Suppr超能文献

小鼠β-珠蛋白基因座控制区:超敏位点3和4

The mouse beta-globin locus control region: hypersensitive sites 3 and 4.

作者信息

Jiménez G, Gale K B, Enver T

机构信息

Leukaemia Research Fund Centre, Institute of Cancer Research, Chester Beatty Laboratories, London, UK.

出版信息

Nucleic Acids Res. 1992 Nov 11;20(21):5797-803. doi: 10.1093/nar/20.21.5797.

Abstract

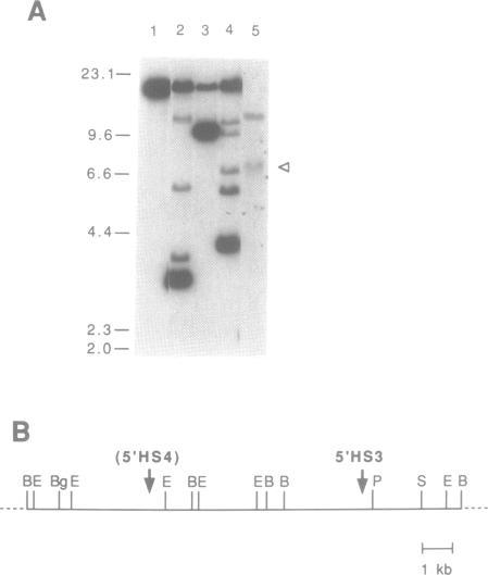
The human beta-globin LCR plays a key role in the transcriptional regulation of the beta-globin locus and comprises four erythroid specific DNase I hypersensitive sites, designated 5'HS1-4. We have now isolated genomic clones containing 5'HS3 and 5'HS4 of the mouse beta-globin LCR. 5'HS3 and 5'HS4 are located 15 kb and 22 kb upstream of the mouse epsilon y-globin gene, respectively. Sequence analysis of murine 5'HS3 and 5'HS4 reveals a significant degree of sequence conservation with their human homologues, including the presence of recognition sites for functionally relevant transcription factors. 5'HS3 and 5'HS4 regions were found to form hypersensitive sites in nuclei from murine erythroid cells, but not in nuclei from a variety of nonerythroid haematopoietic cell lines. Analysis of different mouse strains revealed the existence of a polymorphism that alters the spacing between 5'HS3 and 5'HS4. Taken together, our results emphasize the extent of evolutionary conservation and complexity of mammalian beta-globin LCRs. Finally, the cloning of mouse 5'HS3 and 5'HS4 will facilitate the molecular analysis of LCR function in the mouse model.

摘要

人类β-珠蛋白基因座控制区(LCR)在β-珠蛋白基因座的转录调控中起关键作用,它包含四个红系特异性DNase I超敏位点,分别命名为5'HS1 - 4。我们现已分离出包含小鼠β-珠蛋白LCR的5'HS3和5'HS4的基因组克隆。5'HS3和5'HS4分别位于小鼠εγ-珠蛋白基因上游15 kb和22 kb处。对小鼠5'HS3和5'HS4的序列分析显示,它们与人类同源物有高度的序列保守性,包括存在功能相关转录因子的识别位点。发现5'HS3和5'HS4区域在小鼠红系细胞核中形成超敏位点,但在多种非红系造血细胞系的细胞核中则不然。对不同小鼠品系的分析揭示了一种多态性的存在,该多态性改变了5'HS3和5'HS4之间的间距。综上所述,我们的结果强调了哺乳动物β-珠蛋白LCRs进化保守的程度和复杂性。最后,小鼠5'HS3和5'HS4的克隆将有助于在小鼠模型中对LCR功能进行分子分析。

https://cdn.ncbi.nlm.nih.gov/pmc/blobs/1af5/334418/a0962613efa3/nar00232-0277-a.jpg

文献检索

告别复杂PubMed语法,用中文像聊天一样搜索,搜遍4000万医学文献。AI智能推荐,让科研检索更轻松。

立即免费搜索

文件翻译

保留排版,准确专业,支持PDF/Word/PPT等文件格式,支持 12+语言互译。

免费翻译文档

深度研究

AI帮你快速写综述,25分钟生成高质量综述,智能提取关键信息,辅助科研写作。

立即免费体验