Suppr超能文献

使用基于特征的可变形配准进行肺癌轮廓传播

Contour propagation using feature-based deformable registration for lung cancer.

作者信息

Yang Yuhan, Zhou Shoujun, Shang Peng, Qi En, Wu Shibin, Xie Yaoqin

机构信息

Key Laboratory for Health Informatics, Shenzhen Institutes of Advanced Technology, Chinese Academy of Sciences, Shenzhen 518055, China.

出版信息

Biomed Res Int. 2013;2013:701514. doi: 10.1155/2013/701514. Epub 2013 Dec 2.

Abstract

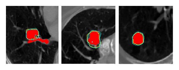
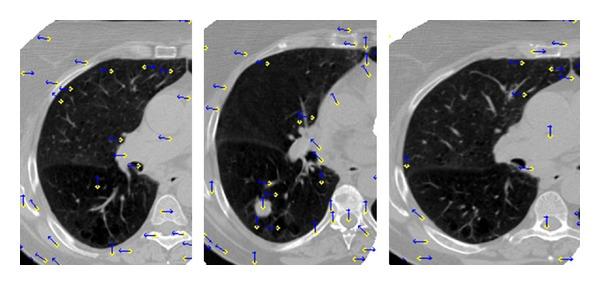
Accurate target delineation of CT image is a critical step in radiotherapy treatment planning. This paper describes a novel strategy for automatic contour propagation, based on deformable registration, for CT images of lung cancer. The proposed strategy starts with a manual-delineated contour in one slice of a 3D CT image. By means of feature-based deformable registration, the initial contour in other slices of the image can be propagated automatically, and then refined by active contour approach. Three algorithms are employed in the strategy: the Speeded-Up Robust Features (SURF), Thin-Plate Spline (TPS), and an adapted active contour (Snake), used to refine and modify the initial contours. Five pulmonary cancer cases with about 400 slices and 1000 contours have been used to verify the proposed strategy. Experiments demonstrate that the proposed strategy can improve the segmentation performance in the pulmonary CT images. Jaccard similarity (JS) mean is about 0.88 and the maximum of Hausdorff distance (HD) is about 90%. In addition, delineation time has been considerably reduced. The proposed feature-based deformable registration method in the automatic contour propagation improves the delineation efficiency significantly.

摘要

CT图像的精确靶区勾画是放射治疗计划中的关键步骤。本文描述了一种基于可变形配准的用于肺癌CT图像自动轮廓传播的新策略。所提出的策略从3D CT图像的一个切片中的手动勾画轮廓开始。通过基于特征的可变形配准,图像其他切片中的初始轮廓可以自动传播,然后通过主动轮廓方法进行细化。该策略采用了三种算法:加速鲁棒特征(SURF)、薄板样条(TPS)和一种自适应主动轮廓(Snake),用于细化和修改初始轮廓。使用了五个包含约400个切片和1000个轮廓的肺癌病例来验证所提出的策略。实验表明,所提出的策略可以提高肺部CT图像的分割性能。杰卡德相似度(JS)平均值约为0.88,豪斯多夫距离(HD)最大值约为90%。此外,勾画时间显著减少。所提出的基于特征的可变形配准方法在自动轮廓传播中显著提高了勾画效率。

https://cdn.ncbi.nlm.nih.gov/pmc/blobs/597b/3865642/79753f943896/BMRI2013-701514.001.jpg

文献检索

告别复杂PubMed语法,用中文像聊天一样搜索,搜遍4000万医学文献。AI智能推荐,让科研检索更轻松。

立即免费搜索

文件翻译

保留排版,准确专业,支持PDF/Word/PPT等文件格式,支持 12+语言互译。

免费翻译文档

深度研究

AI帮你快速写综述,25分钟生成高质量综述,智能提取关键信息,辅助科研写作。

立即免费体验