Suppr超能文献

韩国人群中的胃肠道间质瘤:发病率及临床、病理和免疫组化特征

Gastrointestinal stromal tumors in Koreans: it's incidence and the clinical, pathologic and immunohistochemical findings.

作者信息

Kim Kyoung-Mee, Kang Dong Wook, Moon Woo Sung, Park Jae Bok, Park Cheol Keun, Sohn Jin Hee, Jeong Jin Sook, Cho Mee-Yon, Jin So-Young, Choi Jong Sang, Kang Dae Young

机构信息

Department of Pathology, The Catholic University of Korea, Seoul, Korea.

出版信息

J Korean Med Sci. 2005 Dec;20(6):977-84. doi: 10.3346/jkms.2005.20.6.977.

Abstract

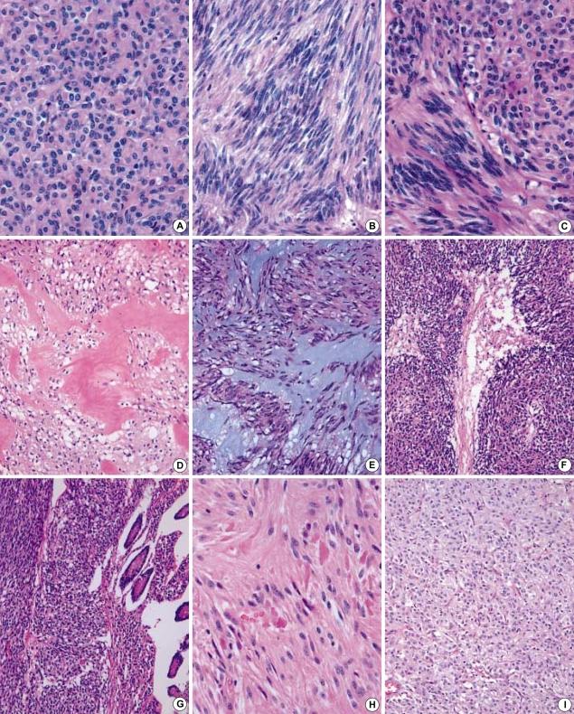
Seven hundred forty seven cases of gastrointestinal stromal tumors (GISTs) in Koreans who were diagnosed between 2001 and 2002 were analyzed to evaluate their occurrence and their clinical, pathologic and immunohistochemical findings. The most frequent location of tumor was in the stomach (63%), followed by the small intestine (30%), the colorectum (5%), and the esophagus (2%). c-kit expression was found in 93.6% of the cases, while CD34, SMA and S-100 protein was positive in 80.1%, 28.2%, and 20.2%, respectively. c-kit positivity was high in the stomach (94.2%) and small intestine (94.6%), while it was relatively low in the colorectum (85.0%), and esophagus (81.2%). The positivity for CD34 was correlated with the higher risk of GISTs (p = 0.04). Follow up of the patients showed that 58 primary GISTs patients died and 20 of these patients were recurrent or metastatic at the time of diagnosis. The pathologic diagnosis to predict the risk of aggressive behavior of GISTs was correlated with the numbers of tumor, clinical stage, epithelioid histologic type, cellularity, cellular atypia, necrosis, and mucosal invasion (p = 0.00). GISTs with a poor prognosis were closely related to the clinical stage at presentation, the locations of the tumor, and the ages of the patients.

摘要

对2001年至2002年间确诊的747例韩国胃肠道间质瘤(GIST)患者进行分析,以评估其发病情况以及临床、病理和免疫组化特征。肿瘤最常见的部位是胃(63%),其次是小肠(30%)、结直肠(5%)和食管(2%)。93.6%的病例检测到c-kit表达,而CD34、平滑肌肌动蛋白(SMA)和S-100蛋白的阳性率分别为80.1%、28.2%和20.2%。c-kit在胃(94.2%)和小肠(94.6%)中的阳性率较高,而在结直肠(85.0%)和食管(81.2%)中相对较低。CD34阳性与较高的GIST风险相关(p = 0.04)。对患者的随访显示,58例原发性GIST患者死亡,其中20例在诊断时已复发或转移。预测GIST侵袭性行为风险的病理诊断与肿瘤数量、临床分期、上皮样组织学类型、细胞密度、细胞异型性、坏死和黏膜侵犯相关(p = 0.00)。预后不良的GIST与就诊时的临床分期、肿瘤部位和患者年龄密切相关。

https://cdn.ncbi.nlm.nih.gov/pmc/blobs/1dcd/2779330/69900ceb39dd/jkms-20-977-g001.jpg

文献AI研究员

20分钟写一篇综述,助力文献阅读效率提升50倍。

立即体验

用中文搜PubMed

大模型驱动的PubMed中文搜索引擎

马上搜索

文档翻译

学术文献翻译模型,支持多种主流文档格式。

立即体验