Suppr超能文献

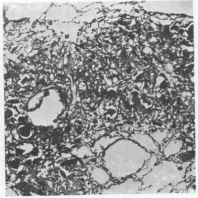
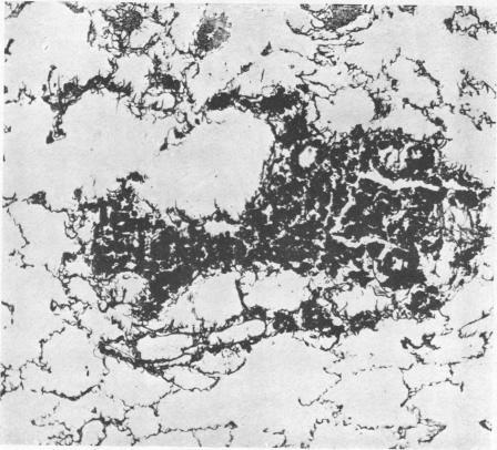
The action of small amounts of quartz and larger amounts of coal and graphite on the lungs of rats.

作者信息

RAY S C, KING E J, HARRISON C V

出版信息

Br J Ind Med. 1951 Apr;8(2):68-73. doi: 10.1136/oem.8.2.68.

Abstract
摘要
https://cdn.ncbi.nlm.nih.gov/pmc/blobs/8103/1036399/38f80ffd5a31/brjindmed00242-0021-a.jpg

文献AI研究员

20分钟写一篇综述,助力文献阅读效率提升50倍。

立即体验

用中文搜PubMed

大模型驱动的PubMed中文搜索引擎

马上搜索

文档翻译

学术文献翻译模型,支持多种主流文档格式。

立即体验