Suppr超能文献

全胃切除术后置入空肠袋的肠系膜硬纤维瘤

Mesenteric desmoid tumor of the interposed jejunal pouch after total gastrectomy.

作者信息

Tamura Koichi, Tani Masaji, Kinoshita Hiroyuki, Yamaue Hiroki

机构信息

Second Department of Surgery, Wakayama Medical University, School of Medicine, Wakayama, Japan.

出版信息

World J Surg Oncol. 2006 Jun 1;4:27. doi: 10.1186/1477-7819-4-27.

Abstract

BACKGROUND

Desmoid tumor is a rare entity, and most desmoid tumors are located in abdominal wall or extra-abdominal tissues. Occurrence of desmoid tumor in mesentry is extremely rare.

CASE PRESENTATION

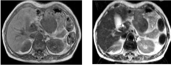
we report a mesenteric desmoid tumor in a 73-years-old woman who had undergone total gastrectomy reconstructed with jejunal pouch interposition for gastric carcinoma. After 1 year, a tumor was originating from mesentery of the interposed jejunal pouch was identified, and the patient underwent resection of the large mass which was found to invade pancreas. Histological examination revealed desmoid tumor.

CONCLUSION

Desmoid tumor is rare, and it was difficult for the differential diagnosis of desmoid tumor or recurrent tumor.

摘要

背景

韧带样瘤是一种罕见的疾病,大多数韧带样瘤位于腹壁或腹外组织。肠系膜韧带样瘤的发生极为罕见。

病例报告

我们报告了一名73岁女性的肠系膜韧带样瘤,该患者因胃癌接受了空肠间置代胃全胃切除术。1年后,发现起源于间置空肠襻系膜的肿瘤,患者接受了大块肿物切除,发现该肿物侵犯了胰腺。组织学检查显示为韧带样瘤。

结论

韧带样瘤罕见,韧带样瘤与复发性肿瘤的鉴别诊断困难。

https://cdn.ncbi.nlm.nih.gov/pmc/blobs/d8ed/1481628/3e9455bf1a29/1477-7819-4-27-1.jpg

文献检索

告别复杂PubMed语法,用中文像聊天一样搜索,搜遍4000万医学文献。AI智能推荐,让科研检索更轻松。

立即免费搜索

文件翻译

保留排版,准确专业,支持PDF/Word/PPT等文件格式,支持 12+语言互译。

免费翻译文档

深度研究

AI帮你快速写综述,25分钟生成高质量综述,智能提取关键信息,辅助科研写作。

立即免费体验