proc Natl Acad Sci U S A. 1989 Feb;86(3):802-6. doi: 10.1073/pnas.86.3.802.
9
Marked increase of HGF mRNA in non-parenchymal liver cells of rats treated with hepatotoxins.用肝毒素处理的大鼠非实质肝细胞中HGF mRNA显著增加。
Biochem Biophys Res Commun. 1989 Dec 29;165(3):1229-34. doi: 10.1016/0006-291x(89)92733-2.
10
Immuno-isolation and culture of biliary epithelial cells from normal human liver.正常人肝脏胆管上皮细胞的免疫隔离与培养
In Vitro Cell Dev Biol. 1989 Dec;25(12):1189-92. doi: 10.1007/BF02621273.