• 文献检索
  • 文档翻译
  • 深度研究
  • 学术资讯
  • Suppr Zotero 插件Zotero 插件
  • 邀请有礼
  • 套餐&价格
  • 历史记录
应用&插件
Suppr Zotero 插件Zotero 插件浏览器插件Mac 客户端Windows 客户端微信小程序
定价
高级版会员购买积分包购买API积分包
服务
文献检索文档翻译深度研究API 文档MCP 服务
关于我们
关于 Suppr公司介绍联系我们用户协议隐私条款
关注我们

Suppr 超能文献

核心技术专利:CN118964589B侵权必究
粤ICP备2023148730 号-1Suppr @ 2026

文献检索

告别复杂PubMed语法,用中文像聊天一样搜索,搜遍4000万医学文献。AI智能推荐,让科研检索更轻松。

立即免费搜索

文件翻译

保留排版,准确专业,支持PDF/Word/PPT等文件格式,支持 12+语言互译。

免费翻译文档

深度研究

AI帮你快速写综述,25分钟生成高质量综述,智能提取关键信息,辅助科研写作。

立即免费体验

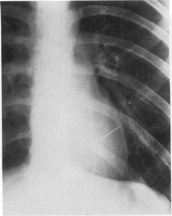
Needle injury to the heart.

作者信息

Morrison W G, Heyworth J R

机构信息

Department of Accident and Emergency Medicine, Queen Alexandra Hosptial, Portsmouth.

出版信息

Arch Emerg Med. 1992 Mar;9(1):54-7. doi: 10.1136/emj.9.1.54.

DOI:10.1136/emj.9.1.54
PMID:1567530
原文链接:https://pmc.ncbi.nlm.nih.gov/articles/PMC1285828/
Abstract
摘要
https://cdn.ncbi.nlm.nih.gov/pmc/blobs/5516/1285828/f09bfe5d5ff9/archemed00033-0075-a.jpg
https://cdn.ncbi.nlm.nih.gov/pmc/blobs/5516/1285828/a8141ba0acff/archemed00033-0074-a.jpg
https://cdn.ncbi.nlm.nih.gov/pmc/blobs/5516/1285828/1626a11aa9cf/archemed00033-0074-b.jpg
https://cdn.ncbi.nlm.nih.gov/pmc/blobs/5516/1285828/f09bfe5d5ff9/archemed00033-0075-a.jpg
https://cdn.ncbi.nlm.nih.gov/pmc/blobs/5516/1285828/a8141ba0acff/archemed00033-0074-a.jpg
https://cdn.ncbi.nlm.nih.gov/pmc/blobs/5516/1285828/1626a11aa9cf/archemed00033-0074-b.jpg
https://cdn.ncbi.nlm.nih.gov/pmc/blobs/5516/1285828/f09bfe5d5ff9/archemed00033-0075-a.jpg

相似文献

1
Needle injury to the heart.心脏针刺伤
Arch Emerg Med. 1992 Mar;9(1):54-7. doi: 10.1136/emj.9.1.54.
2
Sewing needle in the heart.心脏中的缝针。
Asian Cardiovasc Thorac Ann. 2006 Feb;14(1):63-5. doi: 10.1177/021849230601400116.
3
[Foreign bodies in the heart].[心脏中的异物]
Medicina (Kaunas). 2002;38(3):304-11.
4
Safety pin in human heart: An unusual distraction.人体内心脏中的安全别针:一种不寻常的干扰因素。
Cardiol J. 2017;24(6):708-709. doi: 10.5603/CJ.2017.0148.
5
Penetrating metallic foreign body in the inter-ventricular septum: A lucky injury after an unlucky explosion.穿透性金属异物位于室间隔:一次不幸爆炸后的幸运损伤。
Indian Heart J. 2016 May-Jun;68(3):373-4. doi: 10.1016/j.ihj.2016.04.012. Epub 2016 May 7.
6
Self-inflicted sewing needle in the heart.心脏内的自伤性缝针。
Anadolu Kardiyol Derg. 2013 Jun 7;13(4):E23. doi: 10.5152/akd.2013.130.
7
A long-kept secret in the heart.心中长久保守的秘密。
J Am Coll Cardiol. 2014 Apr 8;63(13):e27. doi: 10.1016/j.jacc.2013.11.057. Epub 2014 Feb 13.
8
An unusual case of punctiform chest pain.一例罕见的点状胸痛病例。
Eur Heart J. 2007 Sep;28(18):2187. doi: 10.1093/eurheartj/ehm069. Epub 2007 May 4.
9
Medical image. Intracardiac slug.
N Z Med J. 2009 Sep 25;122(1303):105-7.
10
[Heart gunshot wounds with retained missile. Studies on course, clinical symptoms and expert evaluation].[心脏枪伤伴子弹留存。病程、临床症状及专家评估研究]
Munch Med Wochenschr. 1972 Nov 24;114(47):2067-71.

引用本文的文献

1
Multiple self-inserted pins and nails in pericardium in a patient of schizophrenia: Case report and review.一名精神分裂症患者心包内多处自插入针和钉:病例报告及文献复习
Ind Psychiatry J. 2015 Jan-Jun;24(1):82-7. doi: 10.4103/0972-6748.160959.
2
Needle fragment embolism into the right ventricle: a rare cause of chest pain case report and literature review.针碎片栓塞入右心室:胸痛的罕见原因——病例报告及文献综述
Wien Klin Wochenschr. 2016 Mar;128(5-6):215-20. doi: 10.1007/s00508-015-0811-x. Epub 2015 Jun 25.

本文引用的文献

1
Foreign bodies in the cardiovascular system.
Br J Surg. 1950 Apr;37(148):416-45. doi: 10.1002/bjs.18003714804.
2
Needle in the heart.心脏中的针。
Br Heart J. 1981 Mar;45(3):325-7. doi: 10.1136/hrt.45.3.325.
3
[Needle in the left ventricle: report of a case with successful removal].左心室内的针:一例成功取出的病例报告
Nihon Kyobu Geka Gakkai Zasshi. 1984 Jul;32(7):1086-9.
4
Injuries of the heart and great vessels due to pins and needles.针和针头导致的心脏及大血管损伤。
Thorax. 1969 Mar;24(2):246-53. doi: 10.1136/thx.24.2.246.
5
Two-dimensional echocardiographic demonstration of multiple needles in the heart.心脏内多根针的二维超声心动图显示。
Am J Cardiol. 1985 Apr 15;55(9):1245. doi: 10.1016/0002-9149(85)90684-8.
6
Preoperative localization of an intracardiac foreign body by two-dimensional echocardiography.
Am Heart J. 1987 Jan;113(1):210-2. doi: 10.1016/0002-8703(87)90036-6.
7
Sequelae of injury to the heart caused by multiple needles.
J Am Coll Cardiol. 1986 Nov;8(5):1226-31. doi: 10.1016/s0735-1097(86)80405-3.
8
Management of asymptomatic intracardiac missiles using echocardiography.使用超声心动图管理无症状心内异物。
J Trauma. 1988 Sep;28(9):1402-3. doi: 10.1097/00005373-198809000-00019.