• 文献检索
  • 文档翻译
  • 深度研究
  • 学术资讯
  • Suppr Zotero 插件Zotero 插件
  • 邀请有礼
  • 套餐&价格
  • 历史记录
应用&插件
Suppr Zotero 插件Zotero 插件浏览器插件Mac 客户端Windows 客户端微信小程序
定价
高级版会员购买积分包购买API积分包
服务
文献检索文档翻译深度研究API 文档MCP 服务
关于我们
关于 Suppr公司介绍联系我们用户协议隐私条款
关注我们

Suppr 超能文献

核心技术专利:CN118964589B侵权必究
粤ICP备2023148730 号-1Suppr @ 2026

文献检索

告别复杂PubMed语法,用中文像聊天一样搜索,搜遍4000万医学文献。AI智能推荐,让科研检索更轻松。

立即免费搜索

文件翻译

保留排版,准确专业,支持PDF/Word/PPT等文件格式,支持 12+语言互译。

免费翻译文档

深度研究

AI帮你快速写综述,25分钟生成高质量综述,智能提取关键信息,辅助科研写作。

立即免费体验

聚合材料燃烧过程中产生的烟雾的生理和毒理学方面。

Physiological and toxicological aspects of smoke produced during the combustion of polymeric materials.

作者信息

Einhorn I N

出版信息

Environ Health Perspect. 1975 Jun;11:163-89. doi: 10.1289/ehp.7511163.

DOI:10.1289/ehp.7511163
PMID:170077
原文链接:https://pmc.ncbi.nlm.nih.gov/articles/PMC1475182/
Abstract

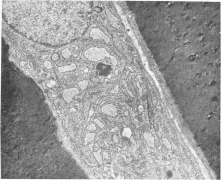
Normally one expects that flame contact is the major cause of injury and death during fires. Analysis of the factors involved in numerous fires has revealed that most deaths were not due to flame contact, but were a consequence of the production of carbon monoxide, nitrogen oxides, and other combustion products, such as aldehydes, low molecular weight alcohols, hydrogen cyanide, and other noxious species. The major emphasis within the scope of this paper relates to the physiological and toxicological aspects of smoke produced during the combustion of materials. Special emphasis is directed toward laboratory procedures which have been developed to determine the qualitative and quantitative analysis of smoke, factors pertaining to smoke development, and to measure the response of laboratory animals exposed to smoke. The effects that fire retardants, incorporated into polymeric materials as a means of improving flammability characteristics, may have on smoke development, the mechanism of polymer degradation, and on the survival response of laboratory animals are also considered.

摘要

通常人们认为,在火灾中火焰接触是造成伤亡的主要原因。对大量火灾所涉及因素的分析表明,大多数死亡并非由火焰接触所致,而是一氧化碳、氮氧化物以及其他燃烧产物,如醛类、低分子量醇类、氰化氢和其他有害物质产生的结果。本文范围内的主要重点涉及材料燃烧过程中产生的烟雾的生理和毒理学方面。特别强调的是已开发出的用于确定烟雾定性和定量分析、与烟雾生成相关的因素以及测量暴露于烟雾中的实验动物反应的实验室程序。还考虑了作为改善可燃性特性手段而添加到聚合物材料中的阻燃剂可能对烟雾生成、聚合物降解机制以及实验动物存活反应产生的影响。

https://cdn.ncbi.nlm.nih.gov/pmc/blobs/aba6/1475182/e38967e11554/envhper00495-0171-b.jpg
https://cdn.ncbi.nlm.nih.gov/pmc/blobs/aba6/1475182/da0c55b9c612/envhper00495-0166-a.jpg
https://cdn.ncbi.nlm.nih.gov/pmc/blobs/aba6/1475182/473f072252b6/envhper00495-0167-a.jpg
https://cdn.ncbi.nlm.nih.gov/pmc/blobs/aba6/1475182/9bda4f9334b5/envhper00495-0169-a.jpg
https://cdn.ncbi.nlm.nih.gov/pmc/blobs/aba6/1475182/c9880b38ba53/envhper00495-0170-a.jpg
https://cdn.ncbi.nlm.nih.gov/pmc/blobs/aba6/1475182/51f979bde9c2/envhper00495-0170-b.jpg
https://cdn.ncbi.nlm.nih.gov/pmc/blobs/aba6/1475182/5cdf24bb2cc6/envhper00495-0170-c.jpg
https://cdn.ncbi.nlm.nih.gov/pmc/blobs/aba6/1475182/3feb8ab9b15e/envhper00495-0170-d.jpg
https://cdn.ncbi.nlm.nih.gov/pmc/blobs/aba6/1475182/f3cf33993a99/envhper00495-0171-a.jpg
https://cdn.ncbi.nlm.nih.gov/pmc/blobs/aba6/1475182/e38967e11554/envhper00495-0171-b.jpg
https://cdn.ncbi.nlm.nih.gov/pmc/blobs/aba6/1475182/da0c55b9c612/envhper00495-0166-a.jpg
https://cdn.ncbi.nlm.nih.gov/pmc/blobs/aba6/1475182/473f072252b6/envhper00495-0167-a.jpg
https://cdn.ncbi.nlm.nih.gov/pmc/blobs/aba6/1475182/9bda4f9334b5/envhper00495-0169-a.jpg
https://cdn.ncbi.nlm.nih.gov/pmc/blobs/aba6/1475182/c9880b38ba53/envhper00495-0170-a.jpg
https://cdn.ncbi.nlm.nih.gov/pmc/blobs/aba6/1475182/51f979bde9c2/envhper00495-0170-b.jpg
https://cdn.ncbi.nlm.nih.gov/pmc/blobs/aba6/1475182/5cdf24bb2cc6/envhper00495-0170-c.jpg
https://cdn.ncbi.nlm.nih.gov/pmc/blobs/aba6/1475182/3feb8ab9b15e/envhper00495-0170-d.jpg
https://cdn.ncbi.nlm.nih.gov/pmc/blobs/aba6/1475182/f3cf33993a99/envhper00495-0171-a.jpg
https://cdn.ncbi.nlm.nih.gov/pmc/blobs/aba6/1475182/e38967e11554/envhper00495-0171-b.jpg

相似文献

1
Physiological and toxicological aspects of smoke produced during the combustion of polymeric materials.聚合材料燃烧过程中产生的烟雾的生理和毒理学方面。
Environ Health Perspect. 1975 Jun;11:163-89. doi: 10.1289/ehp.7511163.
2
Toxicity of fire smoke.火灾烟雾的毒性
Crit Rev Toxicol. 2002 Jul;32(4):259-89. doi: 10.1080/20024091064246.
3
Effect of combined exposure to carbon monoxide and cyanides in selected forensic cases.特定法医案例中一氧化碳与氰化物联合暴露的影响
J Clin Forensic Med. 2004 Oct;11(5):264-7. doi: 10.1016/j.jcfm.2004.01.006.
4
Toxicology of fires: an emerging clinical concern.火灾毒理学:一个新出现的临床关注点。
Vet Hum Toxicol. 1986 Oct;28(5):431-3.
5
Toxic smoke compounds and inhalation injury--a review.有毒烟雾化合物与吸入性损伤——综述
Burns Incl Therm Inj. 1988 Dec;14(6):451-60. doi: 10.1016/s0305-4179(88)80005-6.
6
Toxic chemicals versus lung tissue--an aspect of inhalation injury revisited. The Everett Idris Evans memorial lecture--1986.有毒化学物质与肺组织——再谈吸入性损伤的一个方面。埃弗雷特·伊德里斯·埃文斯纪念讲座——1986年
J Burn Care Rehabil. 1986 May-Jun;7(3):213-22. doi: 10.1097/00004630-198605000-00004.
7
Analysis of fire deaths in Poland and influence of smoke toxicity.波兰火灾死亡情况分析及烟雾毒性的影响。
Forensic Sci Int. 2017 Aug;277:77-87. doi: 10.1016/j.forsciint.2017.05.018. Epub 2017 Jun 9.
8
Clinical smoke inhalation injury: systemic effects.临床烟雾吸入性损伤:全身影响
Occup Med. 1993 Jul-Sep;8(3):469-503.
9
[Etiology of combined inhalational hydrocyanic acid and carbon monoxide poisoning].[吸入性氢氰酸与一氧化碳联合中毒的病因]
Arch Kriminol. 1979 May-Jun;163(5-6):145-59.
10
Toxic smoke inhalation: cyanide poisoning in fire victims.吸入有毒烟雾:火灾受害者中的氰化物中毒
Am J Emerg Med. 1987 Jul;5(4):317-21. doi: 10.1016/0735-6757(87)90360-3.

引用本文的文献

1
E-cigarette-/Vape-Associated Lung Injury as a Cause of Interstitial Lung Disease.电子烟/蒸汽烟相关肺损伤作为间质性肺疾病的一个病因
Cureus. 2024 Apr 13;16(4):e58199. doi: 10.7759/cureus.58199. eCollection 2024 Apr.
2
Differential transcriptomic alterations in nasal versus lung tissue of acrolein-exposed rats.丙烯醛暴露大鼠鼻组织与肺组织的差异转录组改变
Front Toxicol. 2023 Nov 27;5:1280230. doi: 10.3389/ftox.2023.1280230. eCollection 2023.
3
Sex-dependent acrolein sensitivity in mice is associated with differential lung cell, protein, and transcript changes.

本文引用的文献

1
The Effects of Inhaled Heat on the Air Passages and Lungs: An Experimental Investigation.吸入热对气道和肺部的影响:一项实验研究。
Am J Pathol. 1945 Mar;21(2):311-31.
2
Peripheral neuritis as a sequela of carbon monoxide asphyxiation: a case report.一氧化碳窒息后遗症所致周围神经炎:一例报告
Ann Intern Med. 1955 Apr;42(4):942-4. doi: 10.7326/0003-4819-42-4-942.
3
OBSERVATIONS ON THE ROLE OF DIMINISHED OXYGEN TENSION IN THE FUNCTIONAL HYPEREMIA OF SKELETAL MUSCLE.关于低氧张力在骨骼肌功能性充血中作用的观察
性别依赖性丙烯醛敏感性在小鼠中与肺细胞、蛋白质和转录物的差异变化有关。
Physiol Rep. 2021 Oct;9(19):e14997. doi: 10.14814/phy2.14997.
4
Novel pharmacotherapy for burn wounds: what are the advancements.新型烧伤创面治疗药物:进展如何。
Expert Opin Pharmacother. 2019 Feb;20(3):305-321. doi: 10.1080/14656566.2018.1551880. Epub 2018 Dec 5.
5
Smoke Inhalation Injury: Etiopathogenesis, Diagnosis, and Management.烟雾吸入性损伤:病因发病机制、诊断与治疗
Indian J Crit Care Med. 2018 Mar;22(3):180-188. doi: 10.4103/ijccm.IJCCM_460_17.
6
Determinants of Mortality and the Lethal Area 50 Index (LA50) in Burn Patients Admitted to a Large Burn Center; A Single Center Experience.大型烧伤中心收治的烧伤患者死亡率及半数致死面积指数(LA50)的决定因素:单中心经验
Bull Emerg Trauma. 2017 Jul;5(3):184-189.
7
Respiratory Effects and Systemic Stress Response Following Acute Acrolein Inhalation in Rats.急性丙烯醛吸入对大鼠呼吸功能的影响及全身应激反应。
Toxicol Sci. 2017 Aug 1;158(2):454-464. doi: 10.1093/toxsci/kfx108.
8
TRPA1: Acrolein meets its target.瞬时受体电位锚蛋白1:丙烯醛找到了它的靶点。
Toxicol Appl Pharmacol. 2017 Jun 1;324:45-50. doi: 10.1016/j.taap.2017.03.007. Epub 2017 Mar 8.
9
Case Files of the University of Massachusetts Toxicology Fellowship: Does This Smoke Inhalation Victim Require Treatment with Cyanide Antidote?马萨诸塞大学毒理学研究员病例档案:这位烟雾吸入受害者需要用氰化物解毒剂治疗吗?
J Med Toxicol. 2016 Jun;12(2):192-8. doi: 10.1007/s13181-016-0533-0.
10
What do firefighters desire from the next generation of personal protective equipment? Outcomes from an international survey.消防员对下一代个人防护装备有何期望?一项国际调查的结果
Ind Health. 2015;53(5):434-44. doi: 10.2486/indhealth.2015-0033. Epub 2015 May 29.
Circ Res. 1964 Dec;15:473-84. doi: 10.1161/01.res.15.6.473.
4
EFFECTS OF MILD CARBON MONOXIDE INTOXICATION.轻度一氧化碳中毒的影响
Arch Environ Health. 1963 Nov;7:524-30. doi: 10.1080/00039896.1963.10663580.
5
Effect of possible smog irritants on human subjects.可能的雾霾刺激物对人体的影响。
J Am Med Assoc. 1957 Dec 14;165(15):1908-13. doi: 10.1001/jama.1957.02980330010003.
6
Acute carbon monoxide poisoning; an analysis of one hundred five cases.急性一氧化碳中毒;105例病例分析
AMA Arch Ind Hyg Occup Med. 1952 Oct;6(4):344-56.
7
Cerebral residua of acute carbon monoxide poisoning.急性一氧化碳中毒的脑残留物
Am J Clin Pathol. 1952 Oct;22(10):925-35. doi: 10.1093/ajcp/22.10.925.
8
Distribution of peripheral blood flow in primary tissue hypoxia induced by inhalation of carbon monoxide.吸入一氧化碳所致原发性组织缺氧时外周血流的分布
J Physiol. 1967 Sep;192(2):549-59. doi: 10.1113/jphysiol.1967.sp008316.
9
Respiratory burns: a correlation of clinical and laboratory results.呼吸道烧伤:临床与实验室结果的相关性
Ann Surg. 1967 Feb;165(2):157-68. doi: 10.1097/00000658-196702000-00001.
10
Redistribution of body carbon monoxide after hemorrhage.出血后体内一氧化碳的重新分布。
Am J Physiol. 1971 Apr;220(4):868-73. doi: 10.1152/ajplegacy.1971.220.4.868.