Suppr超能文献

一例经腹腔镜手术治疗的气肿性胆囊炎病例。

A case of emphysematous cholecystitis managed by laparoscopic surgery.

作者信息

Bouras George, Lunca Sorinel, Vix Michel, Marescaux Jacques

机构信息

IRCAD, Louis Pasteur University, Strasbourg France.

出版信息

JSLS. 2005 Oct-Dec;9(4):478-80.

Abstract

BACKGROUND

Emphysematous cholecystitis is a rare condition caused by ischemia of the gallbladder wall with secondary gas-producing bacterial proliferation. The pathophysiology and epidemiology of this condition differ from that in gallstone-related acute cholecystitis. This report illustrates a case of emphysematous cholecystitis successfully treated by laparoscopic surgery.

METHODS

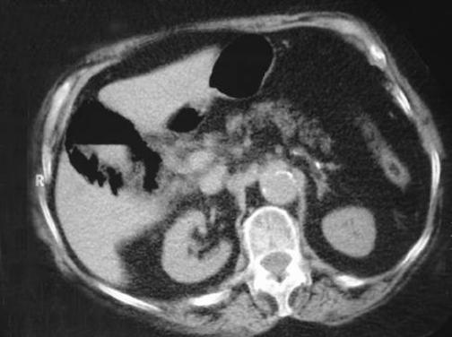
An 83-year-old female patient was admitted to the hospital with acute abdominal syndrome. Clinical examination and blood tests suggested acute cholecystitis. Plain radiography revealed a circular gas pattern in the right upper quadrant suggestive of emphysematous cholecystitis. Subsequent computed tomography confirmed the presence of gas in the gallbladder wall and a gas-fluid level within the organ.

RESULTS

Emergency laparoscopic cholecystectomy was successfully performed during which bubbling of the gallbladder wall was observed. Intraoperative cholangiography revealed no bile duct stones or biliary obstruction. The patient made an unremarkable recovery from surgery with no postoperative complications or admission to the intensive care unit. Pathological analysis revealed full-thickness infarctive necrosis of the gallbladder. Bacterial cultures grew Clostridium perfringens.

CONCLUSIONS

This case illustrates a typical case of emphysematous cholecystitis successfully treated by laparoscopic surgery. It contributes to suggestions from other reports that this condition can be safely treated by the laparoscopic approach.

摘要

背景

气肿性胆囊炎是一种罕见疾病,由胆囊壁缺血继发产气细菌增殖所致。该疾病的病理生理学和流行病学与胆石症相关的急性胆囊炎不同。本报告阐述了一例通过腹腔镜手术成功治疗的气肿性胆囊炎病例。

方法

一名83岁女性患者因急性腹部综合征入院。临床检查和血液检查提示急性胆囊炎。腹部平片显示右上腹有圆形气体影,提示气肿性胆囊炎。随后的计算机断层扫描证实胆囊壁内有气体,胆囊内有气液平面。

结果

成功实施了急诊腹腔镜胆囊切除术,术中观察到胆囊壁有气泡。术中胆管造影显示无胆管结石或胆道梗阻。患者术后恢复顺利,无术后并发症,也未入住重症监护病房。病理分析显示胆囊全层梗死性坏死。细菌培养培养出产气荚膜梭菌。

结论

本病例说明了一例通过腹腔镜手术成功治疗的典型气肿性胆囊炎病例。这支持了其他报告中的观点,即这种疾病可以通过腹腔镜方法安全治疗。

https://cdn.ncbi.nlm.nih.gov/pmc/blobs/e343/3015641/55ae4e873a4c/jsls-9-4-478-g01.jpg

文献AI研究员

20分钟写一篇综述,助力文献阅读效率提升50倍。

立即体验

用中文搜PubMed

大模型驱动的PubMed中文搜索引擎

马上搜索

文档翻译

学术文献翻译模型,支持多种主流文档格式。

立即体验