Suppr超能文献

孤立性胆管粒细胞肉瘤继发多系发育异常的急性髓系白血病:1例报告并文献复习

Isolated biliary granulocytic sarcoma followed by acute myelogeneous leukemia with multilineage dysplasia: a case report and literature review.

作者信息

Sung Chang Ohk, Ko Young Hyeh, Park Cheol Keun, Jang Kee Taek, Heo Jin Seok

机构信息

Department of Pathology, Samsung Medical Center, Sungkyunkwan University School of Medicine, Seoul, Korea.

出版信息

J Korean Med Sci. 2006 Jun;21(3):550-4. doi: 10.3346/jkms.2006.21.3.550.

Abstract

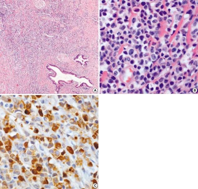
Granulocytic sarcoma is a rare extramedullary tumor composed of myeloid progenitor cells. Primary involvement of the biliary tract without evidence of leukemia is exceedingly rare. Here, we report an isolated biliary granulocytic sarcoma in a 30-yr-old man who presented with jaundice, fever, and chill without any evidence of leukemia. However, five months after the diagnosis, he developed acute myelogenous leukemia with multilineage dysplasia and chromosomal abnormality. A rare possibility of biliary granulocytic sarcoma should be considered as a differential diagnosis in patients with obstructive jaundice. A histologic evaluation by aggressive diagnostic intervention is important and may improve prognosis.

摘要

粒细胞肉瘤是一种由髓系祖细胞组成的罕见髓外肿瘤。原发性胆道受累且无白血病证据极为罕见。在此,我们报告一例30岁男性孤立性胆道粒细胞肉瘤,该患者表现为黄疸、发热和寒战,无任何白血病证据。然而,诊断后五个月,他发展为伴有多系发育异常和染色体异常的急性髓系白血病。对于梗阻性黄疸患者,应考虑胆道粒细胞肉瘤这种罕见可能性作为鉴别诊断。通过积极的诊断性干预进行组织学评估很重要,可能会改善预后。

https://cdn.ncbi.nlm.nih.gov/pmc/blobs/efa8/2729966/10bf40349a29/jkms-21-550-g001.jpg

文献检索

告别复杂PubMed语法,用中文像聊天一样搜索,搜遍4000万医学文献。AI智能推荐,让科研检索更轻松。

立即免费搜索

文件翻译

保留排版,准确专业,支持PDF/Word/PPT等文件格式,支持 12+语言互译。

免费翻译文档

深度研究

AI帮你快速写综述,25分钟生成高质量综述,智能提取关键信息,辅助科研写作。

立即免费体验