Suppr超能文献

腮腺腺样囊性癌转移至肝脏:病例报告

Adenoid cystic carcinoma of the parotid metastasizing to liver: case report.

作者信息

Harish K, Mangala Gouri S R

机构信息

Department of Surgical Oncology, M. S. Ramaiah Medical College & Hospital, Bangalore - 560054, India.

出版信息

BMC Cancer. 2004 Jul 30;4:41. doi: 10.1186/1471-2407-4-41.

Abstract

BACKGROUND

Adenoid cystic carcinoma is a rare malignant parotid tumor. Metastasis can occur even a decade or more after initial treatment of the primary.

CASE PRESENTATION

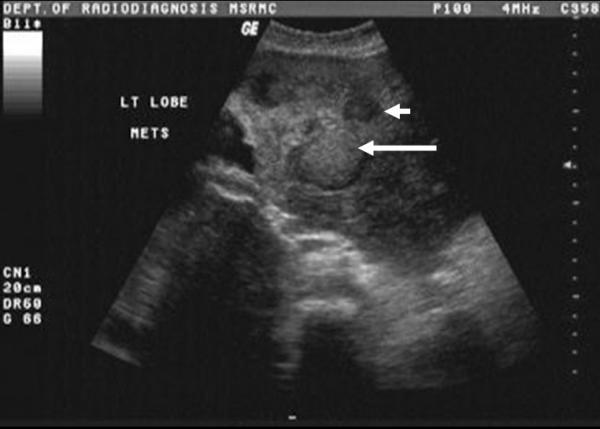
We report a 60 year old female patient who presented with adenoid cystic carcinoma of the parotid gland. She underwent a total conservative parotidectomy followed by adjuvant radiotherapy. While on follow up, patient developed multiple liver metastases which manifested three years later. Patient lived for another two years before she died of her disease.

CONCLUSIONS

Although distant metastases of adenoid cystic carcinoma develop frequently, isolated metastasis to liver is unusual. Even after manifestation of distant metastasis, patients can be expected to live for a number of years. Palliative chemotherapy can be considered in symptomatic cases while the usefulness of metastasectomy is controversial.

摘要

背景

腺样囊性癌是一种罕见的腮腺恶性肿瘤。即使在原发灶初次治疗后十年或更长时间也可能发生转移。

病例报告

我们报告一名60岁女性患者,患有腮腺腺样囊性癌。她接受了全腮腺保守切除术,随后进行辅助放疗。在随访期间,患者出现多处肝转移,三年后表现出来。患者又存活了两年,最终死于该疾病。

结论

尽管腺样囊性癌远处转移频繁发生,但孤立性肝转移并不常见。即使出现远处转移,患者仍有望存活数年。有症状的病例可考虑姑息化疗,而转移灶切除术的有效性存在争议。

https://cdn.ncbi.nlm.nih.gov/pmc/blobs/d95a/509249/cb3c331076ce/1471-2407-4-41-1.jpg

相似文献

1
Adenoid cystic carcinoma of the parotid metastasizing to liver: case report.
BMC Cancer. 2004 Jul 30;4:41. doi: 10.1186/1471-2407-4-41.
3
Osteosarcoma radioinduced after adenoid cystic tumor of the parotid gland.
J Craniofac Surg. 2010 Mar;21(2):387-9. doi: 10.1097/SCS.0b013e3181cfa5f6.
5
Unusual localization of an adenoid cystic carcinoma subsequent to superficial parotidectomy for a benign lesion.
J Craniofac Surg. 2007 Jan;18(1):231-5. doi: 10.1097/01.scs.0000246740.84471.4e.
6
10
Lung metastasis resection of adenoid cystic carcinoma of salivary glands.
Eur J Cardiothorac Surg. 2008 May;33(5):790-3. doi: 10.1016/j.ejcts.2007.12.057. Epub 2008 Mar 14.

引用本文的文献

2
Salivary gland adenoid cystic carcinoma presenting as a large metastatic hepatic mass: a case report.
J Med Case Rep. 2025 Mar 19;19(1):126. doi: 10.1186/s13256-025-05151-z.
3
A curious case of metastatic parotid adenoid cystic carcinoma to kidney.
BMJ Case Rep. 2022 Oct 28;15(10):e248833. doi: 10.1136/bcr-2022-248833.
5
Management of Adenoid Cystic Carcinoma of the Breast: A Single-Institution Study.
Front Oncol. 2021 Mar 15;11:621012. doi: 10.3389/fonc.2021.621012. eCollection 2021.
7
A Single Liver Metastasis From Adenoid Cystic Carcinoma of the Parotid Gland: Case Report.
J Investig Med High Impact Case Rep. 2019 Jan-Dec;7:2324709619879631. doi: 10.1177/2324709619879631.
8
Adenoid cystic carcinoma of the vagina: A case report.
Medicine (Baltimore). 2019 Jan;98(1):e13852. doi: 10.1097/MD.0000000000013852.
9
Adenoid Cystic Carcinoma Metastasized to Colon.
Cureus. 2018 Jan 18;10(1):e2085. doi: 10.7759/cureus.2085.
10
Adenoid cystic carcinoma of submandibular gland metastatic to great toes: case report and literature review.
Clin Case Rep. 2016 Jul 20;4(8):820-3. doi: 10.1002/ccr3.635. eCollection 2016 Aug.

本文引用的文献

1
Clinicopathologic predictors and impact of distant metastasis from adenoid cystic carcinoma of the head and neck.
Arch Otolaryngol Head Neck Surg. 2003 Nov;129(11):1193-7. doi: 10.1001/archotol.129.11.1193.
2
Cutaneous metastasis from adenoid cystic carcinoma of the parotid gland.
Dermatol Surg. 2003 Jul;29(7):775-9. doi: 10.1046/j.1524-4725.2003.29196.x.
4
Salivary gland tumours.
Oral Dis. 2002 Sep;8(5):229-40. doi: 10.1034/j.1601-0825.2002.02870.x.
5
Tumor-doubling time and onset of pulmonary metastasis from adenoid cystic carcinoma of the salivary gland.
Oral Surg Oral Med Oral Pathol Oral Radiol Endod. 1999 Oct;88(4):473-8. doi: 10.1016/s1079-2104(99)70065-x.
6
Diagnosis of hepatic metastasis of adenoid cystic carcinoma of the salivary gland by fine needle aspiration.
Cytopathology. 1999 Jun;10(3):216-7. doi: 10.1046/j.1365-2303.1999.0157a.x.
8
Distant metastasis in adenoid cystic carcinoma of salivary origin.
Am J Surg. 1997 Nov;174(5):495-8. doi: 10.1016/s0002-9610(97)00153-0.
10
'Seed and soil' revisited: mechanisms of site-specific metastasis.
Cancer Metastasis Rev. 1982;1(1):5-16. doi: 10.1007/BF00049477.

文献AI研究员

20分钟写一篇综述,助力文献阅读效率提升50倍。

立即体验

用中文搜PubMed

大模型驱动的PubMed中文搜索引擎

马上搜索

文档翻译

学术文献翻译模型,支持多种主流文档格式。

立即体验