• 文献检索
  • 文档翻译
  • 深度研究
  • 学术资讯
  • Suppr Zotero 插件Zotero 插件
  • 邀请有礼
  • 套餐&价格
  • 历史记录
应用&插件
Suppr Zotero 插件Zotero 插件浏览器插件Mac 客户端Windows 客户端微信小程序
定价
高级版会员购买积分包购买API积分包
服务
文献检索文档翻译深度研究API 文档MCP 服务
关于我们
关于 Suppr公司介绍联系我们用户协议隐私条款
关注我们

Suppr 超能文献

核心技术专利:CN118964589B侵权必究
粤ICP备2023148730 号-1Suppr @ 2026

文献检索

告别复杂PubMed语法,用中文像聊天一样搜索,搜遍4000万医学文献。AI智能推荐,让科研检索更轻松。

立即免费搜索

文件翻译

保留排版,准确专业,支持PDF/Word/PPT等文件格式,支持 12+语言互译。

免费翻译文档

深度研究

AI帮你快速写综述,25分钟生成高质量综述,智能提取关键信息,辅助科研写作。

立即免费体验

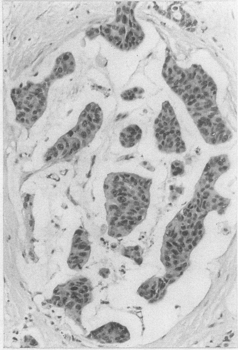
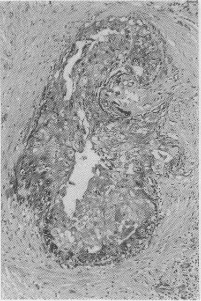
Pathology reporting in breast cancer screening. Royal College of Pathologists Working Group.

出版信息

J Clin Pathol. 1991 Sep;44(9):710-25. doi: 10.1136/jcp.44.9.710.

DOI:10.1136/jcp.44.9.710
PMID:1655830
原文链接:https://pmc.ncbi.nlm.nih.gov/articles/PMC496716/
Abstract
摘要
https://cdn.ncbi.nlm.nih.gov/pmc/blobs/eb88/496716/87b2ebf119e1/jclinpath00411-0020-a.jpg
https://cdn.ncbi.nlm.nih.gov/pmc/blobs/eb88/496716/53978a262e5d/jclinpath00411-0007-a.jpg
https://cdn.ncbi.nlm.nih.gov/pmc/blobs/eb88/496716/78265874420f/jclinpath00411-0007-b.jpg
https://cdn.ncbi.nlm.nih.gov/pmc/blobs/eb88/496716/ef4ff06c47c3/jclinpath00411-0007-c.jpg
https://cdn.ncbi.nlm.nih.gov/pmc/blobs/eb88/496716/15aa62a2b3f2/jclinpath00411-0009-a.jpg
https://cdn.ncbi.nlm.nih.gov/pmc/blobs/eb88/496716/4a3a155c8d3a/jclinpath00411-0010-a.jpg
https://cdn.ncbi.nlm.nih.gov/pmc/blobs/eb88/496716/46f24b4726cc/jclinpath00411-0010-b.jpg
https://cdn.ncbi.nlm.nih.gov/pmc/blobs/eb88/496716/003edcb58fcf/jclinpath00411-0011-a.jpg
https://cdn.ncbi.nlm.nih.gov/pmc/blobs/eb88/496716/c2cb4c172703/jclinpath00411-0011-b.jpg
https://cdn.ncbi.nlm.nih.gov/pmc/blobs/eb88/496716/034abca60448/jclinpath00411-0012-a.jpg
https://cdn.ncbi.nlm.nih.gov/pmc/blobs/eb88/496716/19a7da147611/jclinpath00411-0012-b.jpg
https://cdn.ncbi.nlm.nih.gov/pmc/blobs/eb88/496716/dacb95892876/jclinpath00411-0013-a.jpg
https://cdn.ncbi.nlm.nih.gov/pmc/blobs/eb88/496716/1d76a8b65510/jclinpath00411-0013-b.jpg
https://cdn.ncbi.nlm.nih.gov/pmc/blobs/eb88/496716/a89684c0b2cb/jclinpath00411-0014-a.jpg
https://cdn.ncbi.nlm.nih.gov/pmc/blobs/eb88/496716/91fbb4c0f777/jclinpath00411-0014-b.jpg
https://cdn.ncbi.nlm.nih.gov/pmc/blobs/eb88/496716/02132f1ff73b/jclinpath00411-0015-a.jpg
https://cdn.ncbi.nlm.nih.gov/pmc/blobs/eb88/496716/6f9a5da85fd7/jclinpath00411-0015-b.jpg
https://cdn.ncbi.nlm.nih.gov/pmc/blobs/eb88/496716/7a942317602d/jclinpath00411-0016-a.jpg
https://cdn.ncbi.nlm.nih.gov/pmc/blobs/eb88/496716/abf8eb447d54/jclinpath00411-0016-b.jpg
https://cdn.ncbi.nlm.nih.gov/pmc/blobs/eb88/496716/64e6ed49e3b4/jclinpath00411-0017-a.jpg
https://cdn.ncbi.nlm.nih.gov/pmc/blobs/eb88/496716/9b6597a2354e/jclinpath00411-0017-b.jpg
https://cdn.ncbi.nlm.nih.gov/pmc/blobs/eb88/496716/d2d681a5f63d/jclinpath00411-0017-c.jpg
https://cdn.ncbi.nlm.nih.gov/pmc/blobs/eb88/496716/2a652657b81d/jclinpath00411-0017-d.jpg
https://cdn.ncbi.nlm.nih.gov/pmc/blobs/eb88/496716/1a7b5c41f6af/jclinpath00411-0018-a.jpg
https://cdn.ncbi.nlm.nih.gov/pmc/blobs/eb88/496716/e157bdb09c5b/jclinpath00411-0018-b.jpg
https://cdn.ncbi.nlm.nih.gov/pmc/blobs/eb88/496716/ada47f69cb65/jclinpath00411-0018-c.jpg
https://cdn.ncbi.nlm.nih.gov/pmc/blobs/eb88/496716/d48330bf84ba/jclinpath00411-0018-d.jpg
https://cdn.ncbi.nlm.nih.gov/pmc/blobs/eb88/496716/fb3eb5d458d8/jclinpath00411-0019-a.jpg
https://cdn.ncbi.nlm.nih.gov/pmc/blobs/eb88/496716/87b2ebf119e1/jclinpath00411-0020-a.jpg
https://cdn.ncbi.nlm.nih.gov/pmc/blobs/eb88/496716/53978a262e5d/jclinpath00411-0007-a.jpg
https://cdn.ncbi.nlm.nih.gov/pmc/blobs/eb88/496716/78265874420f/jclinpath00411-0007-b.jpg
https://cdn.ncbi.nlm.nih.gov/pmc/blobs/eb88/496716/ef4ff06c47c3/jclinpath00411-0007-c.jpg
https://cdn.ncbi.nlm.nih.gov/pmc/blobs/eb88/496716/15aa62a2b3f2/jclinpath00411-0009-a.jpg
https://cdn.ncbi.nlm.nih.gov/pmc/blobs/eb88/496716/4a3a155c8d3a/jclinpath00411-0010-a.jpg
https://cdn.ncbi.nlm.nih.gov/pmc/blobs/eb88/496716/46f24b4726cc/jclinpath00411-0010-b.jpg
https://cdn.ncbi.nlm.nih.gov/pmc/blobs/eb88/496716/003edcb58fcf/jclinpath00411-0011-a.jpg
https://cdn.ncbi.nlm.nih.gov/pmc/blobs/eb88/496716/c2cb4c172703/jclinpath00411-0011-b.jpg
https://cdn.ncbi.nlm.nih.gov/pmc/blobs/eb88/496716/034abca60448/jclinpath00411-0012-a.jpg
https://cdn.ncbi.nlm.nih.gov/pmc/blobs/eb88/496716/19a7da147611/jclinpath00411-0012-b.jpg
https://cdn.ncbi.nlm.nih.gov/pmc/blobs/eb88/496716/dacb95892876/jclinpath00411-0013-a.jpg
https://cdn.ncbi.nlm.nih.gov/pmc/blobs/eb88/496716/1d76a8b65510/jclinpath00411-0013-b.jpg
https://cdn.ncbi.nlm.nih.gov/pmc/blobs/eb88/496716/a89684c0b2cb/jclinpath00411-0014-a.jpg
https://cdn.ncbi.nlm.nih.gov/pmc/blobs/eb88/496716/91fbb4c0f777/jclinpath00411-0014-b.jpg
https://cdn.ncbi.nlm.nih.gov/pmc/blobs/eb88/496716/02132f1ff73b/jclinpath00411-0015-a.jpg
https://cdn.ncbi.nlm.nih.gov/pmc/blobs/eb88/496716/6f9a5da85fd7/jclinpath00411-0015-b.jpg
https://cdn.ncbi.nlm.nih.gov/pmc/blobs/eb88/496716/7a942317602d/jclinpath00411-0016-a.jpg
https://cdn.ncbi.nlm.nih.gov/pmc/blobs/eb88/496716/abf8eb447d54/jclinpath00411-0016-b.jpg
https://cdn.ncbi.nlm.nih.gov/pmc/blobs/eb88/496716/64e6ed49e3b4/jclinpath00411-0017-a.jpg
https://cdn.ncbi.nlm.nih.gov/pmc/blobs/eb88/496716/9b6597a2354e/jclinpath00411-0017-b.jpg
https://cdn.ncbi.nlm.nih.gov/pmc/blobs/eb88/496716/d2d681a5f63d/jclinpath00411-0017-c.jpg
https://cdn.ncbi.nlm.nih.gov/pmc/blobs/eb88/496716/2a652657b81d/jclinpath00411-0017-d.jpg
https://cdn.ncbi.nlm.nih.gov/pmc/blobs/eb88/496716/1a7b5c41f6af/jclinpath00411-0018-a.jpg
https://cdn.ncbi.nlm.nih.gov/pmc/blobs/eb88/496716/e157bdb09c5b/jclinpath00411-0018-b.jpg
https://cdn.ncbi.nlm.nih.gov/pmc/blobs/eb88/496716/ada47f69cb65/jclinpath00411-0018-c.jpg
https://cdn.ncbi.nlm.nih.gov/pmc/blobs/eb88/496716/d48330bf84ba/jclinpath00411-0018-d.jpg
https://cdn.ncbi.nlm.nih.gov/pmc/blobs/eb88/496716/fb3eb5d458d8/jclinpath00411-0019-a.jpg
https://cdn.ncbi.nlm.nih.gov/pmc/blobs/eb88/496716/87b2ebf119e1/jclinpath00411-0020-a.jpg

相似文献

1
Pathology reporting in breast cancer screening. Royal College of Pathologists Working Group.乳腺癌筛查中的病理报告。皇家病理学家学会工作组。
J Clin Pathol. 1991 Sep;44(9):710-25. doi: 10.1136/jcp.44.9.710.
2
[Clinico-morphological parallels in different histological variants of breast cancer].[乳腺癌不同组织学变体中的临床形态学相似性]
Khirurgiia (Mosk). 1983 Nov(11):48-52.
3
Ultrastructure of the human breast and its disorders.人类乳腺的超微结构及其疾病
Am J Clin Pathol. 1976 Aug;66(2):291-375. doi: 10.1093/ajcp/66.2.291.
4
The concept and implications of multicentricity in breast carcinoma.
Pathol Annu. 1981;16(Pt 2):83-102.
5
Histological typing of breast tumors.乳腺肿瘤的组织学分型
Tumori. 1982 Jun 30;68(3):181-98. doi: 10.1177/030089168206800301.
6
[Surgical strategy in carcinoma of the breast in relation to the TNM].[与TNM相关的乳腺癌手术策略]
Minerva Chir. 1988 Sep 30;43(18 Suppl):13-5.
7
Rarities in breast pathology. Bilateral Paget's disease of the breast--a case report.乳腺病理学中的罕见病例。双侧乳腺佩吉特病——一例报告。
Eur J Surg Oncol. 1990 Apr;16(2):172-4.
8
Paget's disease of the breast.乳腺佩吉特病
Nihon Geka Hokan. 1974 Sep 1;43(5):390-4.
9
Bilateral Paget's disease of the nipple.双侧乳头佩吉特病
J Indian Med Assoc. 1983 Jan 16;80(2):27-8.
10
Mammary Paget's disease without underlying carcinoma.
Am J Dermatopathol. 1985 Aug;7(4):361-5. doi: 10.1097/00000372-198508000-00009.

引用本文的文献

1
Microinvasive Carcinoma versus Ductal Carcinoma : A Comparison of Clinicopathological Features and Clinical Outcomes.微浸润癌与导管癌:临床病理特征及临床结局比较
J Breast Cancer. 2018 Jun;21(2):197-205. doi: 10.4048/jbc.2018.21.2.197. Epub 2018 Jun 20.
2
'Overdiagnosis' and mortality in breast cancer screening.乳腺癌筛查中的“过度诊断”与死亡率
J R Soc Med. 2012 Jul;105(7):317-9. doi: 10.1258/jrsm.2012.120003.
3
Adjunctive diagnostic value of MRI in the breast radial scar.MRI对乳腺放射状瘢痕的辅助诊断价值

本文引用的文献

1
The histologic and biologic spectrum of tubular carcinoma of the breast.乳腺小管癌的组织学和生物学谱。
Hum Pathol. 1983 Aug;14(8):694-8. doi: 10.1016/s0046-8177(83)80141-5.
2
Cystic hypersecretory duct carcinoma of the breast.乳腺囊性高分泌性导管癌
Am J Surg Pathol. 1984 Jan;8(1):31-41. doi: 10.1097/00000478-198401000-00003.
3
Adenosis tumour of the breast--a clinicopathological investigation of 27 cases.乳腺腺病瘤——27例临床病理研究
Radiol Med. 2009 Aug;114(5):757-70. doi: 10.1007/s11547-009-0405-7. Epub 2009 May 30.
4
Microinvasive carcinoma of the breast.乳腺微浸润癌
Pathol Oncol Res. 2008 Jun;14(2):105-11. doi: 10.1007/s12253-008-9054-8. Epub 2008 May 21.
5
Morphometrical malignancy grading is a valuable prognostic factor in invasive ductal breast cancer.形态学恶性肿瘤分级是浸润性导管癌中一个有价值的预后因素。
Br J Cancer. 2002 Nov 18;87(11):1275-80. doi: 10.1038/sj.bjc.6600617.
6
Development of hyperplasias, preneoplasias, and mammary tumors in MMTV-c-erbB-2 and MMTV-TGFalpha transgenic rats.MMTV-c-erbB-2和MMTV-TGFα转基因大鼠中增生、癌前病变和乳腺肿瘤的发展。
Am J Pathol. 1999 Jul;155(1):303-14. doi: 10.1016/s0002-9440(10)65124-3.
Histopathology. 1987 Dec;11(12):1259-75. doi: 10.1111/j.1365-2559.1987.tb01871.x.
4
A perspex grid for localization of non-palpable mammographic lesions in breast biopsies.一种用于乳腺活检中不可触及的乳腺X线摄影病变定位的有机玻璃网格。
Histopathology. 1989 Mar;14(3):311-5. doi: 10.1111/j.1365-2559.1989.tb02150.x.
5
Sampling grossly benign breast biopsy specimens.采集大体良性的乳腺活检标本。
Lancet. 1989 Oct 28;2(8670):1038. doi: 10.1016/s0140-6736(89)91043-x.
6
Prognostic value of ovarian carcinoma grading methods--a method comparison study.卵巢癌分级方法的预后价值——一项方法比较研究。
Histopathology. 1990 Jan;16(1):1-7. doi: 10.1111/j.1365-2559.1990.tb01053.x.
7
Differential marking of excision planes in screened breast lesions by organically coloured gelatins.通过有机染色明胶对筛查乳腺病变切除平面进行差异标记。
J Clin Pathol. 1990 Jul;43(7):604-7. doi: 10.1136/jcp.43.7.604.
8
Laboratory handling of impalpable breast lesions: a review.不可触及乳腺病变的实验室处理:综述
J Clin Pathol. 1991 Feb;44(2):89-93. doi: 10.1136/jcp.44.2.89.
9
Tubulolobular invasive breast cancer: a variant of lobular invasive cancer.
Hum Pathol. 1977 Nov;8(6):679-83. doi: 10.1016/s0046-8177(77)80096-8.
10
Medullary carcinoma of the breast: a clinicopathologic study with 10 year follow-up.乳腺髓样癌:一项随访10年的临床病理研究
Cancer. 1977 Oct;40(4):1365-85. doi: 10.1002/1097-0142(197710)40:4<1365::aid-cncr2820400402>3.0.co;2-n.