Ogata Hiroyuki, La Scola Bernard, Audic Stéphane, Renesto Patricia, Blanc Guillaume, Robert Catherine, Fournier Pierre-Edouard, Claverie Jean-Michel, Raoult Didier
Structural and Genomic Information Laboratory, Centre National de la Recherche Scientifique UPR-2589, Institut de Biologie Structurale et Microbiologie, Parc Scientifique de Luminy, Marseille, France.
PLoS Genet. 2006 May;2(5):e76. doi: 10.1371/journal.pgen.0020076. Epub 2006 May 12.
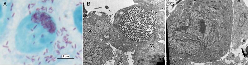
The recently sequenced Rickettsia felis genome revealed an unexpected plasmid carrying several genes usually associated with DNA transfer, suggesting that ancestral rickettsiae might have been endowed with a conjugation apparatus. Here we present the genome sequence of Rickettsia bellii, the earliest diverging species of known rickettsiae. The 1,552,076 base pair-long chromosome does not exhibit the colinearity observed between other rickettsia genomes, and encodes a complete set of putative conjugal DNA transfer genes most similar to homologues found in Protochlamydia amoebophila UWE25, an obligate symbiont of amoebae. The genome exhibits many other genes highly similar to homologues in intracellular bacteria of amoebae. We sought and observed sex pili-like cell surface appendages for R. bellii. We also found that R. bellii very efficiently multiplies in the nucleus of eukaryotic cells and survives in the phagocytic amoeba, Acanthamoeba polyphaga. These results suggest that amoeba-like ancestral protozoa could have served as a genetic "melting pot" where the ancestors of rickettsiae and other bacteria promiscuously exchanged genes, eventually leading to their adaptation to the intracellular lifestyle within eukaryotic cells.
最近测序的猫立克次氏体基因组显示,其存在一个意想不到的质粒,携带几个通常与DNA转移相关的基因,这表明祖先立克次氏体可能具备接合装置。在此,我们展示了贝利立克次氏体的基因组序列,它是已知立克次氏体中分化最早的物种。这条长度为1552076个碱基对的染色体并不呈现其他立克次氏体基因组间观察到的共线性,并且编码了一套完整的假定的接合性DNA转移基因,这些基因与在嗜阿米巴原衣原体UWE25(一种阿米巴的专性共生菌)中发现的同源物最为相似。该基因组还展示出许多与阿米巴细胞内细菌中的同源物高度相似的其他基因。我们寻找并观察到了贝利立克次氏体的性菌毛样细胞表面附属物。我们还发现,贝利立克次氏体能在真核细胞的细胞核中高效繁殖,并能在吞噬性阿米巴——多食棘阿米巴中存活。这些结果表明,类似阿米巴的原始原生动物可能充当了一个基因“熔炉”,立克次氏体和其他细菌的祖先在其中杂乱地交换基因,最终导致它们适应了真核细胞内的寄生生活方式。