Suppr超能文献

支气管肺癌肠转移的发生率、症状及转归。病例报告并文献复习。

Frequency, symptoms and outcome of intestinal metastases of bronchopulmonary cancer. Case report and review of the literature.

作者信息

Hillenbrand Andreas, Sträter Joern, Henne-Bruns Doris

机构信息

Department of Visceral and Transplantation Surgery, University of Ulm, Steinhövelstr. 9, 89075 Ulm, Germany.

出版信息

Int Semin Surg Oncol. 2005 Jun 6;2:13. doi: 10.1186/1477-7800-2-13.

Abstract

BACKGROUND

We report a new case of small bowel metastases from primary lung cancer. Such metastases are not exceptional, but their clinical manifestations are rare.

CASE PRESENTATION

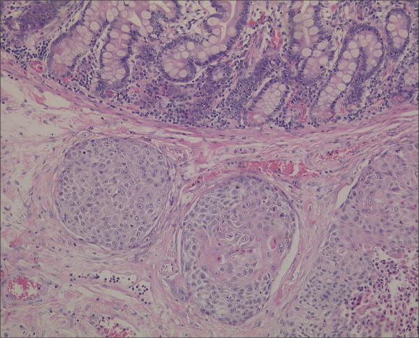
The case involved a 56-year-old man with a squamous cell carcinoma of the lung (stage IV) that had been treated with chemotherapy. He presented fourteen months after diagnosis with an acute abdominal pain. Abdominal CT-scan demonstrated a perforated jejunum and he underwent emergency surgery. Postoperative pathologic analysis confirmed the diagnosis of metastatic pulmonary carcinoma. The patient was discharged after ten days, but died 8 weeks after surgery at home on tumor progression.

CONCLUSION

We were able to find 58 documented similar cases in the literature. Most cases presented with bowel perforation or obstruction. Squamous cell carcinoma was the most common histological cell type followed by large cell carcinoma. Other metastases are often present, and the prognosis is mostly fatal at short term.

摘要

背景

我们报告一例原发性肺癌小肠转移的新病例。这种转移并不罕见,但其临床表现却很罕见。

病例介绍

该病例为一名56岁男性,患有肺鳞状细胞癌(IV期),已接受化疗。诊断后14个月,他出现急性腹痛。腹部CT扫描显示空肠穿孔,遂接受急诊手术。术后病理分析确诊为转移性肺癌。患者术后10天出院,但术后8周在家中因肿瘤进展死亡。

结论

我们在文献中找到了58例有记录的类似病例。大多数病例表现为肠穿孔或肠梗阻。鳞状细胞癌是最常见的组织学细胞类型,其次是大细胞癌。常伴有其他转移,且预后大多短期内致命。

https://cdn.ncbi.nlm.nih.gov/pmc/blobs/55a4/1180466/414ef3d25c74/1477-7800-2-13-1.jpg

文献检索

告别复杂PubMed语法,用中文像聊天一样搜索,搜遍4000万医学文献。AI智能推荐,让科研检索更轻松。

立即免费搜索

文件翻译

保留排版,准确专业,支持PDF/Word/PPT等文件格式,支持 12+语言互译。

免费翻译文档

深度研究

AI帮你快速写综述,25分钟生成高质量综述,智能提取关键信息,辅助科研写作。

立即免费体验