Morrow Eric M, Furukawa Takahisa, Raviola Elio, Cepko Constance L
Department of Genetics and Howard Hughes Medical Institute, Harvard Medical School, New Research Building, Room 360K, NRB, Room 360K, 77 Avenue Louis Pasteur, Boston, Massachusetts 02115, USA.
BMC Neurosci. 2005 Jan 27;6:5. doi: 10.1186/1471-2202-6-5.
In Leber's congenital amaurosis (LCA), affected individuals are blind, or nearly so, from birth. This early onset suggests abnormal development of the neural retina. Mutations in genes that affect the development and/or function of photoreceptor cells have been found to be responsible in some families. These examples include mutations in the photoreceptor transcription factor, Crx.
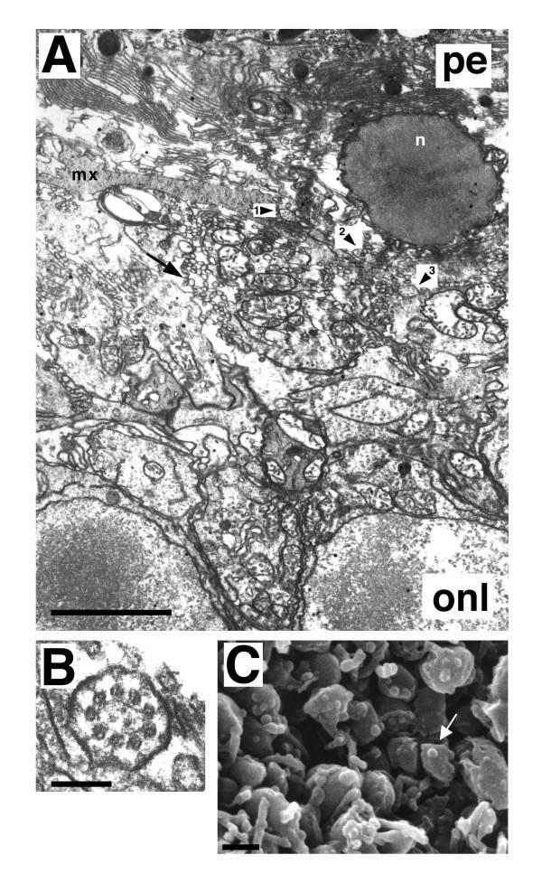
A Crx mutant strain of mice was created to serve as a model for LCA and to provide more insight into Crx's function. In this study, an ultrastructural analysis of the developing retina in Crx mutant mice was performed. Outer segment morphogenesis was found to be blocked at the elongation stage, leading to a failure in production of the phototransduction apparatus. Further, Crx-/- photoreceptors demonstrated severely abnormal synaptic endings in the outer plexiform layer.
This is the first report of a synaptogenesis defect in an animal model for LCA. These data confirm the essential role this gene plays in multiple aspects of photoreceptor development and extend our understanding of the basic pathology of LCA.
在莱伯先天性黑矇(LCA)中,患者自出生起就失明或几乎失明。这种早发性表明神经视网膜发育异常。在一些家族中,已发现影响光感受器细胞发育和/或功能的基因突变是致病原因。这些例子包括光感受器转录因子Crx的突变。
构建了Crx突变小鼠品系,作为LCA的模型,并更深入了解Crx的功能。在本研究中,对Crx突变小鼠发育中的视网膜进行了超微结构分析。发现外段形态发生在伸长阶段受阻,导致光转导装置无法产生。此外,Crx-/-光感受器在外网状层表现出严重异常的突触终末。
这是LCA动物模型中突触发生缺陷的首次报道。这些数据证实了该基因在光感受器发育的多个方面所起的重要作用,并扩展了我们对LCA基本病理学的理解。