Suppr超能文献

人Ro核糖核蛋白颗粒:天然结构的表征及其与La多肽的稳定结合

Human Ro ribonucleoprotein particles: characterization of native structure and stable association with the La polypeptide.

作者信息

Boire G, Craft J

机构信息

Department of Medicine, Yale University, New Haven, Connecticut 06510.

出版信息

J Clin Invest. 1990 Apr;85(4):1182-90. doi: 10.1172/JCI114551.

Abstract

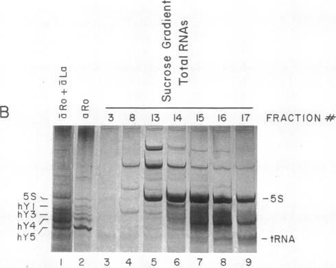
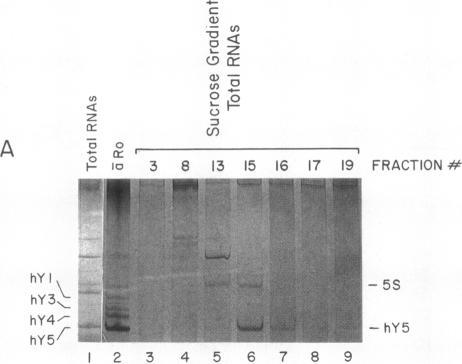
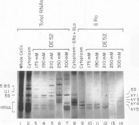
Anti-Ro autoantibodies, found in sera of patients with systemic lupus erythematosus, Sjogren's syndrome, and related diseases, target the Ro ribonucleoprotein particles (RNPs). Although the polypeptide and RNA components of the Ro RNPs have been characterized, much less is known about the native structure of these particles. We have now characterized by biochemical techniques intact Ro ribonucleoprotein particles from cultured HeLa cells. These particles segregated in three discrete subpopulations with characteristic physicochemical properties: one containing hY5 RNA (RohY5 particles), one containing only hY4 RNA (RohY4 particles) and one with hY1, hY3, and hY4 RNAs (RohY1-hY4 particles). The RohY5 particles were purified free of contaminating ribonucleoproteins; both the La and the 60-kD Ro polypeptides were stable components of this portion of the Ro RNPs. The La RNPs co-purified with the RohY4 particles and contaminated the RohY1-hY4 RNPs. The stable association between the La and the 60-kD Ro polypeptides provides a potential macromolecular target for the linked set of anti-Ro and anti-La antibodies, and suggests a possible functional association of these polypeptides.

摘要

抗Ro自身抗体存在于系统性红斑狼疮、干燥综合征及相关疾病患者的血清中,其靶标为Ro核糖核蛋白颗粒(RNP)。尽管Ro RNP的多肽和RNA成分已得到鉴定,但对于这些颗粒的天然结构却知之甚少。我们现在已经通过生化技术对来自培养的HeLa细胞的完整Ro核糖核蛋白颗粒进行了鉴定。这些颗粒分为三个离散的亚群,具有独特的物理化学性质:一个含有hY5 RNA(RohY5颗粒),一个仅含有hY4 RNA(RohY4颗粒),另一个含有hY1、hY3和hY4 RNA(RohY1-hY4颗粒)。RohY5颗粒被纯化,不含污染的核糖核蛋白;La和60-kD Ro多肽都是Ro RNP这一部分的稳定成分。La RNP与RohY4颗粒共纯化,并污染了RohY1-hY4 RNP。La和60-kD Ro多肽之间的稳定结合为抗Ro和抗La抗体的连锁组提供了一个潜在的大分子靶标,并提示了这些多肽可能的功能关联。

https://cdn.ncbi.nlm.nih.gov/pmc/blobs/b38d/296550/489d1ae79498/jcinvest00070-0210-a.jpg

文献检索

告别复杂PubMed语法,用中文像聊天一样搜索,搜遍4000万医学文献。AI智能推荐,让科研检索更轻松。

立即免费搜索

文件翻译

保留排版,准确专业,支持PDF/Word/PPT等文件格式,支持 12+语言互译。

免费翻译文档

深度研究

AI帮你快速写综述,25分钟生成高质量综述,智能提取关键信息,辅助科研写作。

立即免费体验