• 文献检索
  • 文档翻译
  • 深度研究
  • 学术资讯
  • Suppr Zotero 插件Zotero 插件
  • 邀请有礼
  • 套餐&价格
  • 历史记录
应用&插件
Suppr Zotero 插件Zotero 插件浏览器插件Mac 客户端Windows 客户端微信小程序
定价
高级版会员购买积分包购买API积分包
服务
文献检索文档翻译深度研究API 文档MCP 服务
关于我们
关于 Suppr公司介绍联系我们用户协议隐私条款
关注我们

Suppr 超能文献

核心技术专利:CN118964589B侵权必究
粤ICP备2023148730 号-1Suppr @ 2026

文献检索

告别复杂PubMed语法,用中文像聊天一样搜索,搜遍4000万医学文献。AI智能推荐,让科研检索更轻松。

立即免费搜索

文件翻译

保留排版,准确专业,支持PDF/Word/PPT等文件格式,支持 12+语言互译。

免费翻译文档

深度研究

AI帮你快速写综述,25分钟生成高质量综述,智能提取关键信息,辅助科研写作。

立即免费体验

单核细胞增生李斯特菌毒力因子在生存中的作用:该生物体要在早期中性粒细胞介导的宿主防御机制中存活,需要不同于溶血素的毒力因子。

Roles of Listeria monocytogenes virulence factors in survival: virulence factors distinct from listeriolysin are needed for the organism to survive an early neutrophil-mediated host defense mechanism.

作者信息

Conlan J W, North R J

机构信息

Trudeau Institute, Inc., Saranac Lake, New York 12983.

出版信息

Infect Immun. 1992 Mar;60(3):951-7. doi: 10.1128/iai.60.3.951-957.1992.

DOI:10.1128/iai.60.3.951-957.1992
PMID:1541569
原文链接:https://pmc.ncbi.nlm.nih.gov/articles/PMC257579/
Abstract

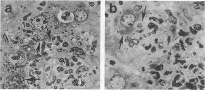
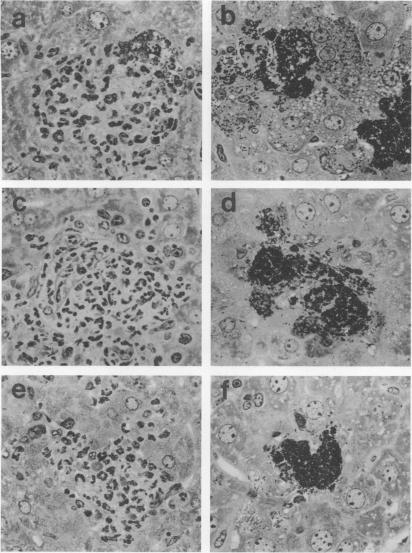
Avirulent mutant strains of Listeria monocytogenes which fail to produce phosphatidylinositol-specific phospholipase C, or which produce reduced amounts of hemolytic listeriolysin O, are incapable of causing progressive infection in normal mice. However, both strains can grow progressively in mice that have been rendered incapable of focusing neutrophils at sites of infection as a result of being treated with monoclonal antibody 5C6, specific for the type 3 complement receptor of myelomonocytic cells. In 5C6-treated mice, phospholipase C-negative and listeriolysin-defective mutant strains of L. monocytogenes, like the wild-type strain, give rise in the liver to large numbers of discrete foci of infected hepatocytes that retain their morphological integrity during the first 24 h, despite their large bacterial burden. In normal mice, in contrast, sites of infection in the liver are indicated by discrete focal accumulations of neutrophils that occupy the space originally occupied by infected hepatocytes. It is apparent that in normal mice neutrophils function to lyse infected hepatocytes and thereby to release L. monocytogenes for ingestion and killing by neutrophils themselves and by macrophages. However, whereas a proportion of wild-type organisms survive this early mechanism of defense to give rise to progressive infection, the phospholipase C-negative organisms are totally eliminated. On the basis of these and other results, it is suggested that virulence factors other than listeriolysin are needed by L. monocytogenes to counteract the early neutrophil-mediated mechanism of defense. Listeriolysin, itself, is an intrinsic virulence factor that allows L. monocytogenes to survive and multiply in a proportion of the fixed phagocytes of the liver (permissive phagocytes) and which enables the organism to go on to infect and replicate in adjacent hepatocytes. It was found that a mutant strain of L. monocytogenes incapable of producing any listeriolysin was incapable of establishing progressive infection, even in 5C6-treated mice.

摘要

无法产生磷脂酰肌醇特异性磷脂酶C,或产生溶血李斯特菌溶血素O的量减少的无毒单核细胞增生李斯特菌突变株,无法在正常小鼠中引起进行性感染。然而,这两种菌株都能在因用针对骨髓单核细胞3型补体受体的单克隆抗体5C6治疗而无法在感染部位聚集中性粒细胞的小鼠中进行性生长。在5C6处理的小鼠中,单核细胞增生李斯特菌的磷脂酶C阴性和溶血素缺陷突变株,与野生型菌株一样,在肝脏中产生大量离散的感染肝细胞灶,尽管细菌负荷很大,但在最初24小时内这些病灶仍保持其形态完整性。相比之下,在正常小鼠中,肝脏中的感染部位由占据最初被感染肝细胞占据空间的中性粒细胞离散灶性聚集表示。显然,在正常小鼠中,中性粒细胞的功能是裂解被感染的肝细胞,从而释放单核细胞增生李斯特菌以供中性粒细胞自身和巨噬细胞摄取和杀灭。然而,虽然一部分野生型生物体在这种早期防御机制中存活下来从而引起进行性感染,但磷脂酶C阴性的生物体被完全清除。基于这些和其他结果,有人提出单核细胞增生李斯特菌需要除溶血素之外的毒力因子来对抗早期中性粒细胞介导的防御机制。溶血素本身是一种内在毒力因子,它使单核细胞增生李斯特菌能够在肝脏的一部分固定吞噬细胞(允许性吞噬细胞)中存活和繁殖,并使该生物体能够继续感染相邻肝细胞并在其中复制。研究发现,无法产生任何溶血素的单核细胞增生李斯特菌突变株无法建立进行性感染,即使在5C6处理的小鼠中也是如此。

https://cdn.ncbi.nlm.nih.gov/pmc/blobs/cd56/257579/6ee25b26ac78/iai00027-0248-a.jpg
https://cdn.ncbi.nlm.nih.gov/pmc/blobs/cd56/257579/20b5200eeb01/iai00027-0246-a.jpg
https://cdn.ncbi.nlm.nih.gov/pmc/blobs/cd56/257579/cc4ffbd78e83/iai00027-0247-a.jpg
https://cdn.ncbi.nlm.nih.gov/pmc/blobs/cd56/257579/6ee25b26ac78/iai00027-0248-a.jpg
https://cdn.ncbi.nlm.nih.gov/pmc/blobs/cd56/257579/20b5200eeb01/iai00027-0246-a.jpg
https://cdn.ncbi.nlm.nih.gov/pmc/blobs/cd56/257579/cc4ffbd78e83/iai00027-0247-a.jpg
https://cdn.ncbi.nlm.nih.gov/pmc/blobs/cd56/257579/6ee25b26ac78/iai00027-0248-a.jpg

相似文献

1
Roles of Listeria monocytogenes virulence factors in survival: virulence factors distinct from listeriolysin are needed for the organism to survive an early neutrophil-mediated host defense mechanism.单核细胞增生李斯特菌毒力因子在生存中的作用:该生物体要在早期中性粒细胞介导的宿主防御机制中存活,需要不同于溶血素的毒力因子。
Infect Immun. 1992 Mar;60(3):951-7. doi: 10.1128/iai.60.3.951-957.1992.
2
Role of Listeria monocytogenes exotoxins listeriolysin and phosphatidylinositol-specific phospholipase C in activation of human neutrophils.单核细胞增生李斯特菌外毒素溶细胞素和磷脂酰肌醇特异性磷脂酶C在人中性粒细胞激活中的作用
Infect Immun. 1999 Mar;67(3):1125-30. doi: 10.1128/IAI.67.3.1125-1130.1999.
3
Listeriolysin O is essential for virulence of Listeria monocytogenes: direct evidence obtained by gene complementation.溶血素O对单核细胞增生李斯特菌的毒力至关重要:通过基因互补获得的直接证据。
Infect Immun. 1989 Nov;57(11):3629-36. doi: 10.1128/iai.57.11.3629-3636.1989.
4
The use of listeriolysin to identify in vivo induced genes in the gram-positive intracellular pathogen Listeria monocytogenes.利用李斯特菌溶血素鉴定革兰氏阳性细胞内病原体单核细胞增生李斯特菌体内诱导基因。
Mol Microbiol. 2000 Apr;36(2):498-507. doi: 10.1046/j.1365-2958.2000.01869.x.
5
Listeria monocytogenes virulence factors that stimulate endothelial cells.刺激内皮细胞的单核细胞增生李斯特菌毒力因子。
Infect Immun. 1998 Jan;66(1):232-8. doi: 10.1128/IAI.66.1.232-238.1998.
6
Role in virulence of phospholipases, listeriolysin O and listeriolysin S from epidemic Listeria monocytogenes using the chicken embryo infection model.在鸡胚感染模型中研究流行李斯特菌的磷脂酶、溶血素 O 和溶血素 S 在毒力中的作用。
Vet Res. 2018 Feb 6;49(1):13. doi: 10.1186/s13567-017-0496-4.
7
Murine pulmonary infection with Listeria monocytogenes: differential susceptibility of BALB/c, C57BL/6 and DBA/2 mice.小鼠单核细胞增生李斯特菌肺部感染:BALB/c、C57BL/6和DBA/2小鼠的易感性差异
Microbes Infect. 2005 Apr;7(4):600-11. doi: 10.1016/j.micinf.2004.12.021. Epub 2005 Mar 16.
8
Pathogenicity and immunogenicity of Listeria monocytogenes small-plaque mutants defective for intracellular growth and cell-to-cell spread.单核细胞增生李斯特菌小噬菌斑突变体的致病性和免疫原性,这些突变体在细胞内生长和细胞间传播方面存在缺陷。
Infect Immun. 1992 Apr;60(4):1625-32. doi: 10.1128/iai.60.4.1625-1632.1992.
9
Synthesis of species-specific stress proteins by virulent strains of Listeria monocytogenes.单核细胞增生李斯特菌强毒株合成种特异性应激蛋白。
Infect Immun. 1990 Nov;58(11):3582-7. doi: 10.1128/iai.58.11.3582-3587.1990.
10
Correlation between the presence of virulence-associated genes as determined by PCR and actual virulence to mice in various strains of Listeria spp.通过聚合酶链反应(PCR)测定的毒力相关基因的存在与不同李斯特菌菌株对小鼠的实际毒力之间的相关性
Microbiol Immunol. 1995;39(5):343-9. doi: 10.1111/j.1348-0421.1995.tb02211.x.

引用本文的文献

1
as an infection model for human pathogenic bacteria.作为人类致病细菌的感染模型。
Infect Immun. 2025 Jun 10;93(6):e0012625. doi: 10.1128/iai.00126-25. Epub 2025 May 1.
2
Francisella tularensis uses cholesterol and clathrin-based endocytic mechanisms to invade hepatocytes.土拉弗朗西斯菌利用胆固醇和网格蛋白依赖的内吞机制入侵肝细胞。
Sci Rep. 2011;1:192. doi: 10.1038/srep00192. Epub 2011 Dec 14.
3
Tracking bacterial infection of macrophages using a novel red-emission pH sensor.利用新型红色发射 pH 传感器跟踪巨噬细胞中的细菌感染。

本文引用的文献

1
Cellular resistance to infection.细胞抗感染能力。
J Exp Med. 1962 Sep 1;116(3):381-406. doi: 10.1084/jem.116.3.381.
2
The relative importance of blood monocytes and fixed macrophages to the expression of cell-mediated immunity to infection.血液单核细胞和固定巨噬细胞在细胞介导的抗感染免疫表达中的相对重要性。
J Exp Med. 1970 Sep 1;132(3):521-34. doi: 10.1084/jem.132.3.521.
3
The influence of immunologically committed lymphoid cells on macrophage activity in vivo.免疫致敏淋巴细胞对体内巨噬细胞活性的影响。
Anal Bioanal Chem. 2010 Oct;398(3):1375-84. doi: 10.1007/s00216-010-4060-6. Epub 2010 Aug 19.
4
Novel lymphotoxin alpha (LTalpha) knockout mice with unperturbed tumor necrosis factor expression: reassessing LTalpha biological functions.肿瘤坏死因子表达未受干扰的新型淋巴毒素α(LTα)基因敲除小鼠:重新评估LTα的生物学功能
Mol Cell Biol. 2006 Jun;26(11):4214-25. doi: 10.1128/MCB.01751-05.
5
Expression of NADPH oxidase-dependent resistance to listeriosis in mice occurs during the first 6 to 12 hours of liver infection.小鼠中烟酰胺腺嘌呤二核苷酸磷酸(NADPH)氧化酶依赖性抗李斯特菌病的表达在肝脏感染的最初6至12小时内出现。
Infect Immun. 2002 Dec;70(12):7179-81. doi: 10.1128/IAI.70.12.7179-7181.2002.
6
Mutants of Listeria monocytogenes defective in In vitro invasion and cell-to-cell spreading still invade and proliferate in hepatocytes of neutropenic mice.在体外侵袭和细胞间传播方面存在缺陷的单核细胞增生李斯特菌突变体,在中性粒细胞减少小鼠的肝细胞中仍能侵袭并增殖。
Infect Immun. 2000 Feb;68(2):912-4. doi: 10.1128/IAI.68.2.912-914.2000.
7
Role of Listeria monocytogenes exotoxins listeriolysin and phosphatidylinositol-specific phospholipase C in activation of human neutrophils.单核细胞增生李斯特菌外毒素溶细胞素和磷脂酰肌醇特异性磷脂酶C在人中性粒细胞激活中的作用
Infect Immun. 1999 Mar;67(3):1125-30. doi: 10.1128/IAI.67.3.1125-1130.1999.
8
Critical roles of neutrophils in host defense against experimental systemic infections of mice by Listeria monocytogenes, Salmonella typhimurium, and Yersinia enterocolitica.中性粒细胞在宿主抵御小鼠由单核细胞增生李斯特菌、鼠伤寒沙门氏菌和小肠结肠炎耶尔森氏菌引起的实验性全身感染中的关键作用。
Infect Immun. 1997 Feb;65(2):630-5. doi: 10.1128/iai.65.2.630-635.1997.
9
Bacterial phospholipases C.细菌磷脂酶C
Microbiol Rev. 1993 Jun;57(2):347-66. doi: 10.1128/mr.57.2.347-366.1993.
10
Bacterium-host cell interactions at the cellular level: fluorescent labeling of bacteria and analysis of short-term bacterium-phagocyte interaction by flow cytometry.细胞水平上的细菌-宿主细胞相互作用:细菌的荧光标记及通过流式细胞术分析细菌-吞噬细胞的短期相互作用
Infect Immun. 1994 Feb;62(2):665-72. doi: 10.1128/iai.62.2.665-672.1994.
J Exp Med. 1969 May 1;129(5):973-92. doi: 10.1084/jem.129.5.973.
4
Experimental Listeria enteritis. I. An electron microscopic study of the epithelial phase in experimental listeria infection.实验性李斯特菌肠炎。I. 实验性李斯特菌感染上皮期的电子显微镜研究。
Lab Invest. 1972 Jun;26(6):694-700.
5
T cell dependence of macrophage activation and mobilization during infection with Mycobacterium tuberculosis.结核分枝杆菌感染期间巨噬细胞激活和动员的T细胞依赖性
Infect Immun. 1974 Jul;10(1):66-71. doi: 10.1128/iai.10.1.66-71.1974.
6
Electron microscopic studies in experimental keratoconjunctivitis listeriosa. I. Penetration of Listeria monocytogenes into corneal epithelial cells.实验性李斯特菌性角膜结膜炎的电子显微镜研究。I. 单核细胞增生李斯特菌侵入角膜上皮细胞的过程。
Acta Microbiol Acad Sci Hung. 1970;17(3):221-36.
7
In vitro model of penetration and intracellular growth of Listeria monocytogenes in the human enterocyte-like cell line Caco-2.单核细胞增生李斯特菌在人肠上皮样细胞系Caco-2中的穿透及细胞内生长的体外模型
Infect Immun. 1987 Nov;55(11):2822-9. doi: 10.1128/iai.55.11.2822-2829.1987.
8
Synthesis and secretion of interferon by murine fibroblasts in response to intracellular Listeria monocytogenes.小鼠成纤维细胞对细胞内单核细胞增生李斯特菌的应答中干扰素的合成与分泌
Infect Immun. 1986 Dec;54(3):787-92. doi: 10.1128/iai.54.3.787-792.1986.
9
Tn916-induced mutations in the hemolysin determinant affecting virulence of Listeria monocytogenes.Tn916诱导的溶血素决定簇突变影响单核细胞增生李斯特菌的毒力。
J Bacteriol. 1987 Mar;169(3):1291-7. doi: 10.1128/jb.169.3.1291-1297.1987.
10
Role of hemolysin for the intracellular growth of Listeria monocytogenes.溶血素在单核细胞增生李斯特菌细胞内生长中的作用。
J Exp Med. 1988 Apr 1;167(4):1459-71. doi: 10.1084/jem.167.4.1459.