Tu-Rapp Hoang, Hammermüller André, Mix Eilhard, Kreutzer Hans-Jürgen, Goerlich Roland, Köhler Hansjürgen, Nizze Horst, Thiesen Hans-Jürgen, Ibrahim Saleh M
Department of Immunology, University of Rostock, Rostock, Germany.
Arthritis Res Ther. 2004;6(5):R404-14. doi: 10.1186/ar1205. Epub 2004 Jul 19.
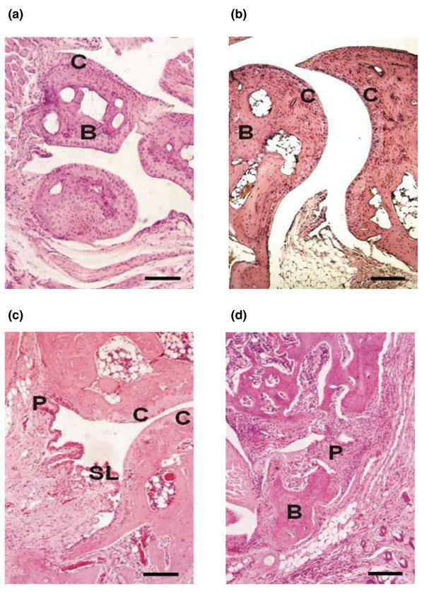
Collagen-induced arthritis (CIA) is a chronic inflammatory disease bearing all the hallmarks of rheumatoid arthritis, e.g. polyarthritis, synovitis, and subsequent cartilage/bone erosions. One feature of the disease contributing to joint damage is synovial hyperplasia. The factors responsible for the hyperplasia are unknown; however, an imbalance between rates of cell proliferation and cell death (apoptosis) has been suggested. To evaluate the role of a major pathway of cell death - Fas (CD95)/FasL - in the pathogenesis of CIA, DBA/1J mice with a mutation of the Fas gene (lpr) were generated. The susceptibility of the mutant DBA-lpr/lpr mice to arthritis induced by collagen type II was evaluated. Contrary to expectations, the DBA-lpr/lpr mice developed significantly milder disease than the control littermates. The incidence of disease was also significantly lower in the lpr/lpr mice than in the controls (40% versus 81%; P < 0.05). However DBA-lpr/lpr mice mounted a robust immune response to collagen, and the expression of local proinflammatory cytokines such as, e.g., tumor necrosis factor alpha (TNF-alpha) and IL-6 were increased at the onset of disease. Since the contribution of synovial fibroblasts to inflammation and joint destruction is crucial, the potential activating effect of Fas on mouse fibroblast cell line NIH3T3 was investigated. On treatment with anti-Fas in vitro, the cell death of NIH3T3 fibroblasts was reduced and the expression of proinflammatory cytokines TNF-alpha and IL-6 was increased. These findings suggest that impairment of immune tolerance by increased T-cell reactivity does not lead to enhanced susceptibility to CIA and point to a role of Fas in joint destruction.
胶原诱导的关节炎(CIA)是一种具有类风湿关节炎所有特征的慢性炎症性疾病,例如多关节炎、滑膜炎以及随后的软骨/骨侵蚀。导致关节损伤的该疾病的一个特征是滑膜增生。导致增生的因素尚不清楚;然而,有人提出细胞增殖速率与细胞死亡(凋亡)之间存在失衡。为了评估细胞死亡的主要途径——Fas(CD95)/FasL——在CIA发病机制中的作用,培育了具有Fas基因突变(lpr)的DBA/1J小鼠。评估了突变的DBA-lpr/lpr小鼠对II型胶原诱导的关节炎的易感性。与预期相反,DBA-lpr/lpr小鼠发生的疾病明显比对照同窝小鼠轻。lpr/lpr小鼠的疾病发病率也明显低于对照组(40%对81%;P<0.05)。然而,DBA-lpr/lpr小鼠对胶原产生了强烈的免疫反应,并且在疾病发作时局部促炎细胞因子如肿瘤坏死因子α(TNF-α)和IL-6的表达增加。由于滑膜成纤维细胞对炎症和关节破坏的作用至关重要,研究了Fas对小鼠成纤维细胞系NIH3T3的潜在激活作用。在体外用抗Fas处理后,NIH3T3成纤维细胞的细胞死亡减少,促炎细胞因子TNF-α和IL-6的表达增加。这些发现表明,T细胞反应性增加导致的免疫耐受受损不会导致对CIA的易感性增强,并指出Fas在关节破坏中起作用。