• 文献检索
  • 文档翻译
  • 深度研究
  • 学术资讯
  • Suppr Zotero 插件Zotero 插件
  • 邀请有礼
  • 套餐&价格
  • 历史记录
应用&插件
Suppr Zotero 插件Zotero 插件浏览器插件Mac 客户端Windows 客户端微信小程序
定价
高级版会员购买积分包购买API积分包
服务
文献检索文档翻译深度研究API 文档MCP 服务
关于我们
关于 Suppr公司介绍联系我们用户协议隐私条款
关注我们

Suppr 超能文献

核心技术专利:CN118964589B侵权必究
粤ICP备2023148730 号-1Suppr @ 2026

文献检索

告别复杂PubMed语法,用中文像聊天一样搜索,搜遍4000万医学文献。AI智能推荐,让科研检索更轻松。

立即免费搜索

文件翻译

保留排版,准确专业,支持PDF/Word/PPT等文件格式,支持 12+语言互译。

免费翻译文档

深度研究

AI帮你快速写综述,25分钟生成高质量综述,智能提取关键信息,辅助科研写作。

立即免费体验

睾丸精原细胞瘤——不寻常的组织学表现及分期,精原细胞瘤沿输精管进行上皮下播散。

Testicular seminoma--unusual histology and staging with sub epithelial spread of seminoma along the vas deferans.

作者信息

Lockett Chris J, Nandwani Ghulam M, Stubington Simon R

机构信息

Department of Urology, Leighton Hospital, Crewe, Cheshire, CW1 4QJ, UK.

出版信息

BMC Urol. 2006 Mar 1;6:5. doi: 10.1186/1471-2490-6-5.

DOI:10.1186/1471-2490-6-5
PMID:16509980
原文链接:https://pmc.ncbi.nlm.nih.gov/articles/PMC1403788/
Abstract

BACKGROUND

The route of local and metastatic spread of testicular seminoma is well recognised and accepted. The spread is via lymphatics to the paraaortic nodes.

CASE PRESENTATION

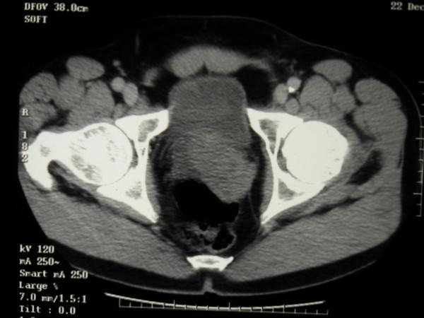
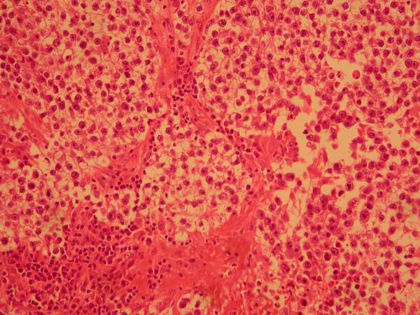
We present a case report of testicular seminoma in a 56 year old man with previously unreported histological findings. In this case seminoma tumour cells did not appear to have spread by the expected lymphatic route. There was no involvement of retro-peritoneal para-aortic lymph nodes. The tumour appeared to have spread directly along the vas deferans in the sub epithelial plane to the mesenteric lymph nodes.

CONCLUSION

This type of seminoma tumour spread has not previously been described and it is not a recognised route for metastasis by seminoma tumour. In this case the macroscopic clinical appearance was of a stage I tumour with normal tumour markers. However, the pathological stage of the tumour was surprisingly increased to stage III on the basis of histology and CT radiological findings. We present the unusual histological findings. In view of this unusual histological finding we reinforce the need for accurate staging and for resection of the spermatic cord close to the deep inguinal ring. Accurate staging is crucial in planning the treatment and follow up of seminoma and determines the prognosis.

摘要

背景

睾丸精原细胞瘤的局部及转移扩散途径已得到充分认识和认可。其扩散是通过淋巴管至腹主动脉旁淋巴结。

病例报告

我们报告一例56岁男性睾丸精原细胞瘤病例,具有此前未报道的组织学发现。在此病例中,精原细胞瘤肿瘤细胞似乎未按预期的淋巴途径扩散。腹膜后腹主动脉旁淋巴结未受累。肿瘤似乎是沿输精管在黏膜下层平面直接扩散至肠系膜淋巴结。

结论

这种类型的精原细胞瘤肿瘤扩散此前未被描述过,也不是精原细胞瘤公认的转移途径。在此病例中宏观临床表现为肿瘤标志物正常的I期肿瘤。然而,基于组织学和CT影像学检查结果,肿瘤的病理分期出人意料地升至III期。我们展示了这些不寻常的组织学发现。鉴于这一不寻常的组织学发现,我们强调准确分期以及在靠近腹股沟深环处切除精索的必要性。准确分期对于精原细胞瘤的治疗规划和随访至关重要,并决定预后。

https://cdn.ncbi.nlm.nih.gov/pmc/blobs/feca/1403788/bf76d56d4283/1471-2490-6-5-6.jpg
https://cdn.ncbi.nlm.nih.gov/pmc/blobs/feca/1403788/e464517e155a/1471-2490-6-5-1.jpg
https://cdn.ncbi.nlm.nih.gov/pmc/blobs/feca/1403788/ff18c52ede46/1471-2490-6-5-2.jpg
https://cdn.ncbi.nlm.nih.gov/pmc/blobs/feca/1403788/1fe83e96880a/1471-2490-6-5-3.jpg
https://cdn.ncbi.nlm.nih.gov/pmc/blobs/feca/1403788/636b11e982d6/1471-2490-6-5-4.jpg
https://cdn.ncbi.nlm.nih.gov/pmc/blobs/feca/1403788/1c7910983f11/1471-2490-6-5-5.jpg
https://cdn.ncbi.nlm.nih.gov/pmc/blobs/feca/1403788/bf76d56d4283/1471-2490-6-5-6.jpg
https://cdn.ncbi.nlm.nih.gov/pmc/blobs/feca/1403788/e464517e155a/1471-2490-6-5-1.jpg
https://cdn.ncbi.nlm.nih.gov/pmc/blobs/feca/1403788/ff18c52ede46/1471-2490-6-5-2.jpg
https://cdn.ncbi.nlm.nih.gov/pmc/blobs/feca/1403788/1fe83e96880a/1471-2490-6-5-3.jpg
https://cdn.ncbi.nlm.nih.gov/pmc/blobs/feca/1403788/636b11e982d6/1471-2490-6-5-4.jpg
https://cdn.ncbi.nlm.nih.gov/pmc/blobs/feca/1403788/1c7910983f11/1471-2490-6-5-5.jpg
https://cdn.ncbi.nlm.nih.gov/pmc/blobs/feca/1403788/bf76d56d4283/1471-2490-6-5-6.jpg

相似文献

1
Testicular seminoma--unusual histology and staging with sub epithelial spread of seminoma along the vas deferans.睾丸精原细胞瘤——不寻常的组织学表现及分期,精原细胞瘤沿输精管进行上皮下播散。
BMC Urol. 2006 Mar 1;6:5. doi: 10.1186/1471-2490-6-5.
2
[Two cases of giant testicular tumor with widespread extension to the spermatic cord: usefulness of upfront chemotherapy].两例巨大睾丸肿瘤广泛累及精索: upfront化疗的作用
Hinyokika Kiyo. 1999 Mar;45(3):191-4.
3
Testicular seminoma with pagetoid spread into the vas deferens: A rare histopathological presentation.睾丸精原细胞瘤伴派杰样扩散至输精管:一种罕见的组织病理学表现。
Andrologia. 2021 Jul;53(6):e14061. doi: 10.1111/and.14061. Epub 2021 Apr 1.
4
[Comparison of prognosis between inguinal cryptorchic seminoma and scrotal seminoma].[腹股沟隐睾精原细胞瘤与阴囊精原细胞瘤预后的比较]
Zhonghua Zhong Liu Za Zhi. 1998 Jan;20(1):74-5.
5
Predicting metastasized seminoma using gene expression.基于基因表达预测转移性精原细胞瘤。
BJU Int. 2012 Jul;110(2 Pt 2):E14-20. doi: 10.1111/j.1464-410X.2011.10778.x. Epub 2012 Jan 13.
6
Thyroid as a target of metastases: a case of metastatic seminoma in a patient who died of a second cancer.甲状腺作为转移瘤的靶器官:一例死于第二种癌症的转移性精原细胞瘤患者
Tumori. 2009 Jan-Feb;95(1):91-3. doi: 10.1177/030089160909500115.
7
[Spermatocytic seminoma. Apropos of 4 cases].[精母细胞性精原细胞瘤。附4例报告]
Bull Cancer. 1997 Feb;84(2):212-4.
8
Mediastinal lymph node metastasis 38 months after surveillance for stage I seminoma: a case report.I期精原细胞瘤监测38个月后发生纵隔淋巴结转移:1例报告
Hinyokika Kiyo. 1994 Nov;40(11):1021-5.
9
[Seminoma metastasis in the small bowel].
Ugeskr Laeger. 2013 Mar 4;175(10):659-60.
10
Giant testicular seminoma.巨大睾丸精原细胞瘤。
Urology. 2012 Oct;80(4):e35-6. doi: 10.1016/j.urology.2012.06.031. Epub 2012 Aug 15.

引用本文的文献

1
Inguinal lymphnode metastatic testicular seminoma: a case report and review of literature.腹股沟淋巴结转移性腺癌:一例病例报告及文献综述
Indian J Surg Oncol. 2012 Mar;3(1):38-40. doi: 10.1007/s13193-011-0116-0. Epub 2011 Dec 23.
2
Inguinal lymph node metastases from a testicular seminoma: a case report and a review of the literature.睾丸精原细胞瘤腹股沟淋巴结转移:一例报告并文献复习
J Med Case Rep. 2010 Nov 25;4:378. doi: 10.1186/1752-1947-4-378.

本文引用的文献

1
The management and survival of patients with advanced germ-cell tumours: improving outcome in intermediate and poor prognosis patients.晚期生殖细胞肿瘤患者的管理与生存:改善中、低预后患者的结局
Clin Oncol (R Coll Radiol). 2004 Feb;16(1):40-7. doi: 10.1016/s0936-6555(03)00166-3.
2
Difference in stage and morphology-adjusted survival between young and elderly patients with a testicular germ cell tumor.睾丸生殖细胞肿瘤年轻与老年患者在分期及形态学调整生存率方面的差异。
Urology. 2002 Nov;60(5):889-93. doi: 10.1016/s0090-4295(02)01886-1.
3
Primary lymphatic metastatic spread in testicular cancer occurs ventral to the lumbar vessels.
睾丸癌的原发性淋巴转移发生在腰血管腹侧。
Urology. 2002 Jan;59(1):114-8. doi: 10.1016/s0090-4295(01)01456-x.
4
The microvasculature of the rat vas deferens: a scanning electron and light microscopic study.大鼠输精管的微血管系统:扫描电子显微镜与光学显微镜研究
J Anat. 1982 Oct;135(Pt 3):521-9.