Suppr超能文献

表现为伴有动脉瘤样扩张肿块的回肠恶性黑色素瘤:一例报告

Ileal malignant melanoma presenting as a mass with aneurysmal dilatation: a case report.

作者信息

Kim Wook, Baek Jong Min, Suh Young Jin, Jeon Hae Myung, Kim Jean A

机构信息

Department of Surgery, College of Medicine, The Catholic University of Korea, Seoul, Korea.

出版信息

J Korean Med Sci. 2004 Apr;19(2):297-301. doi: 10.3346/jkms.2004.19.2.297.

Abstract

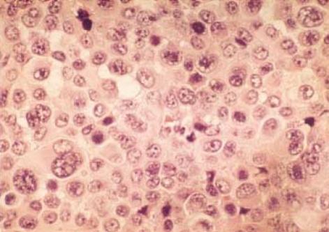
Malignant melanoma is the most common metastatic tumor of the gastrointestinal tract and can present with fairly common constitutional symptoms. A 36-yr-old woman was found to have a secondary malignant melanoma in the terminal ileum with profuse aneurysmal dilatation, which is not the typical presentation of the malignant melanoma in the small intestine. Radiologic studies revealed a large tumor involving the distal ileum with aneurysmal dilatations having afferent and efferent loops, which needed to be differentiated from malignant lymphoma and other gastrointestinal tumors. Exploratory laparotomy was done, and we found a huge mass with plentiful aneurysmal dilatations; much the same of the findings from the previous studies. Segmental resection with the surrounding omentum was done followed by end-to-end anastomosis between both ends of the remaining ileum. She had been free from any evidence of the local or systemic recurrence for one year after the completion of eighteen months of the subcutaneous interferon treatment; postoperatively however, the occurrence of metastatic mass at the right axilla rendered us from complete resection due to severe penetration into the vital nerves and vessels in the axilla.

摘要

恶性黑色素瘤是胃肠道最常见的转移性肿瘤,可表现出相当常见的全身症状。一名36岁女性被发现回肠末端有继发性恶性黑色素瘤,伴有大量动脉瘤样扩张,这并非小肠恶性黑色素瘤的典型表现。影像学研究显示,一个大肿瘤累及回肠远端,伴有动脉瘤样扩张,有输入袢和输出袢,需要与恶性淋巴瘤和其他胃肠道肿瘤相鉴别。进行了剖腹探查术,我们发现一个巨大肿块,有大量动脉瘤样扩张;与先前研究的发现大致相同。进行了包括周围网膜的节段性切除,然后对剩余回肠两端进行端端吻合。在完成18个月的皮下干扰素治疗后,她有一年没有任何局部或全身复发的迹象;然而,术后右腋窝出现转移性肿块,由于严重侵犯腋窝重要神经和血管,我们无法进行完全切除。

https://cdn.ncbi.nlm.nih.gov/pmc/blobs/2d1e/2822316/e0c78ff137a0/jkms-19-297-g001.jpg

文献检索

告别复杂PubMed语法,用中文像聊天一样搜索,搜遍4000万医学文献。AI智能推荐,让科研检索更轻松。

立即免费搜索

文件翻译

保留排版,准确专业,支持PDF/Word/PPT等文件格式,支持 12+语言互译。

免费翻译文档

深度研究

AI帮你快速写综述,25分钟生成高质量综述,智能提取关键信息,辅助科研写作。

立即免费体验