Suppr超能文献

四例华氏巨球蛋白血症

FOUR CASES OF WALDENSTROEM'S MACROGLOBULINAEMIA.

作者信息

KOK D A, WHITMORE D N, AINSWORTH R W

出版信息

J Clin Pathol. 1963 Jul;16(4):351-61. doi: 10.1136/jcp.16.4.351.

Abstract

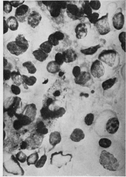
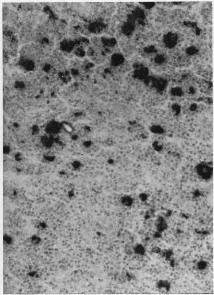
The clinical course and pathological features of four cases of Waldenström's macroglobulinaemia are described. One was associated with a localized carcinoma of the bronchus and one with a chromophobe adenoma of the pituitary. Trypsin digest preparations of the retina were examined in two cases, one with severe retinopathy and the other with no clinical evidence of ocular disease, and the findings are briefly described. The aetiology of the anaemia is discussed. Haemolysis due to circulating autoantibodies was not demonstrated in any of the cases. Erythrophagocytosis was a prominent feature in case 4, of moderate degree in cases 1 and 2, and inconspicuous in case 3. It was not proportionate to the serum macroglobulin levels. The cytological and histological features in all four cases are distinctive, and their value in differential diagnosis is stressed.

摘要

本文描述了4例华氏巨球蛋白血症的临床病程及病理特征。其中1例与支气管局部癌有关,1例与垂体嫌色性腺瘤有关。对2例患者的视网膜进行了胰蛋白酶消化制剂检查,1例有严重视网膜病变,另1例无眼部疾病的临床证据,并简要描述了检查结果。文中讨论了贫血的病因。所有病例均未证实存在由循环自身抗体导致的溶血现象。红细胞吞噬现象在病例4中较为突出,在病例1和2中程度中等,在病例3中不明显。其与血清巨球蛋白水平不成比例。所有4例的细胞学和组织学特征均有独特之处,并强调了它们在鉴别诊断中的价值。

https://cdn.ncbi.nlm.nih.gov/pmc/blobs/61da/480576/c61fd8cced1e/jclinpath00075-0060-a.jpg

引用本文的文献

1
WALDENSTROEM'S MACROGLOBULINAEMIA.
Br Med J. 1965 Jan 9;1(5427):73-4.
2
SYSTEMIC EFFECTS OF NON-ENDOCRINE TUMOURS.
Can Med Assoc J. 1964 Sep 19;91(12):647-54.
3
Haemorheological factors in the development of diabetic microangiopathy.
Br J Ophthalmol. 1967 Dec;51(12):793-803. doi: 10.1136/bjo.51.12.793.
4
Systemic amyloidosis and malignant disease.
J Clin Pathol. 1966 Nov;19(6):539-48. doi: 10.1136/jcp.19.6.539.
5
Cytogenetic studies in a family with Waldenström's macroglobulinaemia.
J Med Genet. 1968 Jun;5(2):118-22. doi: 10.1136/jmg.5.2.118.
6
Waldenström's macroglobulinaemia treated with cylophosphamide and chlorambucil.
J Clin Pathol. 1966 Jan;19(1):55-9. doi: 10.1136/jcp.19.1.55.
7
The morphology of the lymph node in the macroglobulinaemia of Waldenström.
J Clin Pathol. 1972 Jan;25(1):12-6. doi: 10.1136/jcp.25.1.12.

本文引用的文献

1
An unusual case of hyperglobulinaemia.
J Pathol Bacteriol. 1952 Apr;64(2):335-42. doi: 10.1002/path.1700640209.
2
Microelectrophoresis of protein on filter-paper.
Lancet. 1951 Aug 11;2(6676):235-9. doi: 10.1016/s0140-6736(51)93239-4.
4
Observations on the periodic acid-Schiff reaction in lymphoproliferative diseases.
J Pathol Bacteriol. 1959 Oct;78:521-32. doi: 10.1002/path.1700780219.
6
Progressive multifocal leukoencephalopathy.
N Engl J Med. 1961 Oct 26;265:815-23. doi: 10.1056/NEJM196110262651701.
8
A case of anaemia associated with macroglobulinaemia.
Med J Aust. 1960 Apr 23;47(1):655-8. doi: 10.5694/j.1326-5377.1960.tb62682.x.
9
Neurologic aspects of Waldenstrom's macroglobulinemia; report of a case.
Arch Neurol. 1960 Nov;3:564-73. doi: 10.1001/archneur.1960.00450050084010.
10
Abnormal plasma components and their significance in disease.
Ann N Y Acad Sci. 1961 Aug 31;94:110-30. doi: 10.1111/j.1749-6632.1961.tb35536.x.

文献AI研究员

20分钟写一篇综述,助力文献阅读效率提升50倍。

立即体验

用中文搜PubMed

大模型驱动的PubMed中文搜索引擎

马上搜索

文档翻译

学术文献翻译模型,支持多种主流文档格式。

立即体验