Suppr超能文献

以血管性水肿为表现的淋巴瘤样肉芽肿病。

Lymphomatoid granulomatosis presenting as angioedema.

作者信息

Torrelo A, Martín M, Rocamora A, Allegue F, Ledo A

机构信息

Dermatology Department, Hospital Ramón y Cajal, Madrid, Spain.

出版信息

Postgrad Med J. 1992 May;68(799):366-8. doi: 10.1136/pgmj.68.799.366.

Abstract

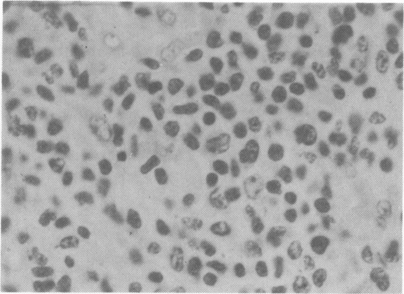
We describe a patient with severe eyelid and lip angioedema lesions in whom biopsy specimens from angioedematous labial mucosa disclosed features of lymphomatoid granulomatosis. To our knowledge, angioedema lesions with characteristic histological findings of lymphomatoid granulomatosis have not been previously described as a presenting sign of this disease.

摘要

我们描述了一名患有严重眼睑和唇部血管性水肿病变的患者,其血管性水肿的唇黏膜活检标本显示出淋巴瘤样肉芽肿病的特征。据我们所知,具有淋巴瘤样肉芽肿病特征性组织学表现的血管性水肿病变此前尚未被描述为该疾病的首发症状。

https://cdn.ncbi.nlm.nih.gov/pmc/blobs/bdb6/2399400/7012ee013c13/postmedj00065-0057-a.jpg

文献检索

告别复杂PubMed语法,用中文像聊天一样搜索,搜遍4000万医学文献。AI智能推荐,让科研检索更轻松。

立即免费搜索

文件翻译

保留排版,准确专业,支持PDF/Word/PPT等文件格式,支持 12+语言互译。

免费翻译文档

深度研究

AI帮你快速写综述,25分钟生成高质量综述,智能提取关键信息,辅助科研写作。

立即免费体验