Suppr超能文献

一名系统性红斑狼疮患者出现伴有双侧核间性眼肌麻痹的灾难性起病的纵向脊髓炎。

A catastrophic-onset longitudinal myelitis accompanied by bilateral internuclear ophthalmoplegia in a patient with systemic lupus erythematosus.

作者信息

Rheu Chang-Woo, Lee Sang-Il, Yoo Wan-Hee

机构信息

Department of Internal Medicine, Chonbuk National University Medical School, and Research Institute of Clinical Medicine, Jeonju, Korea.

出版信息

J Korean Med Sci. 2005 Dec;20(6):1085-8. doi: 10.3346/jkms.2005.20.6.1085.

Abstract

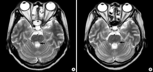
Transverse myelitis (TM) extending from midbrain to the entire spinal cord accompanied by internuclear ophthalmoplegia is extremely rare but cause serious central nervous system complications in patients with systemic lupus erythematosus. We report a case of a 28-yr-old woman with TM extending from the midbrain to the conus medullaris longitudinally and internuclear ophthalmoplegia associated with systemic lupus erythematosus. Her neurological symptoms had an abrupt catastrophic onset and rapidly progressed to respiratory failure within 24 hr. Bilateral internuclear ophthalmoplegia was also followed by TM. Brain MR images showed definite brainstem lesions, which were deeply associated with internuclear ophthalmoplegia, and diffuse signal changes in the whole spinal cord, medulla, pons and midbrain. Clinical improvement of her ophthalmoplegia and of neurological dysfunction of the upper extremities was noted after prompt and aggressive treatment with intravenous pulsed methylprednisolone and cyclophosphamide. However, the neurological dysfunction of the lower limbs and bladder and colon paralysis were almost unchanged until six months passed.

摘要

横贯性脊髓炎(TM)从脑干延伸至整个脊髓并伴有核间性眼肌麻痹极为罕见,但会在系统性红斑狼疮患者中引发严重的中枢神经系统并发症。我们报告一例28岁女性,其TM纵向从脑干延伸至脊髓圆锥,且伴有与系统性红斑狼疮相关的核间性眼肌麻痹。她的神经症状呈突发灾难性发作,并在24小时内迅速进展为呼吸衰竭。双侧核间性眼肌麻痹也先于TM出现。脑部磁共振成像显示明确的脑干病变,与核间性眼肌麻痹密切相关,以及整个脊髓、延髓、脑桥和中脑的弥漫性信号改变。在静脉注射脉冲甲基强的松龙和环磷酰胺进行迅速且积极的治疗后,她的眼肌麻痹和上肢神经功能障碍有了临床改善。然而,直到六个月过去,下肢神经功能障碍以及膀胱和结肠麻痹几乎没有变化。

https://cdn.ncbi.nlm.nih.gov/pmc/blobs/2e1c/2779317/c2ee56033d24/jkms-20-1085-g001.jpg

文献AI研究员

20分钟写一篇综述,助力文献阅读效率提升50倍。

立即体验

用中文搜PubMed

大模型驱动的PubMed中文搜索引擎

马上搜索

文档翻译

学术文献翻译模型,支持多种主流文档格式。

立即体验