• 文献检索
  • 文档翻译
  • 深度研究
  • 学术资讯
  • Suppr Zotero 插件Zotero 插件
  • 邀请有礼
  • 套餐&价格
  • 历史记录
应用&插件
Suppr Zotero 插件Zotero 插件浏览器插件Mac 客户端Windows 客户端微信小程序
定价
高级版会员购买积分包购买API积分包
服务
文献检索文档翻译深度研究API 文档MCP 服务
关于我们
关于 Suppr公司介绍联系我们用户协议隐私条款
关注我们

Suppr 超能文献

核心技术专利:CN118964589B侵权必究
粤ICP备2023148730 号-1Suppr @ 2026

文献检索

告别复杂PubMed语法,用中文像聊天一样搜索,搜遍4000万医学文献。AI智能推荐,让科研检索更轻松。

立即免费搜索

文件翻译

保留排版,准确专业,支持PDF/Word/PPT等文件格式,支持 12+语言互译。

免费翻译文档

深度研究

AI帮你快速写综述,25分钟生成高质量综述,智能提取关键信息,辅助科研写作。

立即免费体验

一个对低温敏感的玉米突变体的研究II. 叶绿体的结构、发育及生理特性

Studies on a Maize Mutant Sensitive to Low Temperature II. Chloroplast Structure, Development, and Physiology.

作者信息

Millerd A, Goodchild D J, Spencer D

机构信息

Division of Plant Industry, CSIRO, Canberra, A.C.T., Australia.

出版信息

Plant Physiol. 1969 Apr;44(4):567-83. doi: 10.1104/pp.44.4.567.

DOI:10.1104/pp.44.4.567
PMID:16657103
原文链接:https://pmc.ncbi.nlm.nih.gov/articles/PMC396128/
Abstract

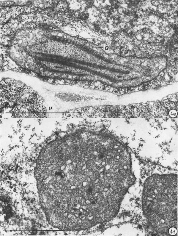
In the Zea mays L. mutant M11 grown in the dark at 15 degrees , the ultrastructure of the etioplast is abnormal. The pigment content of the etioplasts is reduced but the in vivo absorption characteristics suggest that the normal protochlorophyll (ide)-holochrome is present. The lowered synthetic ability of the etioplasts is not primarily due to a reduced complement of plastid ribosomes. The plastids of mutant M11 grown in the light at 15 degrees contain little pigment, are markedly deficient in ribosomes and their ultrastructure is abnormal. In mutant M11 grown at 15 degrees , an extreme sensitivity of the plastid membranes to light was observed.

摘要

在15摄氏度黑暗条件下生长的玉米(Zea mays L.)突变体M11中,黄化质体的超微结构异常。黄化质体的色素含量降低,但体内吸收特性表明存在正常的原叶绿素(ide)-全色素。黄化质体合成能力降低并非主要由于质体核糖体数量减少。在15摄氏度光照条件下生长的突变体M11的质体几乎不含色素,核糖体明显缺乏,其超微结构异常。在15摄氏度条件下生长的突变体M11中,观察到质体膜对光极度敏感。

https://cdn.ncbi.nlm.nih.gov/pmc/blobs/d9b8/396128/feaf395140ba/plntphys00209-0104-a.jpg
https://cdn.ncbi.nlm.nih.gov/pmc/blobs/d9b8/396128/1b233f36513d/plntphys00209-0099-a.jpg
https://cdn.ncbi.nlm.nih.gov/pmc/blobs/d9b8/396128/a251911ad823/plntphys00209-0100-a.jpg
https://cdn.ncbi.nlm.nih.gov/pmc/blobs/d9b8/396128/3ddf42fec746/plntphys00209-0101-a.jpg
https://cdn.ncbi.nlm.nih.gov/pmc/blobs/d9b8/396128/628a59a0638b/plntphys00209-0102-a.jpg
https://cdn.ncbi.nlm.nih.gov/pmc/blobs/d9b8/396128/16f4067b314e/plntphys00209-0103-a.jpg
https://cdn.ncbi.nlm.nih.gov/pmc/blobs/d9b8/396128/feaf395140ba/plntphys00209-0104-a.jpg
https://cdn.ncbi.nlm.nih.gov/pmc/blobs/d9b8/396128/1b233f36513d/plntphys00209-0099-a.jpg
https://cdn.ncbi.nlm.nih.gov/pmc/blobs/d9b8/396128/a251911ad823/plntphys00209-0100-a.jpg
https://cdn.ncbi.nlm.nih.gov/pmc/blobs/d9b8/396128/3ddf42fec746/plntphys00209-0101-a.jpg
https://cdn.ncbi.nlm.nih.gov/pmc/blobs/d9b8/396128/628a59a0638b/plntphys00209-0102-a.jpg
https://cdn.ncbi.nlm.nih.gov/pmc/blobs/d9b8/396128/16f4067b314e/plntphys00209-0103-a.jpg
https://cdn.ncbi.nlm.nih.gov/pmc/blobs/d9b8/396128/feaf395140ba/plntphys00209-0104-a.jpg

相似文献

1
Studies on a Maize Mutant Sensitive to Low Temperature II. Chloroplast Structure, Development, and Physiology.一个对低温敏感的玉米突变体的研究II. 叶绿体的结构、发育及生理特性
Plant Physiol. 1969 Apr;44(4):567-83. doi: 10.1104/pp.44.4.567.
2
Comparison of Light-dependent Oxygen Uptake, Protochlorophyll(ide)-650 Photoconversion, and Chlorophyll Disappearance in Wheat Etioplasts.小麦黄化质体中光依赖型氧气摄取、原叶绿素(酸酯)-650光转化及叶绿素消失的比较
Plant Physiol. 1978 Jun;61(6):1006-9. doi: 10.1104/pp.61.6.1006.
3
The Correlated Appearance of Prolamellar Bodies, Protochlorophyll(ide) Species, and the Shibata Shift during Development of Bean Etioplasts in the Dark.黑暗条件下培养的菜豆质体中前质体、原叶绿素(体)物种和 Shibata 位移的相关性出现。
Plant Physiol. 1972 Apr;49(4):619-26. doi: 10.1104/pp.49.4.619.
4
Cytokinin-binding protein (70 kDa) from etioplasts and amyloplasts of etiolated maize seedlings and chloroplasts of green plants and its putative function.质体中细胞分裂素结合蛋白(70kDa)的鉴定及其在叶绿体中的可能功能。
J Exp Bot. 2010 Jul;61(12):3461-74. doi: 10.1093/jxb/erq170. Epub 2010 Jun 28.
5
Studies on a maize mutant sensitive to low temperature I. Influence of temperature and light on the production of chloroplast pigments.一种对低温敏感的玉米突变体的研究 I. 温度和光照对叶绿体色素产生的影响
Plant Physiol. 1968 Dec;43(12):1967-72. doi: 10.1104/pp.43.12.1967.
6
Independent effects of leaf growth and light on the development of the plastid and its DNA content in Zea species.叶片生长和光照对玉米属植物类囊体及其 DNA 含量发育的独立影响。
J Exp Bot. 2011 May;62(8):2715-30. doi: 10.1093/jxb/erq441. Epub 2011 Jan 25.
7
Loss or retention of chloroplast DNA in maize seedlings is affected by both light and genotype.玉米幼苗中叶绿体DNA的丢失或保留受光照和基因型的影响。
Planta. 2006 Dec;225(1):41-55. doi: 10.1007/s00425-006-0329-6. Epub 2006 Jun 21.
8
Etioplast Development in Dark-grown Leaves of Zea mays L.玉米(Zea mays L.)暗生长叶片中黄化质体的发育
Plant Physiol. 1978 Oct;62(4):499-505. doi: 10.1104/pp.62.4.499.
9
Maize plastid gene expressed during photoregulated development.玉米质体基因在光调节发育过程中表达。
Proc Natl Acad Sci U S A. 1978 Jul;75(7):3060-4. doi: 10.1073/pnas.75.7.3060.
10
Stable Membrane-Association of mRNAs in Etiolated, Greening and Mature Plastids.黄化、绿化和成熟质体中mRNA的稳定膜结合
Int J Mol Sci. 2017 Aug 31;18(9):1881. doi: 10.3390/ijms18091881.

引用本文的文献

1
Establishment of the chloroplast genetic system in rice during early leaf development and at low temperatures.水稻叶绿体遗传系统在叶片早期发育及低温条件下的建立。
Front Plant Sci. 2014 Aug 11;5:386. doi: 10.3389/fpls.2014.00386. eCollection 2014.
2
Selective inhibition of mesophyll chloroplast development in some C4-pathway species by low night temperature.低温对一些 C4 途径物种叶肉叶绿体发育的选择抑制。
Planta. 1974 Mar;118(1):57-73. doi: 10.1007/BF00390503.
3
Arabidopsis chloroplast RNA binding proteins CP31A and CP29A associate with large transcript pools and confer cold stress tolerance by influencing multiple chloroplast RNA processing steps.

本文引用的文献

1
Cytochemical studies concerning the occurrence and distribution of RNA in plastids of Zea mays.关于玉米质体中RNA的存在与分布的细胞化学研究。
J Cell Biol. 1963 Jun;17(3):557-70. doi: 10.1083/jcb.17.3.557.
2
Studies on a maize mutant sensitive to low temperature I. Influence of temperature and light on the production of chloroplast pigments.一种对低温敏感的玉米突变体的研究 I. 温度和光照对叶绿体色素产生的影响
Plant Physiol. 1968 Dec;43(12):1967-72. doi: 10.1104/pp.43.12.1967.
3
Temperature and plant adaptation. I. Interaction of temperature and light in the synthesis of chlorophyll in corn.
拟南芥叶绿体 RNA 结合蛋白 CP31A 和 CP29A 与大量转录本结合,并通过影响多个叶绿体 RNA 加工步骤赋予其耐冷性。
Plant Cell. 2012 Oct;24(10):4266-80. doi: 10.1105/tpc.112.103002. Epub 2012 Oct 30.
4
A var2 leaf variegation suppressor locus, SUPPRESSOR OF VARIEGATION3, encodes a putative chloroplast translation elongation factor that is important for chloroplast development in the cold.一个 var2 叶斑抑制基因座,SUPPRESSOR OF VARIEGATION3,编码一个假定的叶绿体翻译延伸因子,该因子对冷胁迫下的叶绿体发育很重要。
BMC Plant Biol. 2010 Dec 28;10:287. doi: 10.1186/1471-2229-10-287.
5
An Arabidopsis pentatricopeptide repeat protein, SUPPRESSOR OF VARIEGATION7, is required for FtsH-mediated chloroplast biogenesis.拟南芥五肽重复蛋白 SUPPRESSOR OF VARIEGATION7 是 FtsH 介导的叶绿体生物发生所必需的。
Plant Physiol. 2010 Dec;154(4):1588-601. doi: 10.1104/pp.110.164111. Epub 2010 Oct 8.
6
Occurrence of a high temperature sensitivity of chloroplast ribosome formation in several higher plants.几种高等植物中叶绿体核糖体形成的高温敏感性的出现。
Plant Physiol. 1977 May;59(5):863-7. doi: 10.1104/pp.59.5.863.
7
Ultrastructural Effects of Water Stress on Chloroplast Development in Jack Bean (Canavalia ensiformis [L.] DC).水胁迫对刀豆(Canavalia ensiformis [L.] DC)叶绿体发育的超微结构影响。
Plant Physiol. 1975 Jul;56(1):160-3. doi: 10.1104/pp.56.1.160.
8
Studies on the 70S Ribosomal Content of a Plastid Mutant in Gossypium hirsutum.棉花质体突变体 70S 核糖体含量的研究。
Plant Physiol. 1973 Jun;51(6):1138-9. doi: 10.1104/pp.51.6.1138.
9
Plants under Climatic Stress: II. Low Temperature, High Light Effects on Chloroplast Ultrastructure.植物在气候胁迫下:二、低温、高光对叶绿体超微结构的影响。
Plant Physiol. 1971 May;47(5):719-25. doi: 10.1104/pp.47.5.719.
10
Chloroplast Development in 4-Chloro-5-(dimethylamino)-2-(alpha,alpha,alpha-trifluoro-m-tolyl)-3 (2H)-pyridazinone (Sandoz 6706)-treated Wheat Seedlings: A Pigment, Ultrastructural, and Ultracentrifugal Study.4-氯-5-(二甲基氨基)-2-(α,α,α-三氟间甲苯基)-3(2H)-哒嗪酮(山道士6706)处理的小麦幼苗中的叶绿体发育:色素、超微结构及超速离心研究
Plant Physiol. 1970 Jun;45(6):807-10. doi: 10.1104/pp.45.6.807.
温度与植物适应。I. 温度与光照在玉米叶绿素合成中的相互作用。
Plant Physiol. 1967 Dec;42(12):1711-5. doi: 10.1104/pp.42.12.1711.
4
Chloroplastic ribosome formation: inhibition by 3-amino-1,2,4-triazole.叶绿体核糖体的形成:3-氨基-1,2,4-三唑的抑制作用。
Plant Physiol. 1967 May;42(5):736-41. doi: 10.1104/pp.42.5.736.
5
PLASTIC EMBEDDING MIXTURES FOR USE IN ELECTRON MICROSCOPY.用于电子显微镜检查的塑料包埋混合物
Stain Technol. 1964 Mar;39:111-4.
6
The relation between structure and pigments during the first stages of proplastid greening.质体前体绿化初期结构与色素之间的关系。
Biochim Biophys Acta. 1966 Jan 4;112(1):45-53. doi: 10.1016/s0926-6585(96)90006-0.
7
Studies on a barley mutant lacking chlorophyll b. I. Photochemical activity of isolated chloroplasts.关于缺乏叶绿素b的大麦突变体的研究。I. 分离叶绿体的光化学活性。
Biochim Biophys Acta. 1966 Oct 10;126(2):189-99. doi: 10.1016/0926-6585(66)90054-9.