Rosenberg C L, Wong E, Petty E M, Bale A E, Tsujimoto Y, Harris N L, Arnold A
Endocrine Unit, Massachusetts General Hospital, Boston.
Proc Natl Acad Sci U S A. 1991 Nov 1;88(21):9638-42. doi: 10.1073/pnas.88.21.9638.
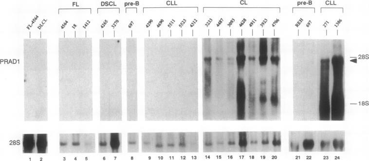
Rearrangement of the BCL1 (B-cell lymphoma 1) region on chromosome 11q13 appears to be highly characteristic of centrocytic lymphoma and also is found infrequently in other B-cell neoplasms. Rearrangement is thought to deregulate a nearby protooncogene, but transcribed sequences in the immediate vicinity of BCL1 breakpoints had not been identified. PRAD1, previously designated D11S287E, was identified on 11q13 as a chromosomal breakpoint region rearranged with the parathyroid hormone gene in a subset of parathyroid adenomas; this highly conserved putative oncogene, which encodes a novel cyclin, has been linked to BCL1 and implicated also in subsets of breast and squamous cell neoplasms with 11q13 amplification. We report pulsed-field gel electrophoresis data showing BCL1 and PRAD1 to be no more than 130 kilobases apart. PRAD1 mRNA is abundantly expressed in seven of seven centrocytic lymphomas (Kiel classification), in contrast to 13 closely related but noncentrocytic lymphomas. Three of the seven centrocytic lymphomas had detectable BCL1 DNA rearrangement. Also, two unusual cases of CLL with BCL1 rearrangement overexpressed PRAD1, in contrast to five CLL controls. Thus, PRAD1 is an excellent candidate "BCL1 oncogene." Its overexpression may be a key consequence of rearrangement of the BCL1 vicinity in B-cell neoplasms and a unifying pathogenetic feature in centrocytic lymphoma.
11号染色体q13区域的BCL1(B细胞淋巴瘤1)重排似乎是中心细胞淋巴瘤的高度特征性表现,在其他B细胞肿瘤中也很少见。重排被认为会使附近的原癌基因失调,但BCL1断点附近的转录序列尚未被鉴定出来。PRAD1,以前称为D11S287E,在11q13上被鉴定为与甲状旁腺腺瘤亚群中的甲状旁腺激素基因重排的染色体断点区域;这个高度保守的假定癌基因编码一种新型细胞周期蛋白,已与BCL1相关联,也与11q13扩增的乳腺癌和鳞状细胞肿瘤亚群有关。我们报告脉冲场凝胶电泳数据显示BCL1和PRAD1相距不超过130千碱基。PRAD1 mRNA在7例中心细胞淋巴瘤( Kiel分类)中的7例中大量表达,与之形成对比的是13例密切相关但非中心细胞淋巴瘤。7例中心细胞淋巴瘤中有3例检测到BCL1 DNA重排。此外,与5例慢性淋巴细胞白血病(CLL)对照相比,2例伴有BCL1重排的不典型CLL病例中PRAD1过表达。因此,PRAD1是一个极佳的“BCL1癌基因”候选者。其过表达可能是B细胞肿瘤中BCL1附近区域重排的关键后果,也是中心细胞淋巴瘤统一的致病特征。