Suppr超能文献

结直肠息肉中黏蛋白相关Tn及唾液酸基-Tn抗原的表达

Mucin associated Tn and sialosyl-Tn antigen expression in colorectal polyps.

作者信息

Itzkowitz S H, Bloom E J, Lau T S, Kim Y S

机构信息

Department of Medicine, Mount Sinai School of Medicine, New York.

出版信息

Gut. 1992 Apr;33(4):518-23. doi: 10.1136/gut.33.4.518.

Abstract

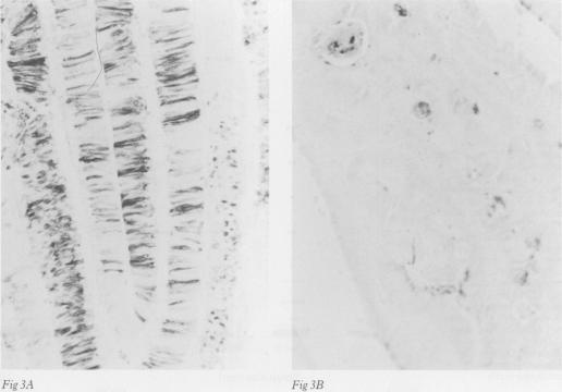
Sialosyl-Tn antigen and its immediate precursor, Tn antigen, are carbohydrate structures associated with the earliest steps of mucin O-linked glycosylation. Both antigens have been shown previously to be highly sensitive and specific markers of colorectal cancer. One hundred and three colorectal polyps (79 adenomatous; 24 hyperplastic) were examined for expression of Tn antigen using vicia villosa isolectin B4, and for sialosyl-Tn antigen by monoclonal antibody TKH2. Tn antigen was expressed by all of the polyps studied. Sialosyl-Tn, on the other hand was expressed weakly by a few cells in 7 of 24 (29%) hyperplastic polyps. Among the adenomatous polyps, 56% expressed sialosyl-Tn and expression correlated with larger adenoma size, greater villous component, and more severe grades of dysplasia. In individuals with two or more synchronous adenomas, the level of sialosyl-Tn expression within an adenoma was associated with the severity of cytological atypia. All the adenomas that contained a focus of invasive carcinoma expressed sialosyl-Tn. These results indicate that colorectal polyps manifest incomplete glycosylation, exposing antigens in the innermost region of mucin oligosaccharides. In addition, the correlation of sialosyl-Tn antigen expression with the adenoma-carcinoma sequence may make this a useful marker for studying malignant progression in the colon.

摘要

唾液酸-Tn抗原及其直接前体Tn抗原是与粘蛋白O-连接糖基化最早步骤相关的碳水化合物结构。先前已证明这两种抗原都是结直肠癌的高度敏感和特异性标志物。使用绒毛豆凝集素B4检测了103个结直肠息肉(79个腺瘤性;24个增生性)中Tn抗原的表达,并通过单克隆抗体TKH2检测了唾液酸-Tn抗原的表达。所研究的所有息肉均表达Tn抗原。另一方面,24个增生性息肉中有7个(29%)的少数细胞弱表达唾液酸-Tn。在腺瘤性息肉中,56%表达唾液酸-Tn,且表达与腺瘤更大的尺寸、更多的绒毛成分以及更严重的发育异常等级相关。在患有两个或更多同步腺瘤的个体中,腺瘤内唾液酸-Tn的表达水平与细胞学异型性的严重程度相关。所有含有浸润癌灶的腺瘤均表达唾液酸-Tn。这些结果表明,结直肠息肉表现出不完全糖基化,使粘蛋白寡糖最内层区域的抗原暴露。此外,唾液酸-Tn抗原表达与腺瘤-癌序列的相关性可能使其成为研究结肠恶性进展的有用标志物。

https://cdn.ncbi.nlm.nih.gov/pmc/blobs/87ba/1374070/456210c7442d/gut00571-0113-a.jpg

文献检索

告别复杂PubMed语法,用中文像聊天一样搜索,搜遍4000万医学文献。AI智能推荐,让科研检索更轻松。

立即免费搜索

文件翻译

保留排版,准确专业,支持PDF/Word/PPT等文件格式,支持 12+语言互译。

免费翻译文档

深度研究

AI帮你快速写综述,25分钟生成高质量综述,智能提取关键信息,辅助科研写作。

立即免费体验