Suppr超能文献

肺癌放射治疗计划中的靶区定义:放射科医生如何提供帮助。

Volume definition in radiotherapy planning for lung cancer: how the radiologist can help.

作者信息

Roy A E F, Wells P

机构信息

Department of Clinical Oncology, St Bartholomew's Hospital, London, UK.

出版信息

Cancer Imaging. 2006 Sep 7;6(1):116-23. doi: 10.1102/1470-7330.2006.0019.

Abstract

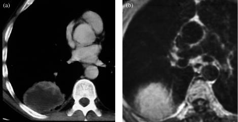
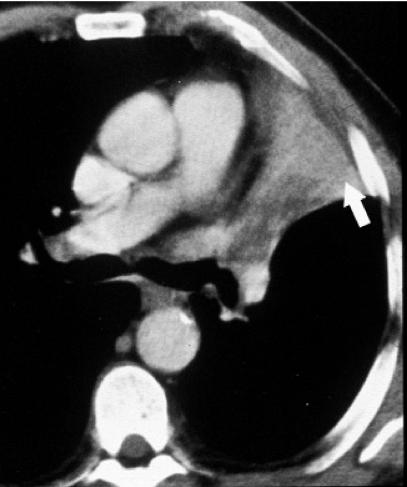
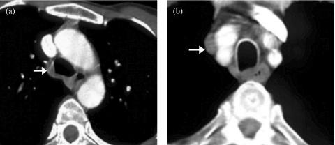
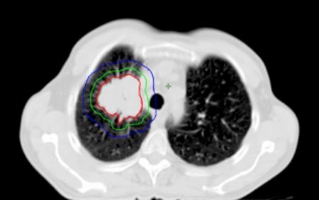
Effective treatment for carcinoma of the lung remains one of the biggest challenges in oncology. Radical radiotherapy may be a curative option for patients who are unsuitable for radical surgery either because of disease stage or because of co-morbidity. Long-term disease control with radical radiotherapy is disappointing with only about 6% of patients treated being alive at 5 years. Technological advances involved in the planning and delivery of radiotherapy may improve this. The advent of conformal radiotherapy, utilizing computed tomography and three-dimensional planning systems, allows much more accurate shaping of the radiation fields. This greater accuracy of target volume definition facilitates a reduction in the radiation dose to normal tissues, allowing for dose escalation to the tumour. Delineation of the target volume can be problematic. Conventional CT has limitations in term of distinguishing between benign and malignant tissues, e.g. the size criteria for involved lymph nodes. The oncologist uses a combination of radiological and clinical information when defining the target volume but their radiological interpretation of imaging is inferior to that of a radiologist. The Royal College of Radiologists (RCR) issued guidance in 2004 on the optimal imaging strategies for common cancers. These guidelines address issues regarding the localisation and staging of cancers and treatment planning, and also reporting and training. They recommend the development of closer links between radiologists and oncologists to optimise the interpretation of imaging and target volume definition. This article aims to briefly explain the planning process involved in irradiating lung cancers, highlight problematic areas and suggest ways in which co-operation with radiologists may improve the delivery of radiotherapy and therefore the treatment outcomes for this group of patients.

摘要

肺癌的有效治疗仍然是肿瘤学领域最大的挑战之一。对于因疾病分期或合并症而不适于根治性手术的患者,根治性放疗可能是一种治愈性选择。根治性放疗的长期疾病控制效果令人失望,接受治疗的患者中只有约6%能存活5年。放疗计划和实施过程中的技术进步可能会改善这一情况。适形放疗的出现,利用计算机断层扫描和三维计划系统,能够更精确地塑造辐射野。靶区定义的更高准确性有助于减少对正常组织的辐射剂量,从而可以提高肿瘤的照射剂量。靶区的勾画可能存在问题。传统CT在区分良性和恶性组织方面存在局限性,例如受累淋巴结的大小标准。肿瘤学家在定义靶区时会综合运用放射学和临床信息,但他们对影像的放射学解读不如放射科医生。英国皇家放射科医师学院(RCR)在2004年发布了关于常见癌症最佳影像策略的指南。这些指南涉及癌症的定位、分期和治疗计划等问题,以及报告和培训。它们建议放射科医生和肿瘤学家建立更紧密的联系,以优化影像解读和靶区定义。本文旨在简要解释肺癌放疗的计划过程,突出存在问题的领域,并提出与放射科医生合作可能改善放疗实施从而提高这类患者治疗效果的方法。

https://cdn.ncbi.nlm.nih.gov/pmc/blobs/f2f3/1693758/5cd6e074d37e/ci06011601.jpg

文献AI研究员

20分钟写一篇综述,助力文献阅读效率提升50倍。

立即体验

用中文搜PubMed

大模型驱动的PubMed中文搜索引擎

马上搜索

文档翻译

学术文献翻译模型,支持多种主流文档格式。

立即体验