• 文献检索
  • 文档翻译
  • 深度研究
  • 学术资讯
  • Suppr Zotero 插件Zotero 插件
  • 邀请有礼
  • 套餐&价格
  • 历史记录
应用&插件
Suppr Zotero 插件Zotero 插件浏览器插件Mac 客户端Windows 客户端微信小程序
定价
高级版会员购买积分包购买API积分包
服务
文献检索文档翻译深度研究API 文档MCP 服务
关于我们
关于 Suppr公司介绍联系我们用户协议隐私条款
关注我们

Suppr 超能文献

核心技术专利:CN118964589B侵权必究
粤ICP备2023148730 号-1Suppr @ 2026

文献检索

告别复杂PubMed语法,用中文像聊天一样搜索,搜遍4000万医学文献。AI智能推荐,让科研检索更轻松。

立即免费搜索

文件翻译

保留排版,准确专业,支持PDF/Word/PPT等文件格式,支持 12+语言互译。

免费翻译文档

深度研究

AI帮你快速写综述,25分钟生成高质量综述,智能提取关键信息,辅助科研写作。

立即免费体验

抑制N-糖基化或寡糖加工对血管活性肠肽受体结合活性及结构的影响。

Effect of inhibiting N-glycosylation or oligosaccharide processing on vasoactive intestinal peptide receptor binding activity and structure.

作者信息

el Battari A, Forget P, Fouchier F, Pic P

机构信息

CNRS URA 202, Université d'Aix-Marseille, France.

出版信息

Biochem J. 1991 Sep 1;278 ( Pt 2)(Pt 2):527-33. doi: 10.1042/bj2780527.

DOI:10.1042/bj2780527
PMID:1654885
原文链接:https://pmc.ncbi.nlm.nih.gov/articles/PMC1151377/
Abstract

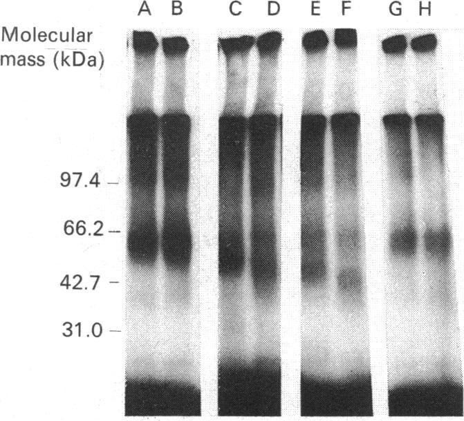
We used inhibitors of four steps of the glycosylation pathway to examine the contribution of carbohydrate moieties to the ligand-binding activity, cell-surface expression and apparent molecular mass of the human vasoactive intestinal peptide (VIP) receptor. Human melanoma IGR 39 cells, incubated for 60 h with the inhibitors tunicamycin, castanospermine, swainsonine or deoxymannojirimycin, under conditions where cell viability and protein synthesis were not affected, expressed VIP receptor species with different VIP-binding properties. The most pronounced effects on VIP binding were obtained with tunicamycin and deoxymannojirimycin, which respectively caused 80% and 67% inhibition. Treatment with either swainsonine or castanospermine resulted in only a 25-32% decrease in VIP specific binding. Based on Scatchard analyses of data from competition experiments, the decrease in VIP-binding activity in either swainsonine- or deoxymannojirimycin-treated cells was due to a decrease in ligand affinity; the cell-surface number of VIP-binding sites remained unchanged. In contrast, tunicamycin and castanospermine caused decreases in the cell-surface number of functional VIP receptors without affecting affinity. Besides, the drug-treated cells produced VIP-binding proteins with different molecular masses and endoglycosidase H (Endo H) sensitivities. When compared with their counterpart synthesized in control cells, VIP-binding proteins produced by deoxymannojirimycin- or swainsonine-treated cells were smaller in size and exhibited the expected sensitivity to Endo H. No modification in the apparent molecular mass was observed in the presence of either castanospermine or tunicamycin. In addition, after Endo F digestion, all of the deglycosylated proteins migrated with the same electrophoretic mobility. Finally, processing in the presence of castanospermine led to an Endo H-resistant receptor species which showed an unexpected neuraminidase-sensitivity, indicating that, as in control cells, these receptors carry V-linked oligosaccharides with terminal sialic acid residues.

摘要

我们使用糖基化途径四个步骤的抑制剂,来研究碳水化合物部分对人血管活性肠肽(VIP)受体的配体结合活性、细胞表面表达及表观分子量的影响。在细胞活力和蛋白质合成不受影响的条件下,用抑制剂衣霉素、栗精胺、苦马豆素或脱氧甘露基野黾草素处理人黑色素瘤IGR 39细胞60小时,这些细胞表达出具有不同VIP结合特性的VIP受体种类。衣霉素和脱氧甘露基野黾草素对VIP结合的影响最为显著,分别导致80%和67%的抑制。用苦马豆素或栗精胺处理仅使VIP特异性结合降低25 - 32%。基于竞争实验数据的Scatchard分析,苦马豆素或脱氧甘露基野黾草素处理的细胞中VIP结合活性的降低是由于配体亲和力下降;VIP结合位点的细胞表面数量保持不变。相反,衣霉素和栗精胺导致功能性VIP受体的细胞表面数量减少,而不影响亲和力。此外,药物处理的细胞产生了具有不同分子量和内切糖苷酶H(Endo H)敏感性的VIP结合蛋白。与在对照细胞中合成的对应物相比,脱氧甘露基野黾草素或苦马豆素处理的细胞产生的VIP结合蛋白尺寸更小,并表现出对Endo H的预期敏感性。在栗精胺或衣霉素存在的情况下,未观察到表观分子量的改变。此外,经Endo F消化后,所有去糖基化蛋白以相同的电泳迁移率迁移。最后,在栗精胺存在下进行加工导致产生一种对Endo H有抗性的受体种类,该种类显示出意外的神经氨酸酶敏感性,表明与对照细胞一样,这些受体携带带有末端唾液酸残基的V - 连接寡糖。

https://cdn.ncbi.nlm.nih.gov/pmc/blobs/00d1/1151377/3d5267761795/biochemj00152-0211-a.jpg
https://cdn.ncbi.nlm.nih.gov/pmc/blobs/00d1/1151377/09cf1289d978/biochemj00152-0208-a.jpg
https://cdn.ncbi.nlm.nih.gov/pmc/blobs/00d1/1151377/2e1ea37cc1f4/biochemj00152-0209-a.jpg
https://cdn.ncbi.nlm.nih.gov/pmc/blobs/00d1/1151377/a0ba3a8ee656/biochemj00152-0210-a.jpg
https://cdn.ncbi.nlm.nih.gov/pmc/blobs/00d1/1151377/f6a4106c3973/biochemj00152-0210-b.jpg
https://cdn.ncbi.nlm.nih.gov/pmc/blobs/00d1/1151377/6effe89c948b/biochemj00152-0210-c.jpg
https://cdn.ncbi.nlm.nih.gov/pmc/blobs/00d1/1151377/3d5267761795/biochemj00152-0211-a.jpg
https://cdn.ncbi.nlm.nih.gov/pmc/blobs/00d1/1151377/09cf1289d978/biochemj00152-0208-a.jpg
https://cdn.ncbi.nlm.nih.gov/pmc/blobs/00d1/1151377/2e1ea37cc1f4/biochemj00152-0209-a.jpg
https://cdn.ncbi.nlm.nih.gov/pmc/blobs/00d1/1151377/a0ba3a8ee656/biochemj00152-0210-a.jpg
https://cdn.ncbi.nlm.nih.gov/pmc/blobs/00d1/1151377/f6a4106c3973/biochemj00152-0210-b.jpg
https://cdn.ncbi.nlm.nih.gov/pmc/blobs/00d1/1151377/6effe89c948b/biochemj00152-0210-c.jpg
https://cdn.ncbi.nlm.nih.gov/pmc/blobs/00d1/1151377/3d5267761795/biochemj00152-0211-a.jpg

相似文献

1
Effect of inhibiting N-glycosylation or oligosaccharide processing on vasoactive intestinal peptide receptor binding activity and structure.抑制N-糖基化或寡糖加工对血管活性肠肽受体结合活性及结构的影响。
Biochem J. 1991 Sep 1;278 ( Pt 2)(Pt 2):527-33. doi: 10.1042/bj2780527.
2
Effect of glycosylation inhibitors on the structure and function of the murine transferrin receptor.糖基化抑制剂对小鼠转铁蛋白受体结构和功能的影响。
Eur J Biochem. 1989 Dec 22;186(3):637-47. doi: 10.1111/j.1432-1033.1989.tb15254.x.
3
Secretion of rat hepatic lipase is blocked by inhibition of oligosaccharide processing at the stage of glucosidase I.
J Lipid Res. 1990 Oct;31(10):1883-93.
4
Role of oligosaccharides in the processing and maturation of envelope glycoproteins of human immunodeficiency virus type 1.低聚糖在1型人类免疫缺陷病毒包膜糖蛋白加工和成熟过程中的作用
Proc Natl Acad Sci U S A. 1989 May;86(9):3384-8. doi: 10.1073/pnas.86.9.3384.
5
Biosynthetic and structural studies on Thy-1 in a rat neuronal tumor cell line.
Arch Biochem Biophys. 1993 Jun;303(2):238-45. doi: 10.1006/abbi.1993.1278.
6
Effects of inhibitors of oligosaccharide processing on P0 protein synthesis and incorporation into PNS myelin.寡糖加工抑制剂对P0蛋白合成及整合到周围神经髓鞘中的影响。
J Neurochem. 1991 Aug;57(2):655-64. doi: 10.1111/j.1471-4159.1991.tb03797.x.
7
Glycosylation, activity and secretion of lipoprotein lipase in cultured brown adipocytes of newborn mice. Effect of tunicamycin, monensin, 1-deoxymannojirimycin and swainsonine.新生小鼠培养棕色脂肪细胞中脂蛋白脂肪酶的糖基化、活性及分泌。衣霉素、莫能菌素、1-脱氧甘露基野霉素和苦马豆素的作用
Biochem J. 1991 Aug 1;277 ( Pt 3)(Pt 3):801-9. doi: 10.1042/bj2770801.
8
Structural and functional analysis of the human vasoactive intestinal peptide receptor glycosylation. Alteration of receptor function by wheat germ agglutinin.人血管活性肠肽受体糖基化的结构与功能分析。麦胚凝集素对受体功能的改变。
J Biol Chem. 1993 Feb 5;268(4):2312-8.
9
Inhibitors of the biosynthesis and processing of N-linked oligosaccharides.N-连接寡糖生物合成与加工的抑制剂。
CRC Crit Rev Biochem. 1984;16(1):21-49. doi: 10.3109/10409238409102805.
10
Effects of tunicamycin and N-linked oligosaccharide-processing inhibitors on the morphology of cultured porcine thyroid cells.衣霉素和N-连接寡糖加工抑制剂对培养的猪甲状腺细胞形态的影响。
Eur J Cell Biol. 1989 Feb;48(1):128-34.

引用本文的文献

1
Asn54-linked glycan is critical for functional folding of intercellular adhesion molecule-5.Asn54 连接的聚糖对于细胞间黏附分子-5 的功能折叠至关重要。
Glycoconj J. 2012 Jan;29(1):47-55. doi: 10.1007/s10719-011-9363-0. Epub 2011 Dec 21.
2
Analysis of the role of N-glycosylation in cell-surface expression and binding properties of angiotensin II type-2 receptor of rat pheochromocytoma cells.N-糖基化在大鼠嗜铬细胞瘤细胞血管紧张素II 2型受体的细胞表面表达及结合特性中的作用分析
Biochem J. 1996 Jan 1;313 ( Pt 1)(Pt 1):297-304. doi: 10.1042/bj3130297.
3
Significance of the carbohydrate moiety of the rat ovarian luteinizing-hormone/chorionic-gonadotropin receptor for ligand-binding specificity and signal transduction.

本文引用的文献

1
Tumorigenicity of human malignant melanocytes in nude mice in relation to their differentiation in vitro.人恶性黑素细胞在裸鼠体内的致瘤性与其体外分化的关系
J Natl Cancer Inst. 1980 May;64(5):1029-40.
2
Effect of tunicamycin, an inhibitor of protein glycosylation, on the biological properties of acetylcholine receptor in cultured muscle cells.蛋白质糖基化抑制剂衣霉素对培养肌细胞中乙酰胆碱受体生物学特性的影响。
J Biol Chem. 1983 Feb 10;258(3):1775-80.
3
Castanospermine inhibits the processing of the oligosaccharide portion of the influenza viral hemagglutinin.
大鼠卵巢促黄体生成素/绒毛膜促性腺激素受体的碳水化合物部分对配体结合特异性和信号转导的意义。
Biochem J. 1993 Jun 15;292 ( Pt 3)(Pt 3):839-44. doi: 10.1042/bj2920839.
栗精胺抑制流感病毒血凝素寡糖部分的加工过程。
Biochemistry. 1983 Aug 2;22(16):3975-84. doi: 10.1021/bi00285a038.
4
Swainsonine causes the production of hybrid glycoproteins by human skin fibroblasts and rat liver Golgi preparations.苦马豆素可使人皮肤成纤维细胞和大鼠肝脏高尔基体制剂产生杂合糖蛋白。
J Biol Chem. 1983 Jun 25;258(12):7578-85.
5
Inhibition of N-linked oligosaccharide trimming does not interfere with surface expression of certain integral membrane proteins.抑制N-连接寡糖修剪不会干扰某些整合膜蛋白的表面表达。
EMBO J. 1984 Mar;3(3):551-6. doi: 10.1002/j.1460-2075.1984.tb01845.x.
6
Novel mannosidase inhibitor blocking conversion of high mannose to complex oligosaccharides.新型甘露糖苷酶抑制剂可阻断高甘露糖向复合寡糖的转化。
Nature. 1984;307(5953):755-8. doi: 10.1038/307755a0.
7
Inhibition of N-linked complex oligosaccharide formation by 1-deoxynojirimycin, an inhibitor of processing glucosidases.
J Biol Chem. 1982 Dec 10;257(23):14155-61.
8
Vasoactive intestinal polypeptide (VIP): current status.血管活性肠肽(VIP):现状
Peptides. 1984 Mar-Apr;5(2):143-50. doi: 10.1016/0196-9781(84)90197-9.
9
Cleavage of structural proteins during the assembly of the head of bacteriophage T4.在噬菌体T4头部组装过程中结构蛋白的切割
Nature. 1970 Aug 15;227(5259):680-5. doi: 10.1038/227680a0.
10
The effect of castanospermine on the oligosaccharide structures of glycoproteins from lymphoma cell lines.栗精胺对淋巴瘤细胞系糖蛋白寡糖结构的影响。
Biochem J. 1985 May 1;227(3):795-804. doi: 10.1042/bj2270795.