Faculty of Agriculture, Tokyo University of Agriculture and Technology, Fuchu, Tokyo 183, Japan.
Plant Physiol. 1990 Nov;94(3):1488-91. doi: 10.1104/pp.94.3.1488.
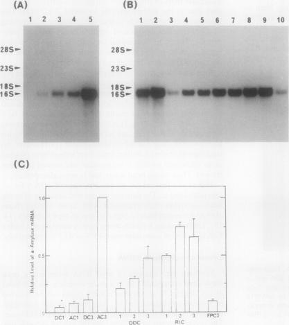
A cDNA was isolated that codes for alpha-amylase in mung bean (Vigna radiata) cotyledons, and the nucleotide sequence was determined. The deduced amino acid sequence (421 amino acid residues) is about 65% homologous with those of barley alpha-amylases. By comparing the deduced sequence with the sequence of the purified alpha-amylase, it was inferred that 23 N-terminal amino acids of a nascent polypeptide represent a signal peptide. Northern blot analysis showed that the levels of alpha-amylase mRNA are in parallel with the activities of alpha-amylase synthesis in cotyledons. Under the conditions where the solute leakage from cotyledons is accelerated during imbibition, a rapid increase in the amount of the alpha-amylase mRNA occurs. We postulate that a factor(s) which regulates in an inhibitory manner the alpha-amylase expression at the transcriptional level may be present in dry cotyledons and be removed by leakage.
从绿豆(Vigna radiata)子叶中分离出编码α-淀粉酶的 cDNA,并测定了其核苷酸序列。推导出的氨基酸序列(421 个氨基酸残基)与大麦α-淀粉酶的氨基酸序列有约 65%的同源性。通过将推导序列与纯化的α-淀粉酶序列进行比较,可以推断出新生多肽的 23 个 N 端氨基酸代表一个信号肽。Northern blot 分析表明,α-淀粉酶 mRNA 的水平与子叶中α-淀粉酶合成的活性呈平行关系。在吸胀过程中,子叶溶质渗漏加速的条件下,α-淀粉酶 mRNA 的量会迅速增加。我们推测,在干燥的子叶中存在一种调节α-淀粉酶表达的转录水平的因子(s),该因子可以通过渗漏而被去除。